من المتوقع أن الحياة
استعادة الأسنان وجمالها
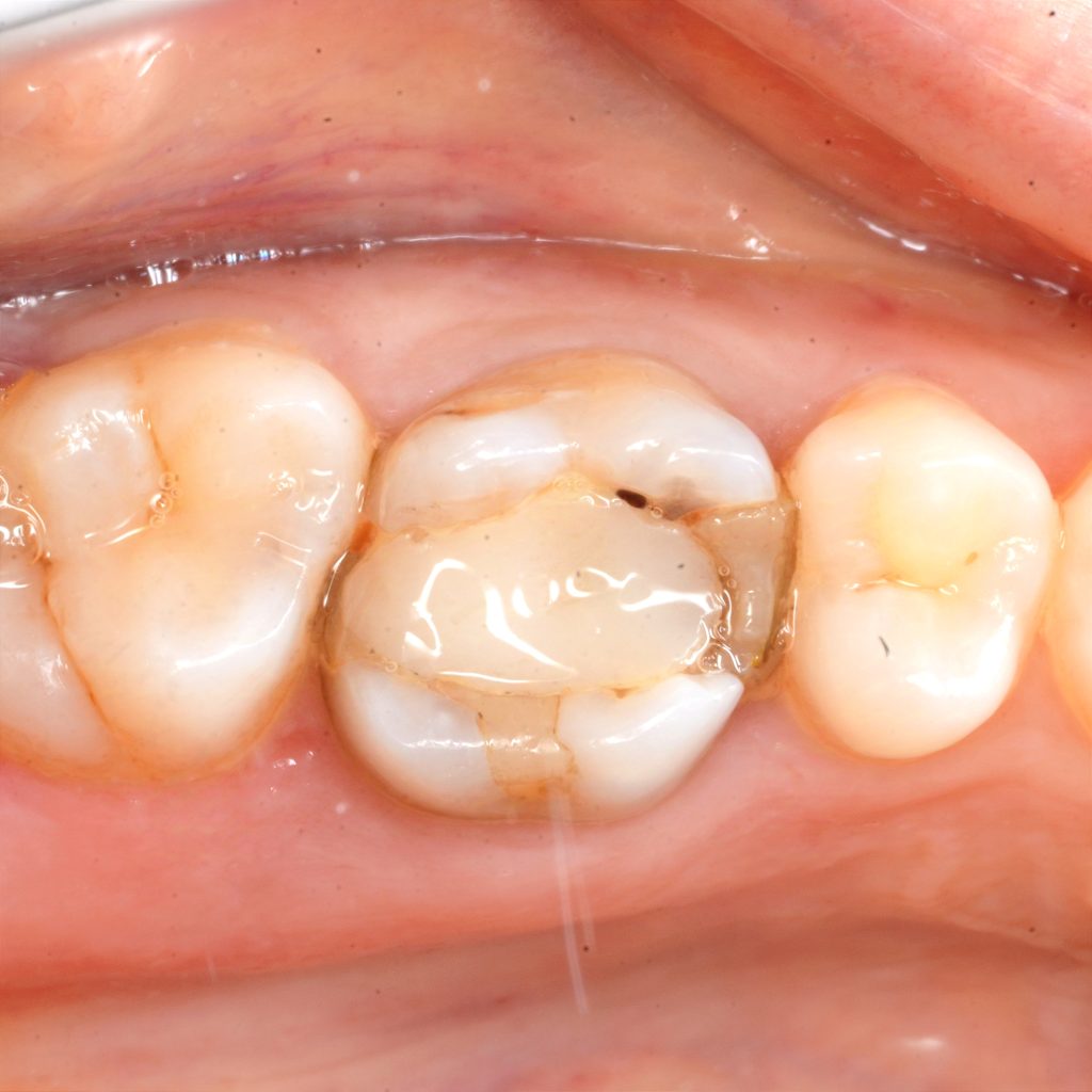
جاء المريض إلى العيادة بحاجة إلى إعادة حشوة السن رقم 26
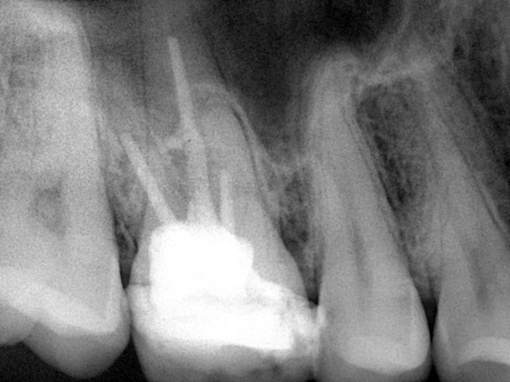
بعد التشخيص بالأشعة السينية والأشعة السينية
لقد أظهرت نتائج سيئة وقنوات متكلسة
بريماي تي بي: إعادة المراجعة والحشو
بعد إزالة الحشوة والبدء لبدء الجوتا بيرشا في الزيارة الأولى
في الزيارة الثانية لاحظنا كسر بصري في جدار الحنك (المريض في ذلك الوقت كان يعاني من الإجهاد ونير الأسنان أثناء النوم)
تم تغيير tp كذلك
انتهاء التاج، dme، rct، التراكب
استغرق بقضاء التاج، وخياطته، واستغرق الأمر شهرًا للشفاء
بعد ذلك طبعت المصادر المحظورة ونقوم بسدها في زيارةتين باستخدام عازل التسرب الصيني
في الزيارة التالية قم بالتحضير والتحضير للتركيب
الزيارة التالية تم فيها حشو السن رقم 25
بعد ذلك حاول تنسيق الأسمنت باستخدام مركب الحر
Finally follow up after 4 month and we see gingiva is healthy
أخيرا تم استعادة الحياة لهذه السن
Preoperative
Preoperative x-ray
After first visit horizontal fracture occurred
Remove piece of fracture
Crown lengthing procedure
Isolation to build up and dme
After deep margin elevation
Take one month for healling
R.c.t done
Ever x flo, cap in action
Ribbond around palatal wall to give more strength
Post operative x-ray after r.c.t done
E -max cementation
Final result and directly result
Another view Follow up after 4 month
Follow up after 4 month
Share on: