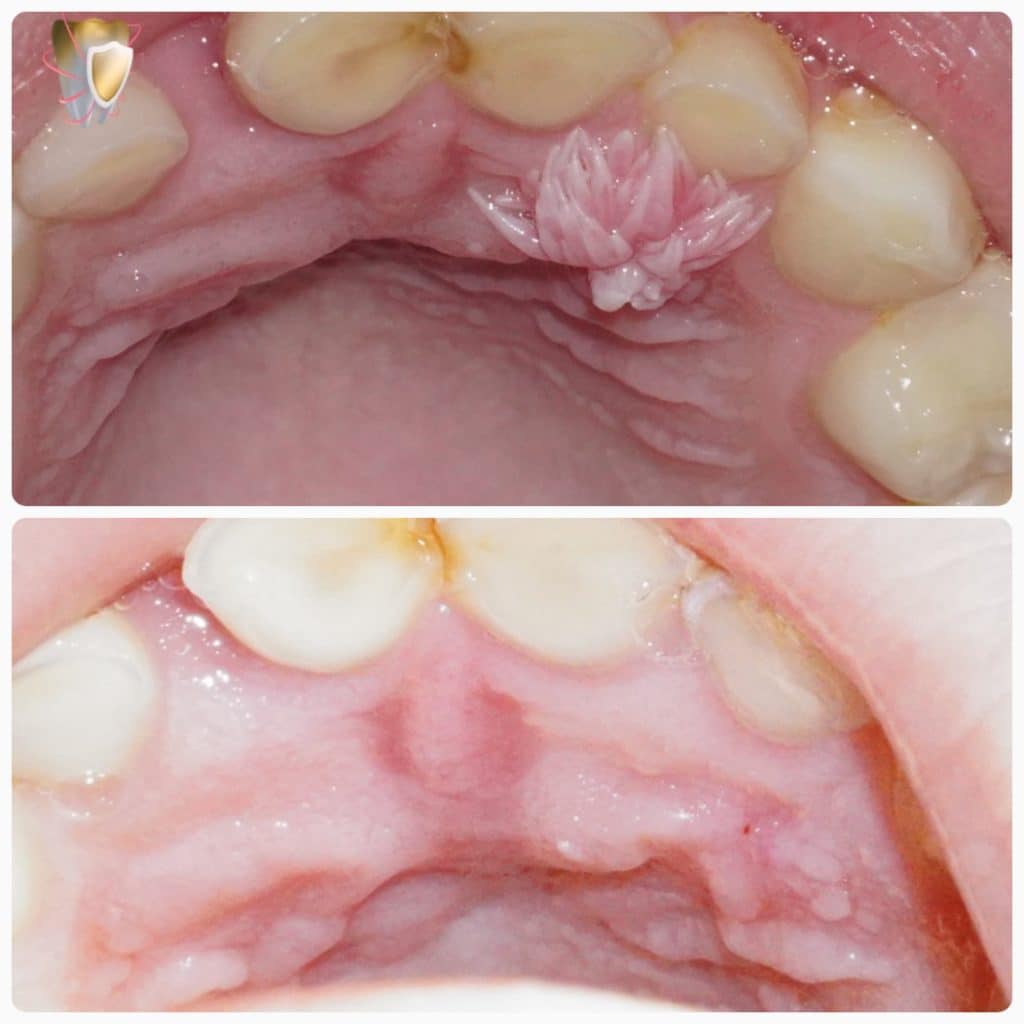
Squamous cell papilloma in 7 years old male patient :-
Medical history: history of recurrent common cold “flu”
-irritating 2 white masses causing discomfort related to upper and lower arches.
-palatal gingiva related to upper deciduous lateral incisor.
-Lingual gingiva related to lower deciduous lateral incisor.
Shape:
– 2 fungating & cauliflower-like masses forming finger like projections .
Size: 0.9 cm X 0.5 cm. Upper
Duration: upper lesion arised since 9 months , lower lesion arised since 2 months.
Consistency : firm.
Origin: pedunculated.
Bony involvement: intact lingual and palate alveolar bone.
Type of biopsy: excisional with safety margins.
1-Squamous cell papilloma.
-Section reveals para-keratinized stratified squamous epithelium that in areas form finger like projections with thin central connective tissue core showing chronic inflammatory cell infilterate.
-The underlying connective tissue is made of fibrous tissue with few blood vessels and few inflammatory cells.
Diagnosed by : Prof.Dr. Sahar ElSheikh.
Note about squamous cell papilloma:
-Infections with HPV may cause different distinct appearances including …squamous cell papilloma , verruca vulgaris ,focal epithelial hyperplasia and condyloma aluminum which are known as “virus induced neoplasms”
– Each lesion has a specific expression of an identified HPV genotype…
-Most HPVs that infect mucous membranes belong to a group of alpha-papilloma viruses, are considered high risk of malignant transformation (16 &18) while those of low risk (6&11) are
the most common types associated with benign lesions.
– although this lesion is common in adults but it can occur with children less than 10 years old .
“Constitutes about 8% of benign tumors occurring in children”
– follow up is highly recommended for such lesions every 6 months with careful monitoring of any chances for recurrence and there is a recommendation to check the patient immunity so he is referred to a pediatrician.
Share on: