In such cases; Structurally compromised lower premolar,we depend on replacing the missing dentine with fiber and fiber reinforced composite
And replacing the enamel with indirect lithium disilicate restoration
In all these procedures we depending on modern adhesive dentistry
In this case, lower premolar ( 4) was treated previously with unsuccessful Endodontic treatment .
We isolate the tooth with rubber dam and Endodontic retreatment was done with Bioceramic sealer and single cone since it’s viable option for obturation
( Elizabeth A Chybowski, Gerald N Glickman, Yogesh Patel, Alex Fleury, Eric Solomon, Jianing He , Journal of endodontics 44)
Then we elevate the margins (DME) by using gold standard bonds Se clearfill bond and composite Ap-x composite and resin coating with flowable composite for the remaining tooth structure
And replacing the dentine with ribbond and Ever X composite in order to strengthen the remaining tooth against fracture, Both fiber types improve fracture resistance and the fracture mode of structurally compromised teeth is equally efficient. Application technique deserves attention. Ribbond could be placed in a single layer at the cavity floor, whereas EverX Posterior should replace missing dentin in an anatomically shaped way.
We complete the Biobase by placing conventional composite on the fibers and preparing the tooth for indirect restoration
Additional silicone impression was taken and sent for lab
After 5 days we received the lab work
In the last visit we inserted the E max indirect restoration by doing the adhesive protocol for the E max and the tooth Biobase
Sandblasting, etching, saline ,bonding for the tooth Biobase
Hydrofluoric acid , acid etching, saline, bonding for E max indirect restoration
Then the treated E max bonded to tooth Biobase by heated composite (Ap-x composite)
After removing the composite excess
Then light cure for 1 minutes for each side
Removing excess debris and bond by sharp instrument from around the tooth
And finish the case and taking X ray to see fitted restoration
Follow up the case for more 1 year and still with good condition, aesthetic, functional and healthy
references:
1- Biomimetic restorative dentistry ( PASCAL MANGE)
2- Can Fiber-reinforced Composites Increase the Fracture Resistance of Direct Composite Restorations in Structurally Compromised Teeth? A Systematic Review and Meta-analysis of Laboratory Studies
https://doi.org/10.2341/24-032-LIT
3-Clinical outcome of non-surgical root canal treatment using a single-cone technique with endosequence bioceramic sealer: a retrospective analysis (Elizabeth A Chybowski, Gerald N Glickman, Yogesh Patel, Alex Fleury, Eric Solomon, Jianing He
Journal of endodontics 44 (6), 941-945, 2018)
Dr. Baqer Hussain
general Dentist BDS from Iraq
graduated from Al-muthanna University 2017
certified in conservative dentistry ( direct, indirect restoration)
diploma in implant surgery.
Owner of dr.baqer clinics
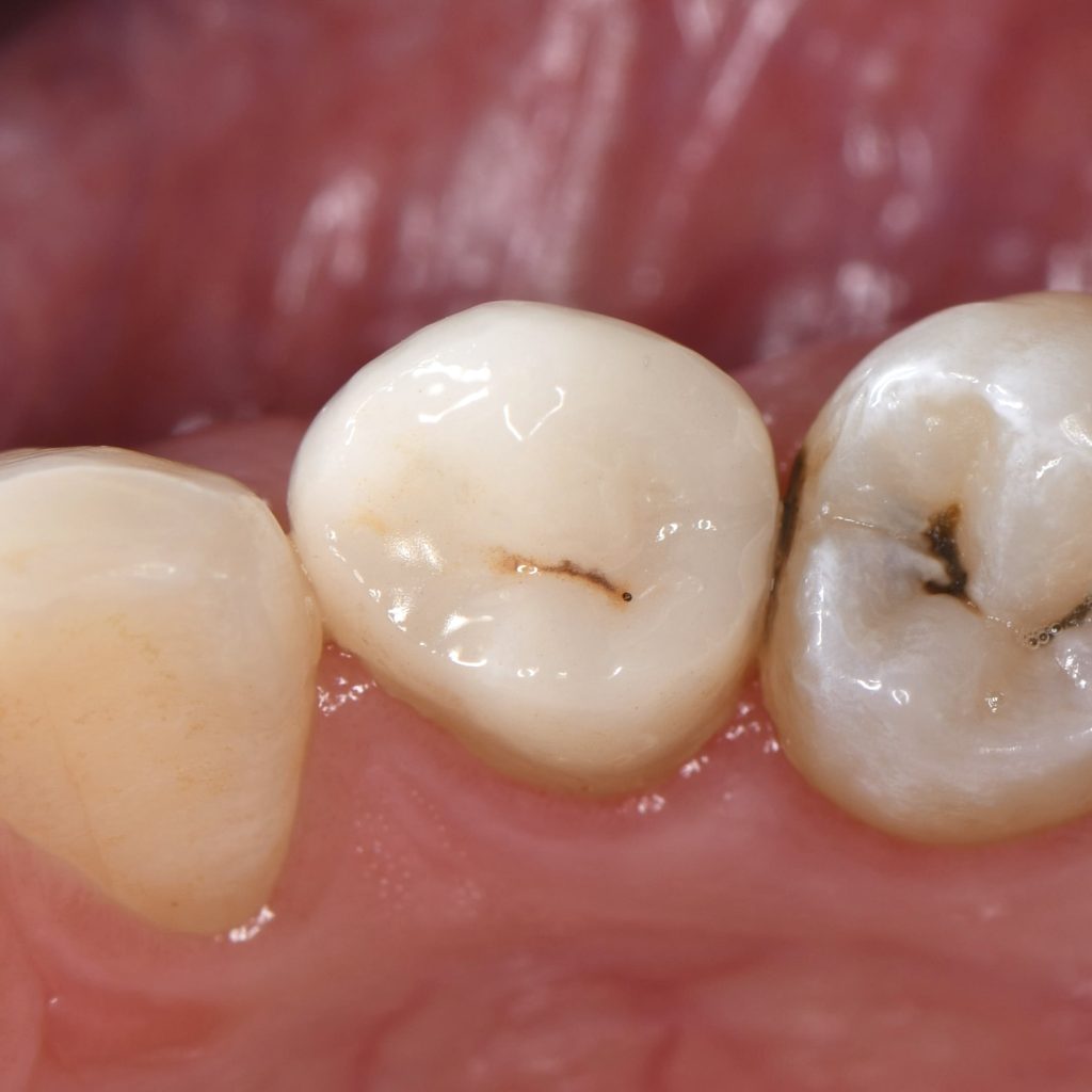
Initial situation
Occlusal view
Pre- operative X ray
Rubber dam isolation
Obturation with Bioceramic sealer and single cone
Ribbon application
Ever X posterior application
X ray showing Obturation and Biobase
E max overlay
Biobase ready to apply indirect restoration
Indirect restoration bonded with heated composite
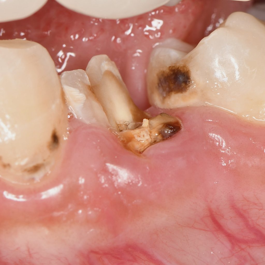
After gingiva healing
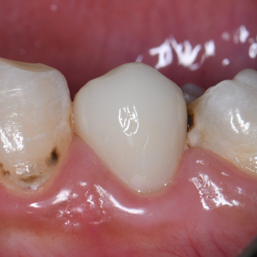
1 year follow up
X ray after 1 year
Share on: