If you can isolate the tooth you can save it , the isolation differs from tooth to to another , isolation for sound and anterior teeth not like isolation the severely decayed posterior teeth that need deep marginal elevation , isolation , and isolation of lower wisdom tooth not like the other posterior teeth 😁
When the patient is dentist and need to fix his or her wisdom tooth the difficulty Psychologically increase 😂
In this case you can see the isolation and rubberdam inversion changes during the work because the female dentist try to keep her mouth opened to its limits daring whole the treatment without been confused by the clamp .
The description under each photo and Hope you like the case 😀
Initial situation showing the buccal carious lesion
During cavity preparation, when you see th white line between the soft caries and dentin or enamel that's mean the caries extend deep
All caries removed, unsupported and irregular enamel removed and the pulp saved
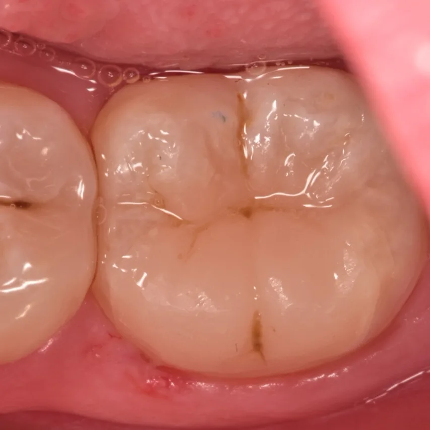
Occlusal view
When I reach the IDS step I try fix the isolation problem as could as possible not only sheet and clamp together,
IDS with gold standard SE bond ,RC with flowable composite, Ever X posterior for dentin replacement , this photo shows the beginning of the anatomy 😀
Immediate result
Simple Finishing and polishing
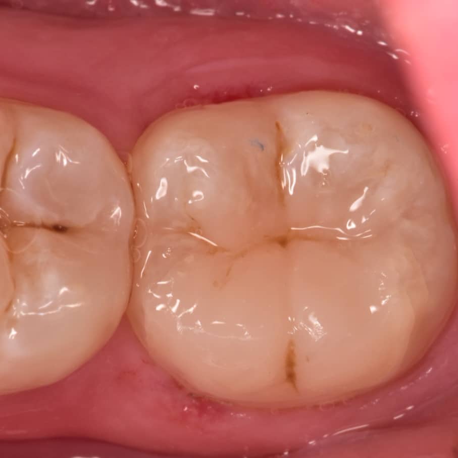
Final result
Try to mimic the nature as could as possible
Final result
Share on: