It’s always a pleasure to save the pulp vitality
And to give the pulp another chance to survive
With PIAR ( posterior indirect adhesive restoration)
Partial caries removal using CCD is the kay of success
EG DENT caries detector dye ✨️
Go Dent best dental mirrors 🪞
Flexi Shield By Lumos copper band for deep margin elevation
This was the initial situation before any tooth structure removal
After many time of CDD application
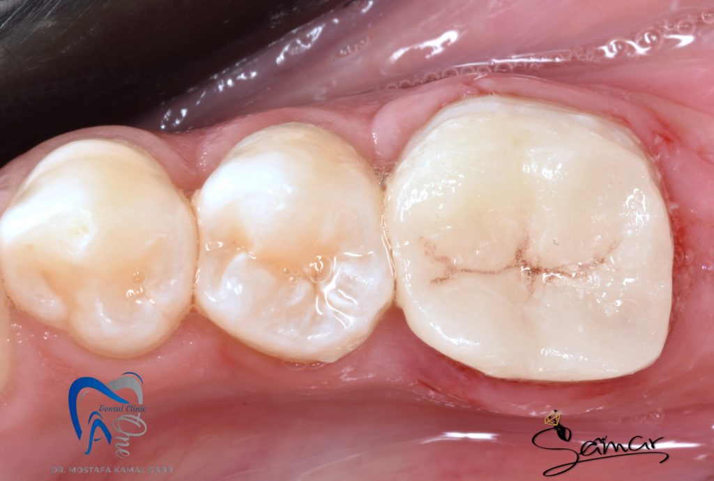
Final design
After IDS and resin coat using high filled flowable composite
then follow up period of 3 months before final extarcronal restoration
Bonding using heated composite
Final post operative and Radiograph veiw
Buccal view
pre and post periapical radiograph
copper band from Flexi sheild by lumos
caries detector dye in action
Share on: