A 16 years old male patient visit our clinic complain from sever pain and food impaction. After diagnosis i confirmed that his tooth need RCT
Treatment plan:
Gingivectomy, removing gingival polyp for helping us to isolate the tooth and make a good isolation before Rct, I make pre endo build up, then RCT done, Then i did a direct composite filling “OVERLAY”.
Pre operative situation
Analyze
Analyze
Gingivectomy - Gingival polyp removal
Pre operative x-ray
Multiple isolation
Direct view for isolation
B4 in action
Pre endo build up
Access cavity
Endography
Cleaning&Shaping
Master cone x-ray
Obturation
Obturation
Obturation
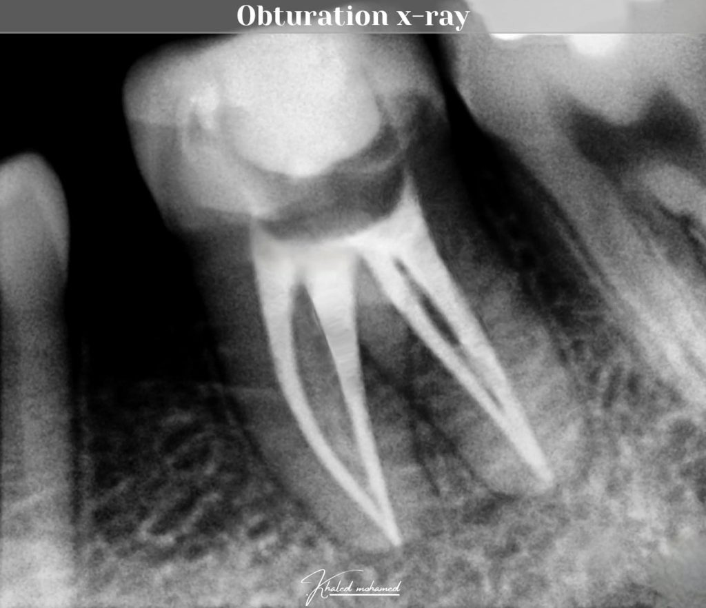
Obturation x-ray
RCT x-rays collection
Final cavity design - Cusp reduction
Clamp 212 in action
Saddle matrix system
Walls build up
Walls build up
Ever X application
Ever X in action
Horizontal layering technique - Incremental build up
Carving composte build up after curing
Direct photo after curing
Occlusal modeling - carving
Finishing with discs
Polishing with kinda kit
Polishing with eve twist kit
Direct pic after polishing
Direct shot after polishing
Final result after occlusal adjustment
Another view
Direct shot final result
Before&After
Before&After
Direct overlay workflow
Share on: