I often get asked by patients , Dr , how-long you guarantee my restoration ?
this is very provocative question , away from endless factors lead to failure in any dental treatment , How can any sane human being to give a guarantee for unguaranteed God made work ?
i mean we don’t born with guarantee checks in our hands , we born as we born and we must take care of our health including teeth which degrades over
time as a normal natural cycle of life , dental industry ,researches , materials , techniques are continuously updating to the better side and the restoration we made 10 years ago isn’t the best by the parameters of today , and probably the dentistry we do today wouldn’t be the first choice of treatment in the
upcoming 10 years , life is changing and logically we dentists should change the current narrative of ” this crown or that veneer last forever ”
This is not to promote low quality dental treatments , we must follow the latest upgrades and hustle for improvement day by day,
Finally i suggest to tell our patients the truth we know that nothing last longer than God made teeth as far we take care of them .
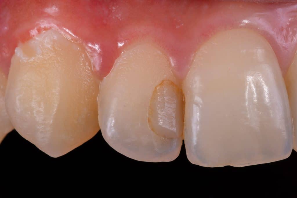
Old discolored composite restoration .
Old composite , secondary caries excavated & all unsupported enamel removed.
Posterior Elliot separator modified to be used in the anterior region.
And no guarantees to be handed on , just do it the best way you can and oneday it will need to be replaced .
Share on: