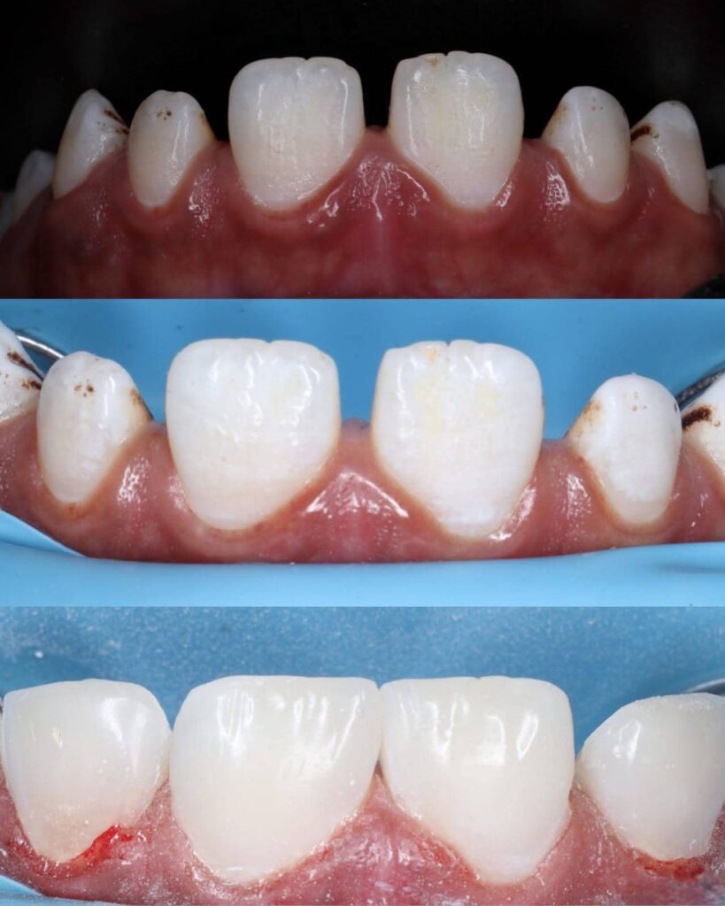
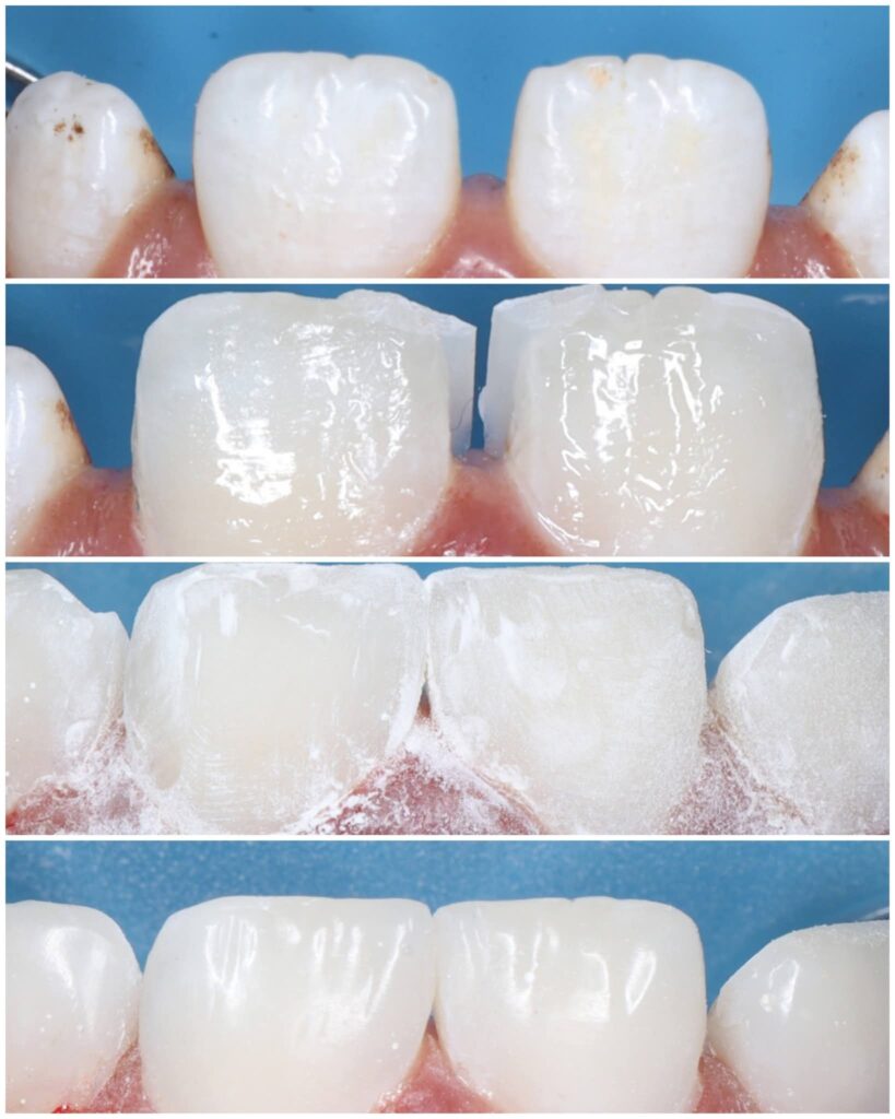
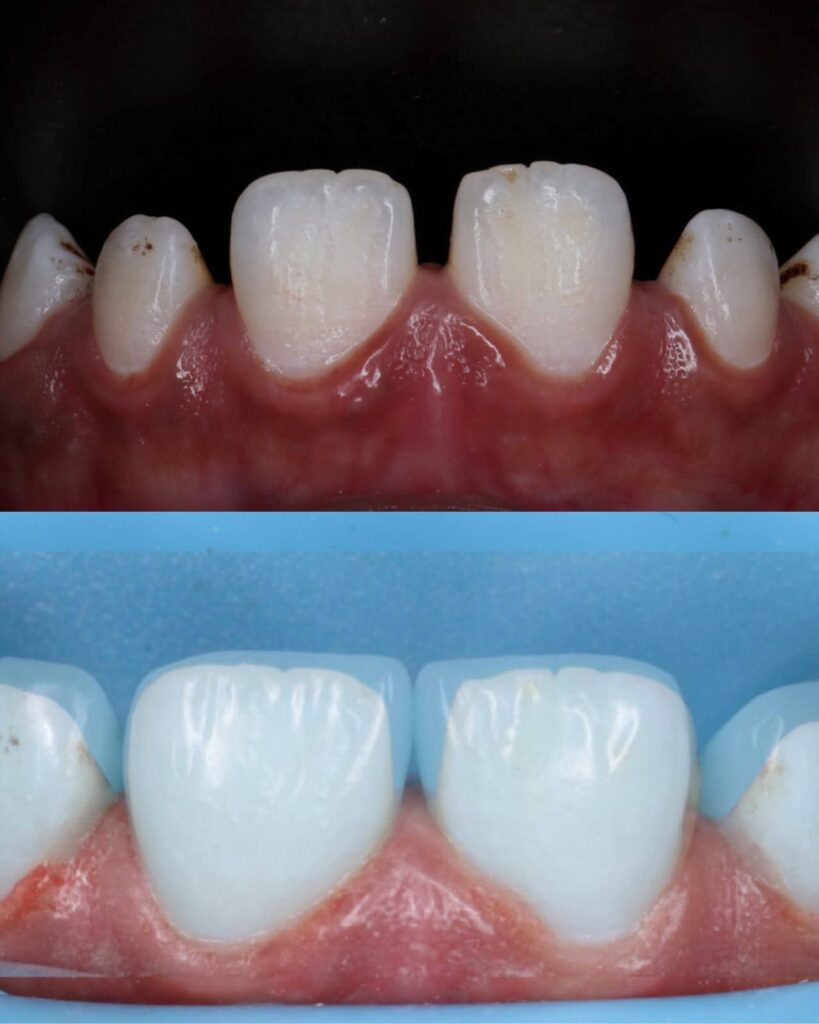
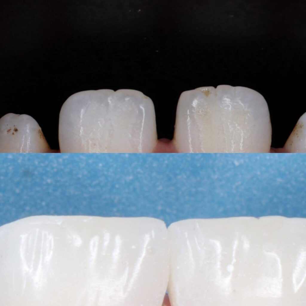
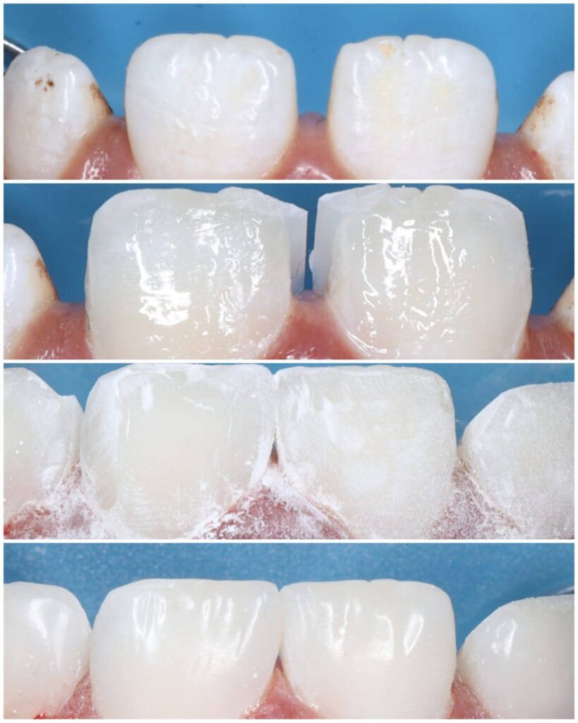
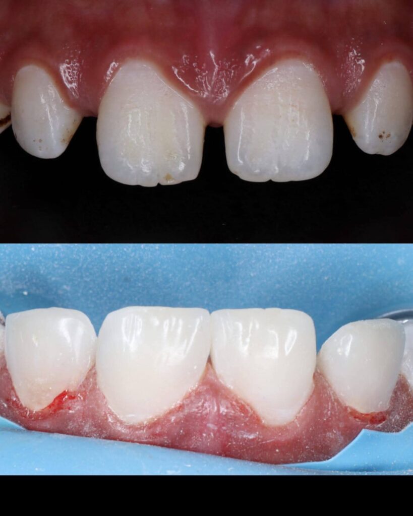
Managing multiple spaces and diastemas is not just about restorative skills… it’s about understanding biology, proportions, and aesthetics on a deeper level. True aesthetic dentistry goes beyond simply closing gaps — it’s about recreating natural harmony, ideal contact points, and preserving biological balance. Every detail matters: accurate case analysis, perfect isolation, respecting the biological width, and meticulous finishing & polishing. Because in the end… we don’t just “fill spaces” — we restore harmony.
Share on: