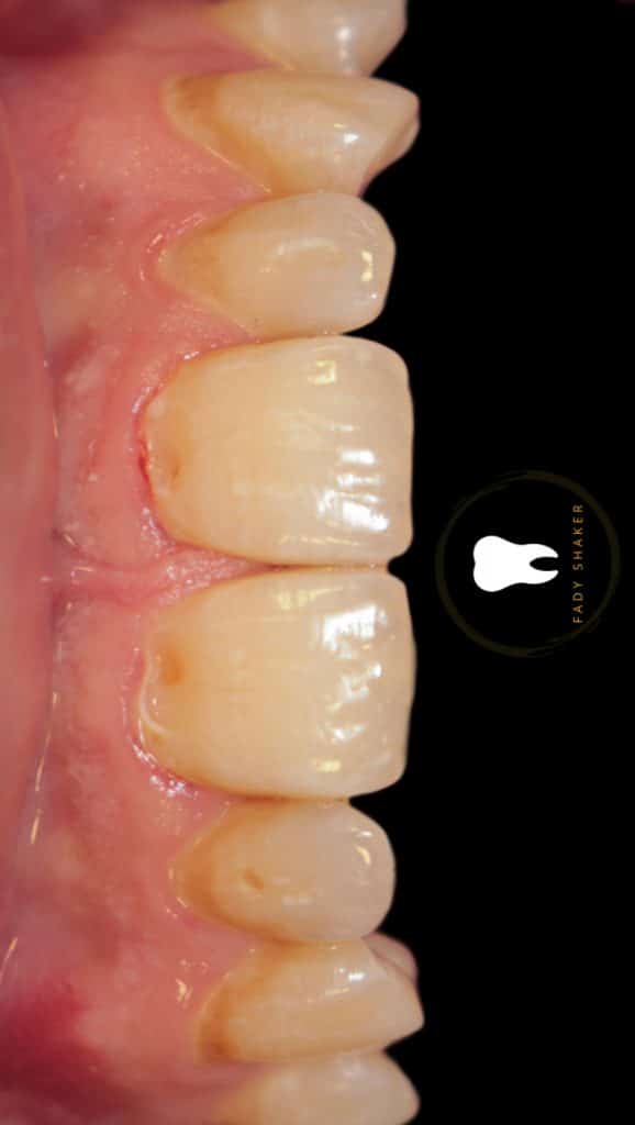
double class 5
not easy isolation game
rotate the phone 🔄
steps :
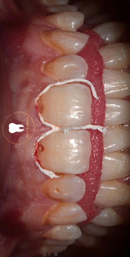
1- teflon packing in the sulcus to retract gingival tissue&expose subginigval lesion
2-apply rubberdam and secure it by clambs on #14 & #24
then i did inversion for the sheet& secure it with floss ligature
3-remove carious lesion& initial excavation
4- after that it was not enough so i use active tissue retractor clamp for further retraction
*problem: tissue retraction clamp isn’t stable
solution: use liquidam to support the clamp on canine
5-complete lesion excavation&achieve caries removal endpoint (CRE)
6-beveling the coronal margin of the cavity
7-selective acid etching for 25S
8- apply all bond universal two layers without curing between them
9- solvent evaporation by new bond brush and avoid using air thinning for long time to not increase oxygen inhibited layer
10-apply 0,5mm highly filled flowable composite then light cure
11- wait for 3mins for elimination of shrinkage stress within hybrid layer
12- apply dentin layer of composite and avoid contact of gingival margin to control C-factor
13- after that apply dentin layer on ginival margin
14- apply final enamel layer and cure it with pulse cure mode to delay postgel phase and allow composite to flow
15- finishing and polishing
16- immediate result & waiting for rehydration
Share on: