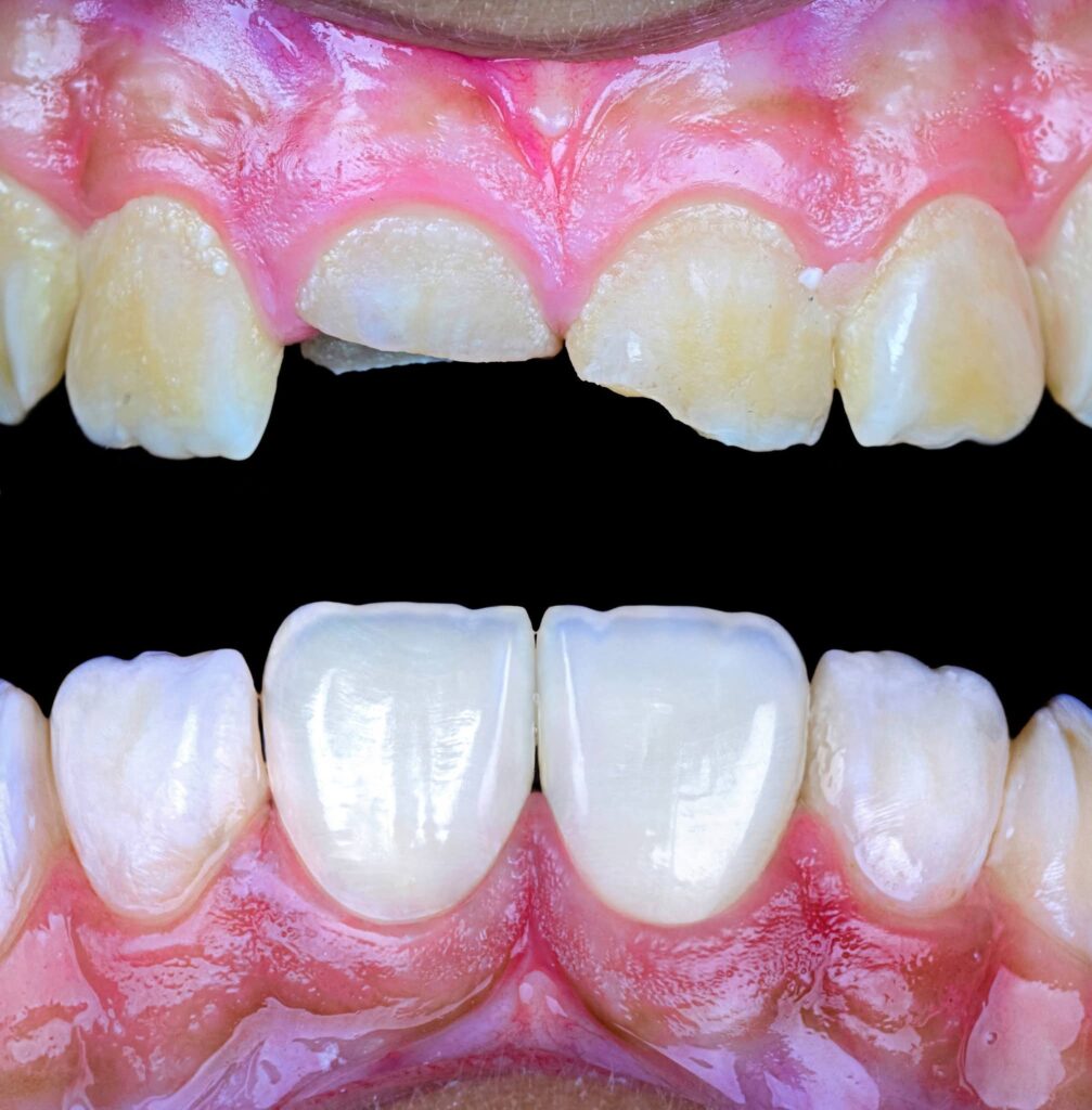
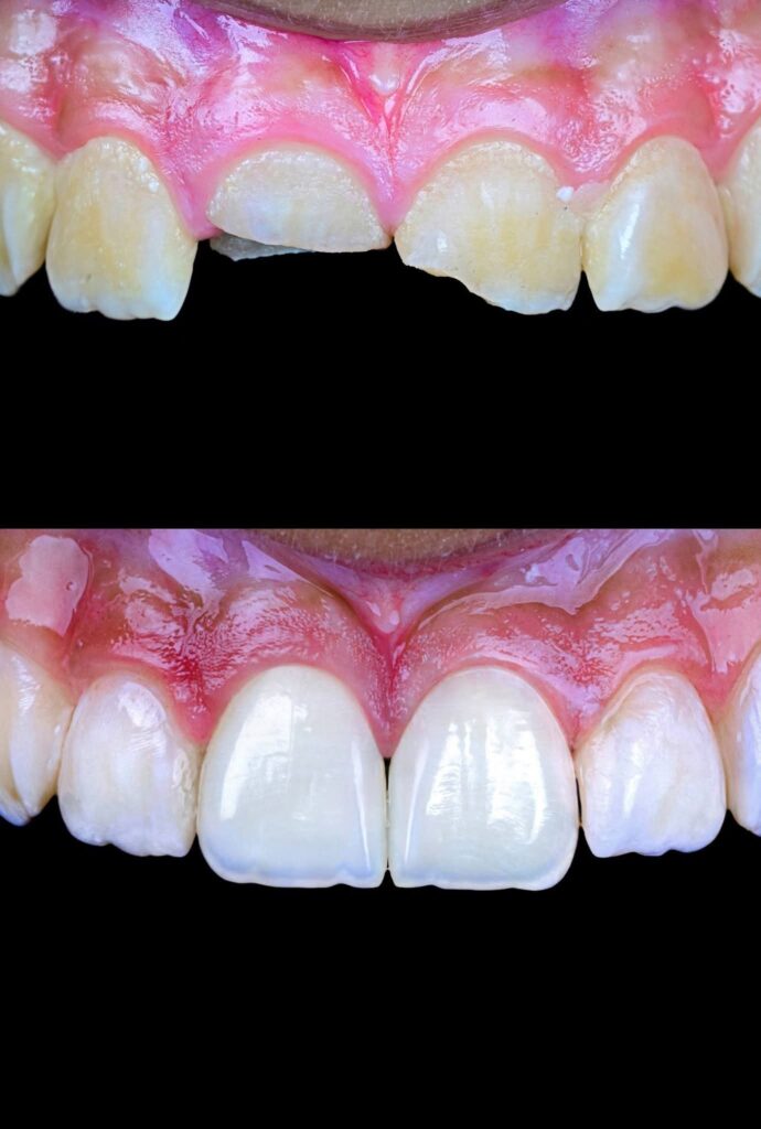
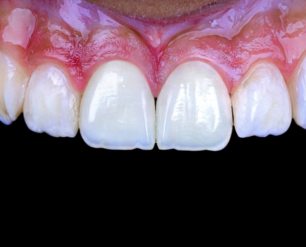
Symmetry and proportionality are fundamental principles in aesthetic dentistry, particularly in direct composite veneers, where the clinician acts simultaneously as a scientist and an artist. Successful veneers are not determined only by color and shape, but by the harmony between teeth, gingiva, lips, and face.
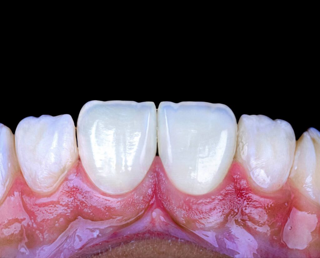
Symmetry refers to the mirror relationship between the right and left sides, especially the maxillary central incisors. Absolute symmetry is not always natural; therefore, perceived symmetry is more important than mathematical symmetry. Small differences in line angles, embrasures, and incisal edges can be used intentionally to create a natural appearance.
Proportionality relates to the width-to-length ratio and the relationship between anterior teeth. The ideal width/length ratio for central incisors is approximately 75–80%, and the apparent width proportion between anterior teeth often follows the golden proportion (~62%), although modern aesthetic dentistry prefers the concept of Recurring Esthetic Dental (RED) proportion for more natural results.
From an artistic perspective, the clinician should consider:
1. Tooth dominance (central incisors dominant)
Progressive embrasure increase from central to canine
2. Line angle positioning to control perceived tooth width
3. Surface texture and light reflection
4. Incisal translucency and halo effects
Scientifically, proper symmetry and proportions improve:
Smile harmony
Facial aesthetics
Patient satisfaction
Long-term aesthetic stability
Conclusion:
Direct composite veneers require a balance between mathematical proportions and artistic perception. The most aesthetic result is achieved not by perfect symmetry, but by natural, harmonious asymmetry combined with correct proportions.
With best regards.
Asst. Professor Dr. Mohammed Ali Fadhil
B.D.S., M.Sc., Ph.D.,
Restorative and Aesthetic Dentistry/
Baghdad College of Dentistry.
Share on: