Swiss Implant Screw-Retained Monolithic Zirconia Prosthesis: Six-Month Clinical Follow-Up
Dr Hamza Zahid
Biomimetic & Restorative Dentistry
Dr Hamza Dental Center — Lahore, Pakistan
ABSTRACT
This report presents the prosthetic workflow and short-term evaluation of a Swiss implant restored with a screw-retained monolithic zirconia crown. The restoration was planned to ensure mechanical stability, natural emergence contour, and long-term soft-tissue harmony. At the six-month follow-up, both clinical and radiographic assessments confirmed stable peri-implant tissue and bone levels with excellent aesthetic integration.
CASE OVERVIEW
A patient presented with a healed implant site in the mandibular premolar region following uneventful osseointegration. The objective was to fabricate a retrievable, durable, and aesthetic prosthesis compatible with the existing occlusal scheme.
PROSTHETIC STAGE
1. Soft-Tissue Maturation & Assessment
Clinical inspection revealed healthy peri-implant mucosa with an ideal emergence channel and a symmetrical gingival cuff. The tissue tone indicated stable integration of the Swiss implant platform.
2. Abutment Connection
A precision-milled titanium base abutment was torqued to the manufacturer’s specification. The abutment contour was selected to promote a natural gingival transition and preserve the mucosal seal.
3. Crown Fabrication
A monolithic zirconia prosthesis was fabricated with precise occlusal morphology and central screw access for retrievability. The restoration was individually characterised and glazed to reproduce enamel texture and hue harmony with adjacent teeth.
4. Screw-Retained Delivery
The prosthesis was seated under magnification to verify complete adaptation and marginal integrity. The screw channel was filled with PTFE and sealed using composite resin.
5. Post-Insertion Evaluation
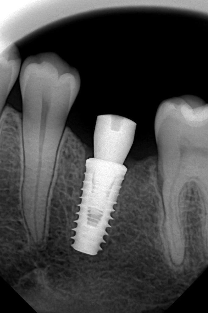
Contacts and occlusion were refined to achieve even force distribution. Radiographic verification confirmed a passive fit and absence of any marginal discrepancies or bone loss.
SIX-MONTH FOLLOW-UP
- Peri-implant tissues: Firm and pink, with full papillary fill.
- Bone levels: Stable, with no radiolucency at the crestal margin.
- Restoration: Maintained gloss and anatomic form, free from wear or screw loosening.
The patient reported excellent comfort and function throughout the observation period.
DISCUSSION
Screw-retained zirconia prostheses on titanium bases combine retrievability, strength, and biological safety by eliminating cement residues. The precision of Swiss implant systems ensures mechanical stability and predictable long-term integration.
Monolithic zirconia provides high fracture resistance, low plaque accumulation, and colour consistency — essential for posterior restorations exposed to heavy occlusal loads.
CONCLUSION
The six-month review demonstrates a stable, aesthetic, and functional implant restoration. The case reinforces the reliability of Swiss implants combined with monolithic zirconia screw-retained prosthetics in maintaining peri-implant health and load-bearing endurance.
FIGURE SEQUENCE (corresponding to your images)
1️⃣ Healed implant site showing emergence channel
2️⃣ Abutment connection and soft-tissue support
3️⃣ Titanium base and crown assembly
4️⃣ Monolithic zirconia crown on master model
5️⃣ Screw-retained zirconia restoration – occlusal view
6️⃣ Final prosthesis in situ at six months
REFERENCES
- Buser D et al. Long-term stability of contour augmentations and implant success. Clin Oral Impl Res 2013;24:115-122.
- Sailer I et al. All-ceramic vs metal-ceramic implant-supported crowns: 5-year results. Clin Oral Impl Res 2015;26:671-677.
- Wittneben J-G et al. Screw-retained versus cement-retained restorations: systematic review. Int J Oral Maxillofac Impl 2017;32(Suppl):84-98.
- Papaspyridakos P et al. Implant prosthodontic principles for long-term success. J Prosthodont Res 2020;64:1-7.
Share on: