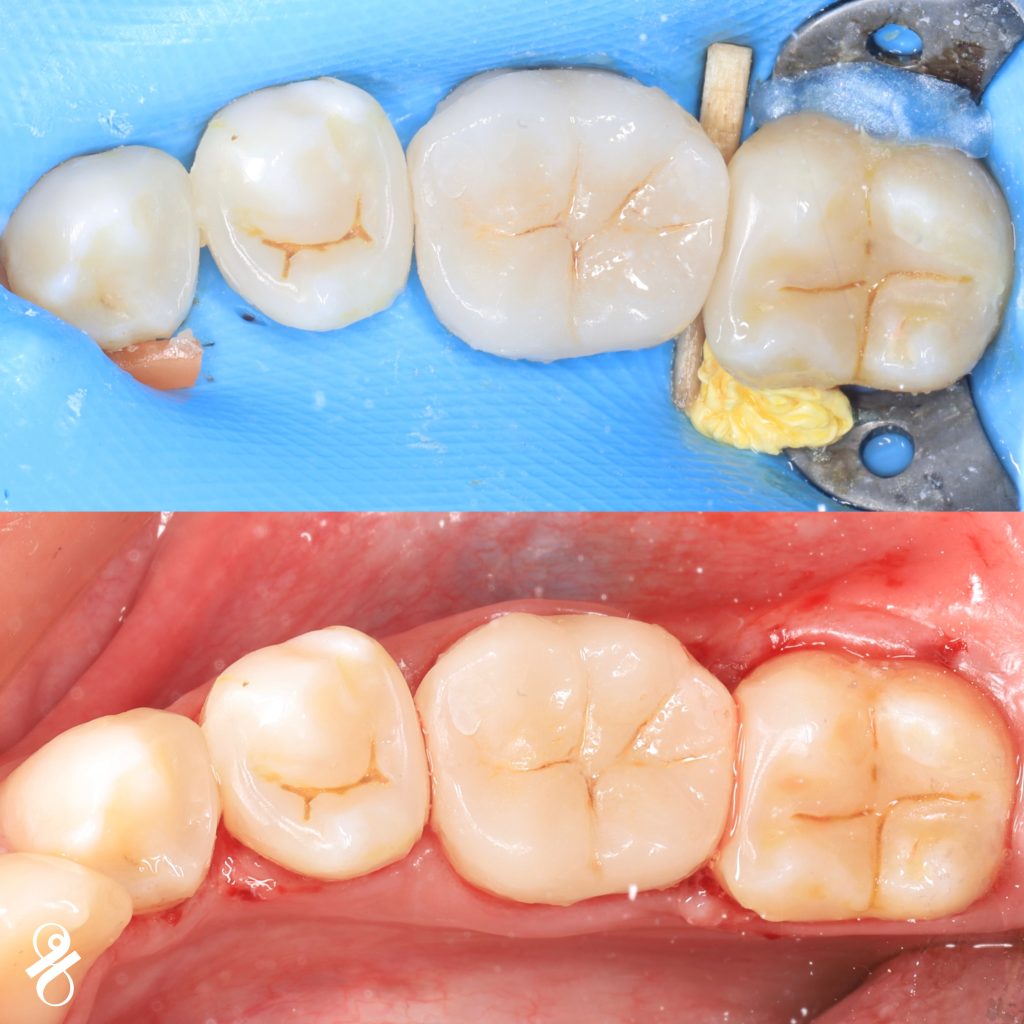
A structurally compromised tooth #36 with weak sealed occlusal surface, caries under the Amalgam, in the other hand the patient complaining of food impaction and sensitivity.
So I go for indirect Lithium disilicate overlay to reduce the stress on tooth.
Doing Direct composite restorations on #35 & #37 for giving a healthy contact and healthy peripheral sealing zone.
Share on: