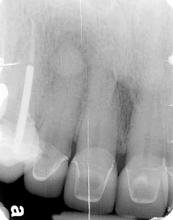
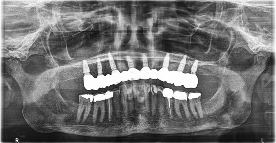
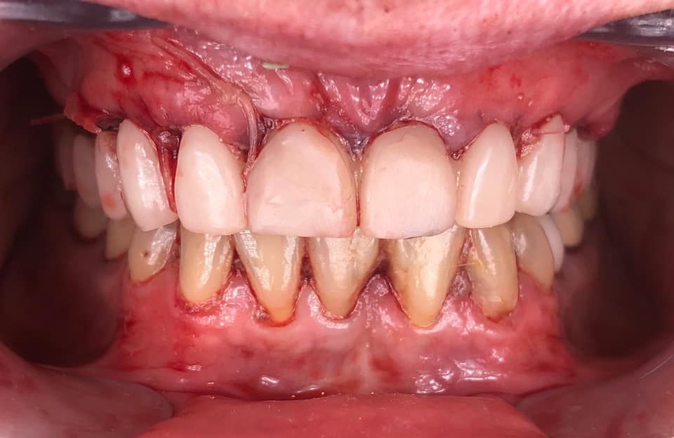
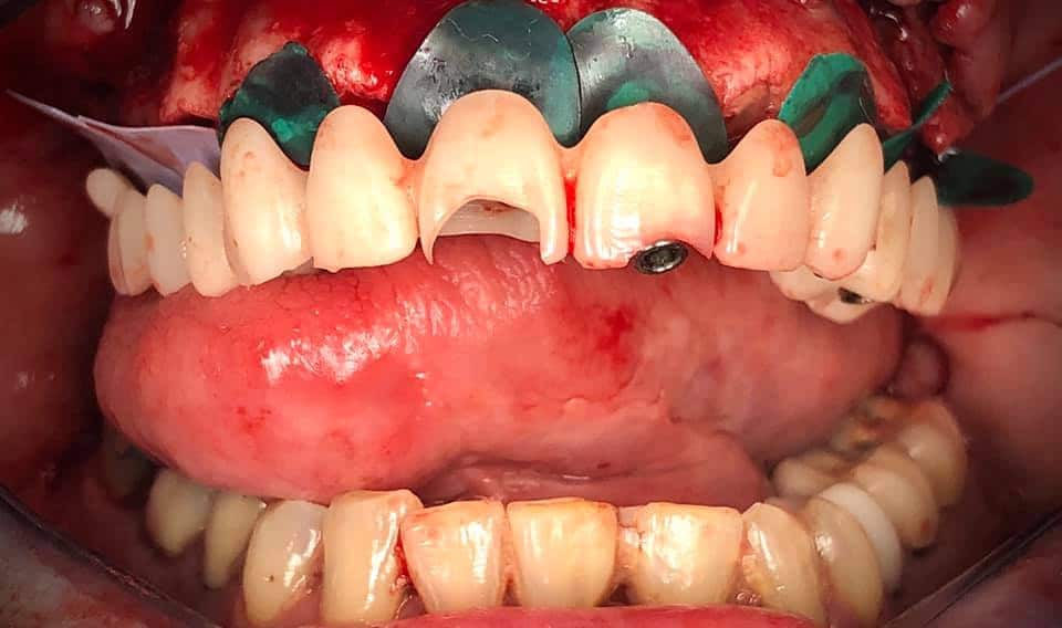
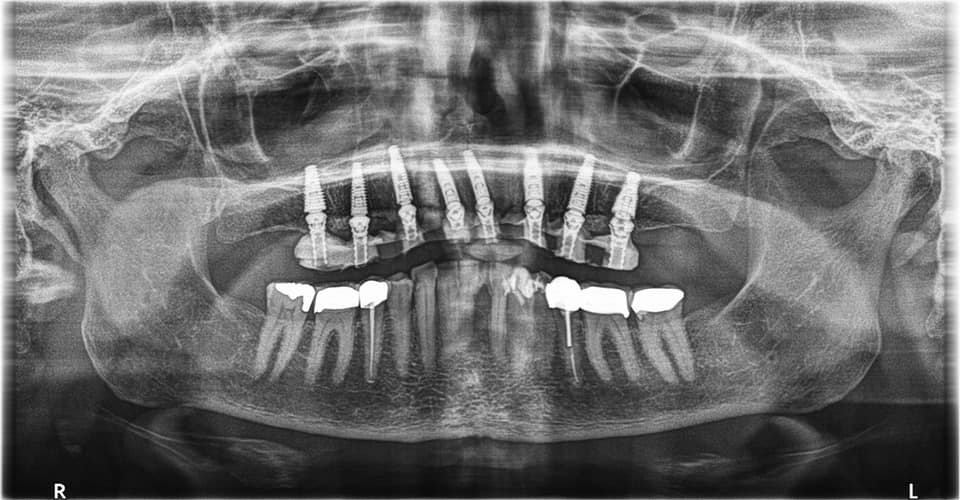
Below is a case of full arch same day temporization using the socket shield , root submergence and pontic shield techniques to preserve the site architecture . Neodent GM implants were placed in a guided fashion and same day temporization was performed using a milled PMMA.
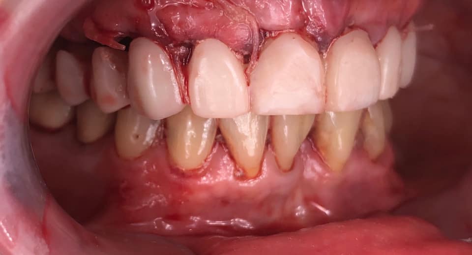
The final bridge was constructed in monlithic zirconia.
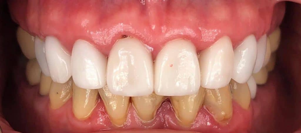
-Immediate load temp upper
Share on: