Female patient with destructive second premolar
-remove amalgam restoration and cleaning..
-isolation
-IDS :- applying the adhesive agent before RCT and taking the impression, this will create a stable hybrid layer and prevents collagen fibrils degradation .(P.Magne).2005
-DME (P.Magne)
-RCT with bio-c sealer(one-fill) and hydraulic technique
-core build up with EVER X from GC
-non-retentive overlay protocol(Politano et al) . 2018
-Decoupling with time (DWT) : 90% of polymerization stresses are reduced within 5 minutes of dentin bond curing. After 30 minutes, 95% of the stress is gone. After 120 hours, will be completely stress-free. In this state, the dentin bonding strength get mature and become stronger twice the enamel bonding strength . Indirect restoration will give you these time (ALLEMAN) . Decoupling with
time.
-digital impression with Helios from eighteeth
-cementation with heated composite AP-X
-Pictures taken with canon 90D and Godox twin flash (MF12)
Initial situation
After remove amalgam restoration
Obturation with bio-c sealer
Core build up with EVER X (fibre-reinforced composite) from GC
E-Max overlay
Cementation with heated composite AP-X
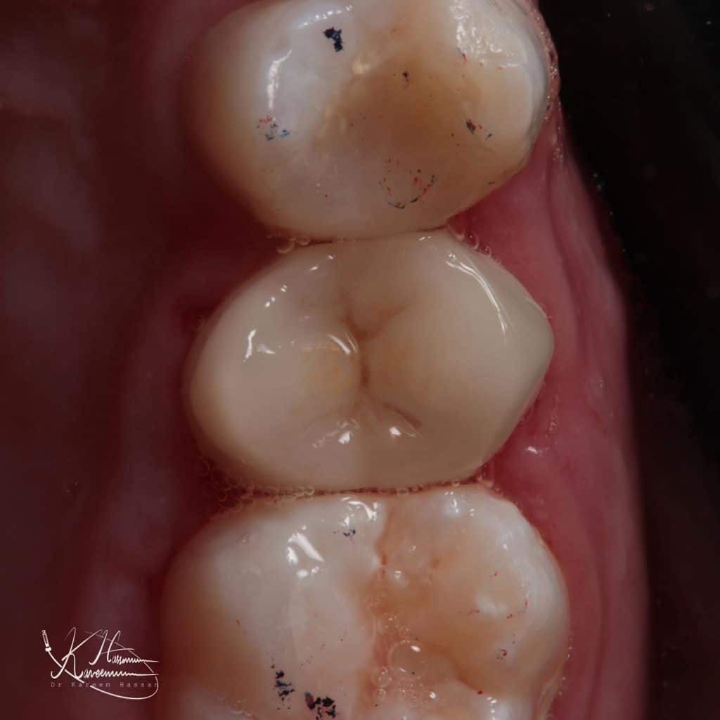
Immediate result
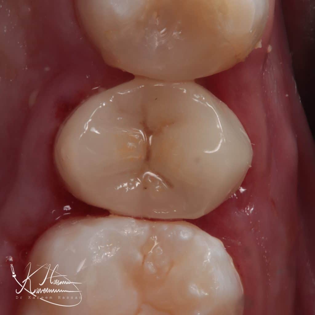
Another view
Check occlusion
Share on: