Sometimes when we talk with colleagues about Idoform and what they know about it, their thinking will go towards that this material is approved in surgical cases, such as a dry socket or post-extraction to stop the bleeding. From this logic, I decided to set out to learn about the magical Idoform and how it can be used in many ways. Our fields of dentistry, and being obsessed with the field of preventive pediatric dentistry, I chose for you this special and stubborn case and how we used the magic of iodoform to treat it.
Come with me, with love, to live this short story…
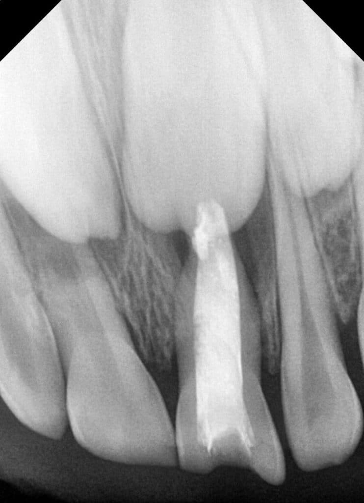
One day, a friend of mine called and told me that her 4-year-old nephew had an accident 6 months ago, and during this period the color of the tooth changed and the appearance of an abscess with pain lasted for a long time. We agreed on a day for the clinical examination, and when we examined her clinically, we found an actual change in The color of the tooth to a blackish-gray color, with pain during palpation, the presence of clear dents, and a change in the color of the gums, and when x-rays were taken, it showed (Fig 1 ).
All symptoms indicate resorting to the pulpectomy treatment plan, but while reading the x-rays, we suspected that there was a fracture at the end of the root, and this is what made us a big lake, and we had two options for treatment
The first:
It is to start treating the tooth with pulpectomy, but with the condition that the abscess disappears, even if this option costs us a long time and many visits.
As for the second option:
It was (extraction) I did not like these options with milk teeth for children, because of the psychological effects that this option has on the child first and on the permanent teeth and the problems of delay in their appearance.
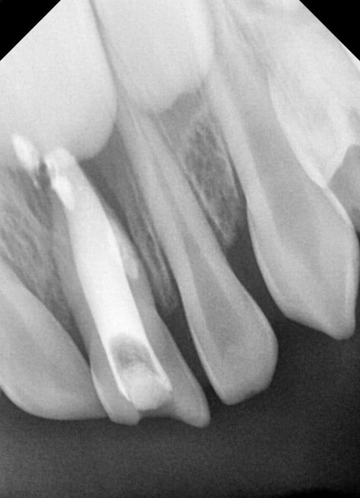
Therefore, I was a fan of the first plan, and strongly, and here we have started, and the fact that the area was infected and the presence of a lesion, and this treatment plan needs irrigation so that we can empty the internal inflammatory substance in the bone because there are abrasions, and the fact that the x-rays showed me a semi-fracture inside The root was at the Apex, as I was very afraid of using sodium hydrochloride in the first visit, so the first visit was only drainage by warm Normal saline (Fig 2 ), where it is benefited from the warm Normal saline as being a very excellent agent for the exit of surgery and pus from the tissues and does not cause pressure on the tissues and causing pain During the irrigation process, in addition to being very safe, sodium hydrochloride avoids an accident if there is a root fracture.
This was the first visit. (Fig 3)
On the second visit, which was 5 days after the first visit, the child came with a noticeable improvement (small size of the abscess). This development was encouraging for me and her. We repeated the irrigation process and
We prepared the tooth canal by the instrumentation process, by which we widened the canal to k-file #55, the size canal of the primary central incisor is wide, so we needed to remove the pulp with a little expansion. After the end of the second visit, we gave the child an appropriate dose of antibiotics according to her weight. (Fig 4)
On the third visit, the child came with the disappearance of the abscess, and this thing was very joyful, but when the paper point was inserted, there was pain and blood at the end of the paper point, in addition to the presence of a foul smell indicating that the area was still infected and would not be fully cured, and here we decided to work with irrigation only.
In the fourth week, the child returned with an abscess, pain, a bad smell, and pain during tenderness. Here, it was a shock for me, and I knew that the treatment plan would take longer. The parents of the child wanted to resort to the decision of tooth extraction. I did not want to take this step because of its negative effects. Negatively on the child, in consultation with the parents, they retracted this decision, and in turn, we decided to move to a new step in the work.
After making sure that there was no fracture at the end of the root, i.e. (the possibility of sodium hydrochloride accident), here the irrigation process began with diluted sodium hydrochloride .
Where the amount of commercial sodium hydrochloride was diluted to three times 1:3 using Normal saline, and we continued to perfuse in this way for some time (21\12\2022-20\2\2023) (Fig 5)
After this period, the result was a stubborn lesion. There was no improvement at all. I did not want to resort to extraction or give up.
Here I decided to move to the Intermediation Canal, so the idea of using Idoform came to my mind, because of what I saw of its great effect in treating bacterial and fungal infections. I searched for this substance and its effects on children. I did not find anything that proves that it is dangerous for children. It is compounded with calcium hydroxide, as this substance performs a wonderful job with Idoform .
Furthermore, Iodoform has been added to Ca(OH)2 due to its antibacterial effect healing properties, and ability to be resorbed when in excess. The reported success rate for the combined Ca(OH)2/iodoform paste ranges from 84% to 100%. Additional benefits of iodoform include its radiopacity, the ease with which it can be introduced and removed from the canal, and its ability to be resorbed within 1-2 weeks once it has been extruded beyond the apex . (Fig 6 )
And fact that the irrigation materials used are Normal Saline and Sodium Hypo chloride, and after researching the results of the interaction of these solutions with Idoform and Calcium Hydroxide, the effect or interference of Sodium Hypo chloride until now is still controversial .
The child came, and after irrigating it with diluted sodium hypochloride, then irrigating the canal well with Normal Saline, then we inserted (Idoform with Calcium Hydroxide) inside the canal and left it for a week. (Fig 7)
A week later, the girl came, and here was the shock. I found an 85% disappearance of the lesion, with no abscess, in addition to the absence of tenderness, and the disappearance of all symptoms. Moreover, when inserting the paper point, I did not find odor or blood in the apex.
This was very encouraging (Fig 8)
Here, we washed the canal well with Normal Saline solution, and after drying the canal well with a paper point, then we inserted the base, which consists of a mixture of (calcium hydroxide/iodoform + zinc oxide eugenol) (Fig 9)
Why this particular mix?
Despite the wonderful benefits of calcium hydroxide with Iodoform, it decomposes over time and runs out of the canal. Therefore, its adoption as a base alone leads to failure in the root filling, and this is because this material can absorb liquids and dissolve.
Therefore, if you want to use this material as a base inside the canal, you must mix it with strong and insoluble cement. The best type of cement used in pulpectomy in children is zinc oxide eugenol.
After filling this base inside the canal and closing the tooth, we gave one month or more as a follow-up.
After 40 days of follow-up, this result was (Fig 10 )
Yes, gentlemen, it is the magic of iodoform. The excess substance behind the apex in the previous rays has been dissolved during this period, due to the ability to dissolve calcium hydroxide with iodoform during the tissues for one to two weeks.
After the completion of our job to make cosmetic fillings for the child. (Fig 11)
Some may say why all this effort and it is very possible to shorten the time by using intramedication canal from the second or even the first visit. Taking such a step is a very big responsibility, given that the one you are dealing with is a child who does not exceed 5 years, so every step in the work must be safe and not It harms or affects the child’s mental and physical health, in addition to that many types of the intramedication canal have not yet proven the extent of their health impact on the child, and does it affect negatively or positively if it goes out to the surrounding tissues behind the apical
There is nothing wrong with spending effort and time to maintain the health of the child, in addition to the fact that the milk teeth are very necessary to preserve them until the permanent teeth erupt. It is embedded inside the jaw, in addition to the psychological impact on the child, and sometimes he may be subjected to bullying by his colleagues.
3\12\2022
3\12\2022
8\12\2022
irrigation by Normal saline and Sodium Hypochloride (21\12\2022-20\2\2023)
calcium hydroxide with iodoform
20/2/2023
After one week on 28/2/2023
a mixture of (calcium hydroxide/iodoform + zinc oxide eugenol)
After 40 days of follow-up on 8\4\2023
Share on: