Patient come with bad previous Diastema closure
Chief complaint : big diastema and patient was not satisfied with this treatment option ( close diastema with compiste restoration )
Our Treatment plan : combined treatment ⬇️⬇️⬇️
Paitent
Orthodontic treatment by professor / Ahmed Nasef
Special thanks ♥️♥️
1-removing old composite and close the space between two centrals by braces
2-create space between central and laterals
3- according to criteria of smile designing we was seeking for creat beautiful smile for the patient
Restorative treatment
Composite veneers for upper 4 anteriors
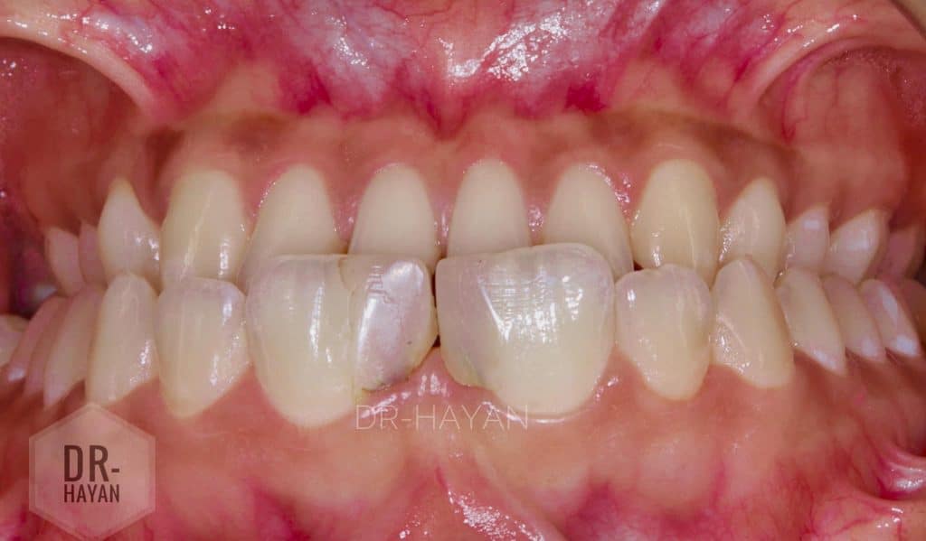
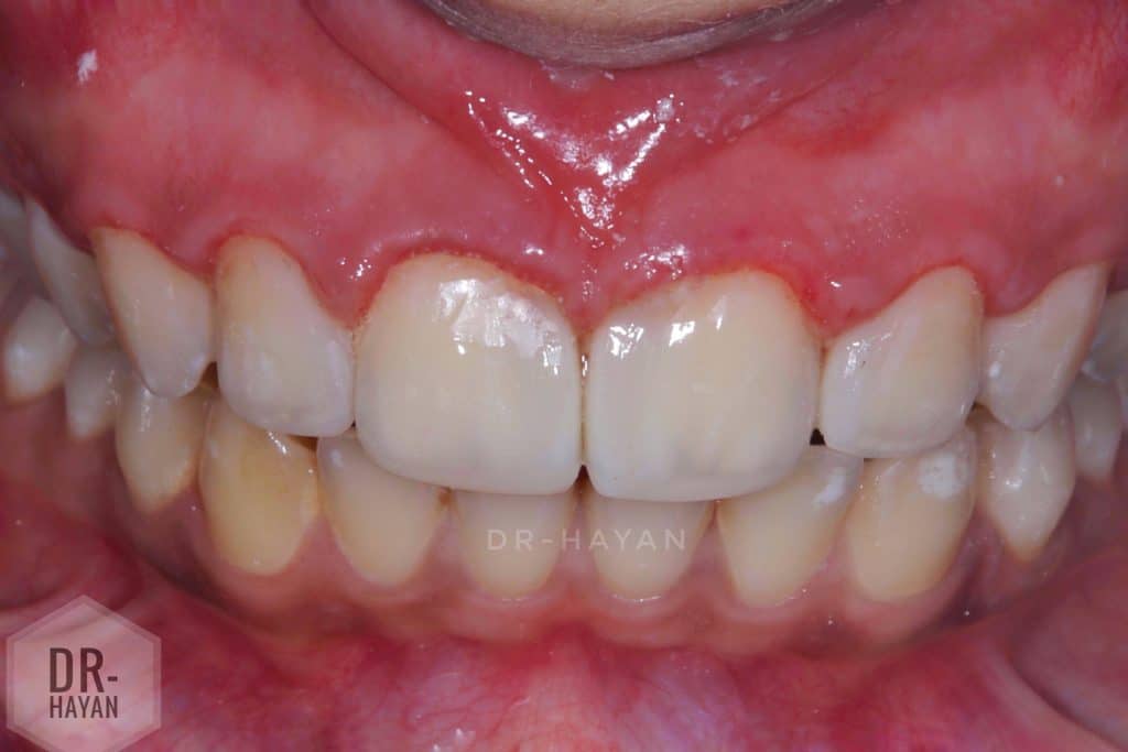
Patient came with a fillings for two upper centrals look like this👆🏼
Intra oral pic
14 mm width of each tooth 🤐
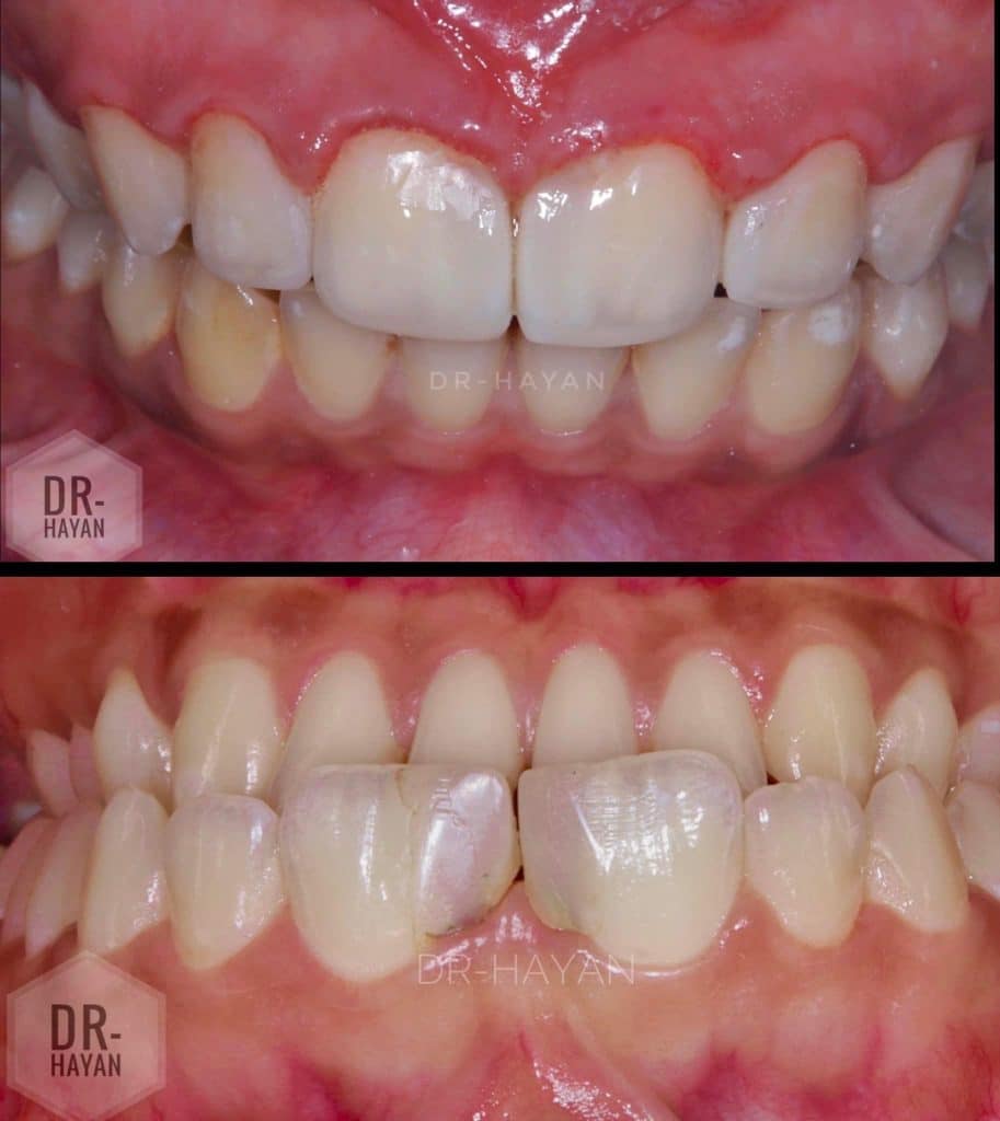
Treatment plan was to redistribute the space between centrals to all upper incisors with orthodontic treatment for only three months
By my professor Ahmed Nasef
☝️After finishing orthodontic treatment and space redistribution so we are ready
From 14 mm to 9 mm
But we need to reshaping the lateral
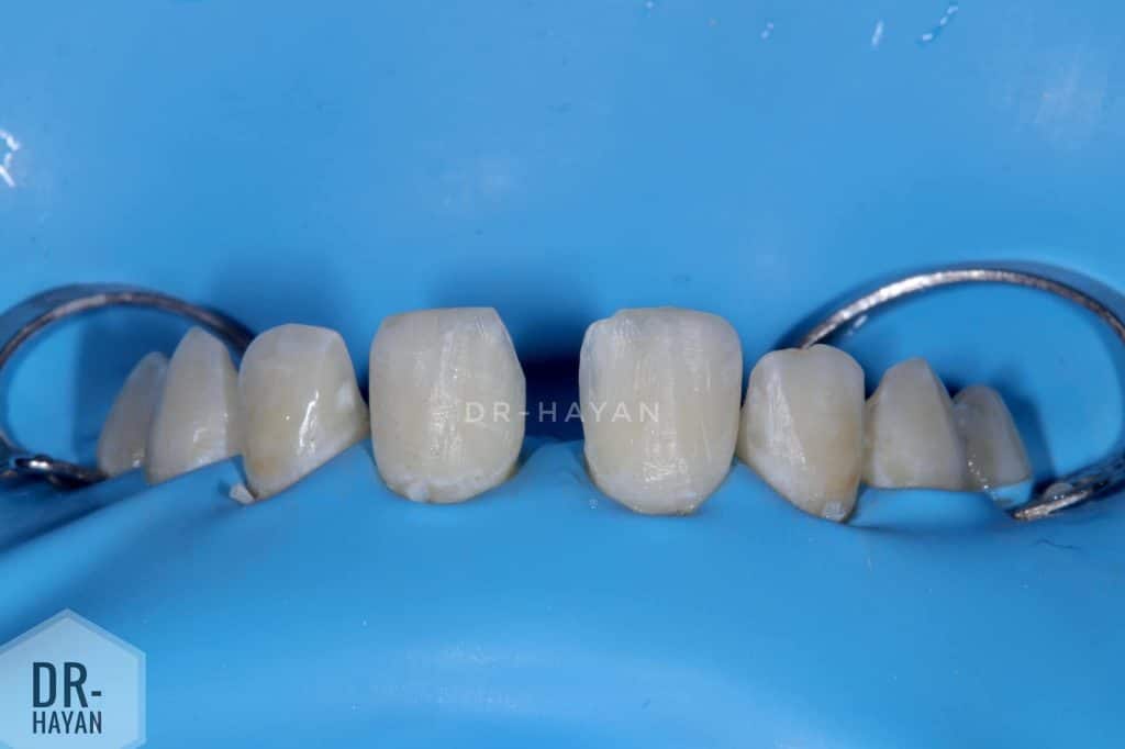
Time of compsite
After remove the oldest restoration
Bevel and bonding
Compsite shoulder
Palatal index
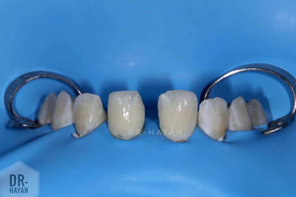
-closure the Diastema
-Closure the space between lateral and central
☝️ after composite fillings for upper incisors
1 week follow up
☝️Guess what, it is the power of multi-disciplinary treatment
Share on: