In the anterior zone, small things matter.
Brown spots.. asymmetrical centrals.. and stained restorations all play a role in impacting the patients esthetics.
Addressing the issues one by one can lead to a significant improvement in the patients overall confidence in their smile.
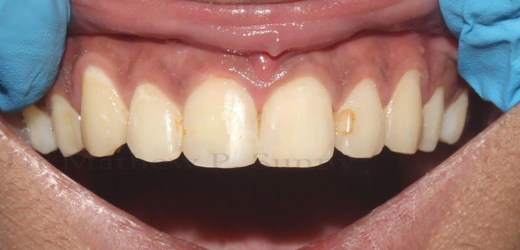
Clinical presentation shows the presence of resin from previous orthodontic therapy that has discoloured and comprimised the esthetics. Presence of asymetrical centrals.. class 3 caries as well as old failing composite restorations.
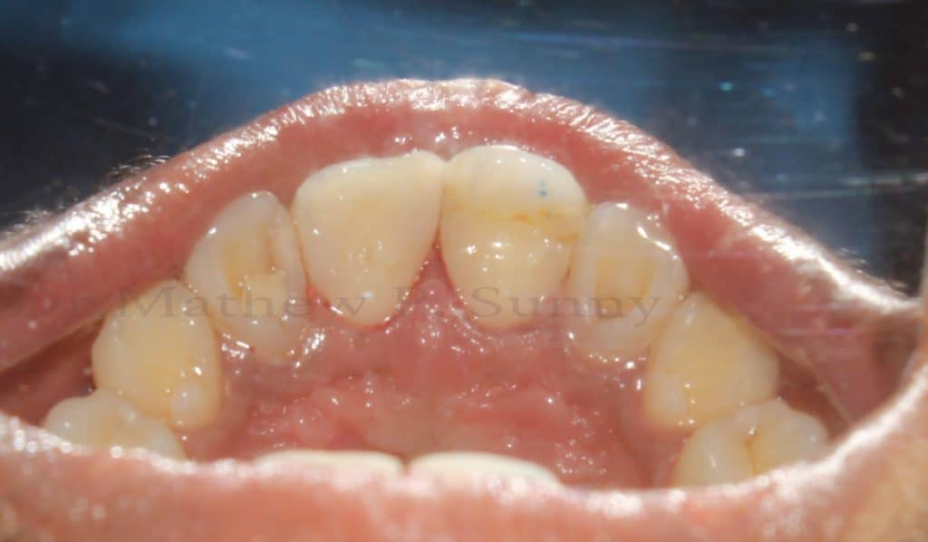
palatal view confirms the presence of multiple class 3 lesions.
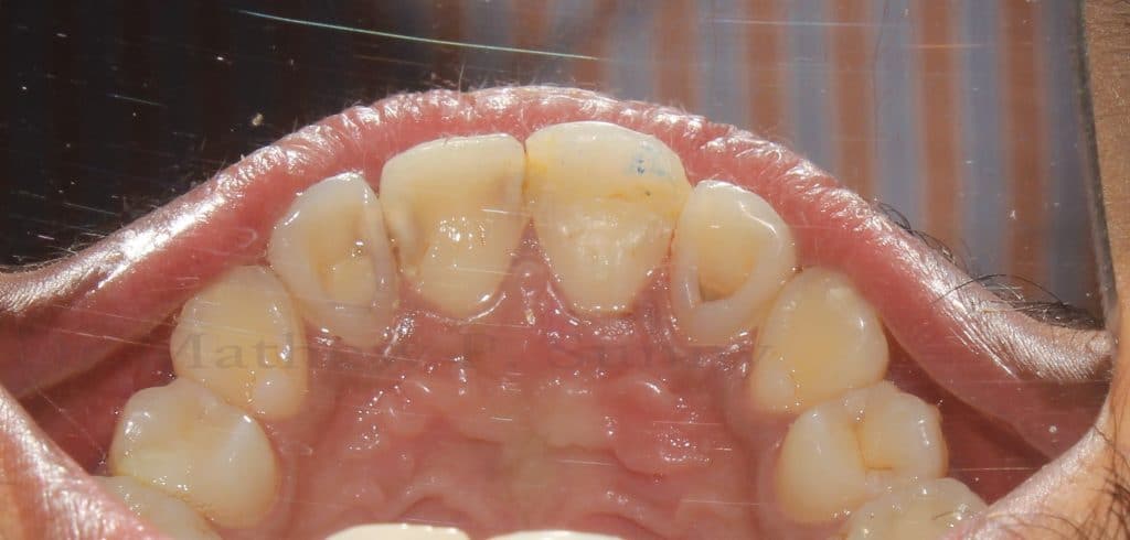
#11 is reshaped and # 21 is treated for caries .
immediate post op palatal view of the centrals.
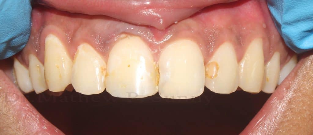
frontal view..
the class 1 caries on#22 is visualized and addressed..
class 3 failing composite on #22 is also addressed.
class 3 caries on #12 is treated.
class 1 caries on the palatal aspect of #12 is also addressed.
photograph showing both the frontal and palatal views.
Close up of the significant improvement in the patients smile and confidence in his esthetics.
Share on: