Intraoral pictures are generally considered tricky. Dental photographic documentation is the result of teamwork and requires the followings:
1. A practitioner that is knowledgeable about photography,
2. A trained dental assistant and, last but not least.
3. A compliant patient.
All digital cameras are not the same. We have 2 main kinds of professional cameras (DSLR and mirrorless cameras). Nikon, Canon, Sony make very nice digital camera bodies. There are many factors when choosing which brand, but they all take beautiful pictures. The lens and flash system are the most critical component and must be appropriate for dental photography. The traditional lens setup is a 1:1, 105mm macro lens which will give us the best range to capture the full face or to zoom in on one tooth.
Being able to capture great images requires a little bit of an introduction to the three most basic camera settings: Aperture, ISO, and Shutter Speed.
Let’s start with one of the three main settings of exposure–the aperture setting. For dental photography using macro lenses, this opening can range from f/2.8–f/32 and is measured in f-stops. It’s important to keep in mind that the smaller the number of f-stops, the wider the aperture gets. An f-stop of f/2.8 means that the aperture hole is completely wide open, allowing maximum light to enter the camera sensor resulting in a very small area to be in focus and blurred background. On the other hand, an f-stop of f/32 means the hole is much smaller, with much less light entering the sensor providing larger area to be in focus.
Next up is ISO, which stands for “International Organization for Standardization”. ISO is more commonly referred to as your camera’s sensitivity to light and it is a much faster process in light manipulation. Simply, adjusting ISO levels will help brighten up or darken your images.
Lastly, we have the shutter speed which allows us to control how long the shutter stays open. The faster the shutter speed, the bigger the denominator. A slower shutter speed such as 1/100 of a second will allow more light to enter the sensor. Keep in mind that using slow shutter speeds will usually require a tripod or image stabilization to avoid blurry photos and camera shake.
Note: My advice is to buy a full-frame (high megapixels) professional camera body to have images with a high level of details.
My camera settings for intraoral photography are: (f-top= 25, ISO-200, Shutter speed=1/125), picture controls (‘vivid’ with increased contrast and color saturation), color space (sRGB), K ‘white balance’ (4500K), and group points auto-focus.
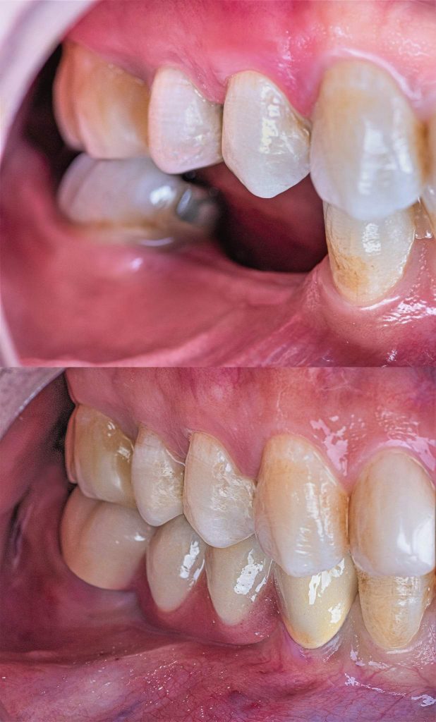
Today’s case is for a 43-year-old female patient with missed mandibular first and 2nd premolars. The patient was referred to an implantologist for implant supported prosthesis fabrication, but because of the proximity of the inferior dental canal which requires advanced surgical procedure (i.e., bypassing inferior dental canal as described by the implantologist) the patient refused such treatment and came back to me for the other treatment option which is the abutment supported fixed prosthesis.
Note: The amalgam restoration was done my me several years ago, after clinical and radiographical examination there were no problems with it (i.e., excellent seal, no gaps, no periapical changes). So, I decided not to replace this filling.
Special thanks for Wisam Raheem Ali and Ihsan Altaay for the excellent lab-work.
Best regards
Dr. Mohammed Ali Fadhil
M.Sc., Ph.D., Restorative and Aesthetic Dentistry/Baghdad college of dentistry
Share on: