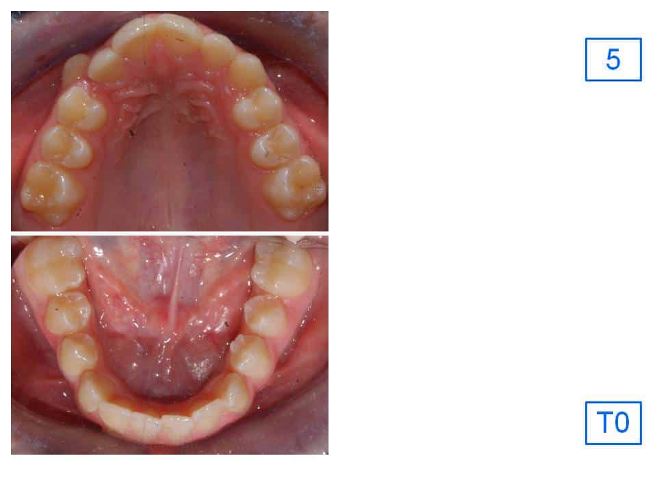
La paziente di 12 anni presentava una disarmonia del terzo inferiore del viso (figura 1) dovuta a retrusione delle labbra rispetto alla linea estetica (figura 2) e marcata prominenza del labbro inferiore rispetto al superiore. All’esame obiettivo del cavo orale non si osservavano lesioni cariose destruenti ne penetranti. All’esame occlusale si osservava in massima intercuspidazione un rapporto di III^ classe a destra, I^ classe a sinistra, latero-deviazione a destra della mediana inferiore ed inversione anteriore del morso (OVJ negativo) e marcata riduzione dell’OVB (figura 4). Presentava inoltre una displasia dento-alveolare mascellare con conseguente assenza di spazio o affollamento mascellare con distopia vestibolare del 13 (figura 5). L’ortopantomografia (figura 3) mostrava le gemme degli ottavi ed una incompleta apicificazione dei premolari e dei settimi, caratteristiche congrue con l’età della paziente. L’analisi cefalometrica della teleradiografia in proiezione latero-laterale a T0, ovvero prima della terapia (figura 3) mostrava una struttura scheletrica di III^ classe, ANB negativo (ANB, -1°) con indice di Wits (AOBO, -8,4 mm) marcatamente negativo. La struttura di III^ classe appariva sostenuta da una aumentata dimensione sagittale del corpo mandibolare (GoMe, 74,9 mm) rispetto alla Base Cranica Anteriore BCA (Se-N, 63,2 mm), mentre la posizione dei condili mandibolari rispetto alla BCA (NSAr, 124,9°) sebbene lievemente retrusa non superava il valore assunto come normale di 122°. Pertanto data la posizione normale del mascellare rispetto alla BCA (SNA, 82°), si classificava la malocclusione come dento-scheletrica di III^ classe da protrusione mandibolare dimensionale da corpo mandibolare aumentato. Il compenso dentale spontaneo alla malocclusione di III^ classe era osservabile come una retro inclinazione degli incisivi inferiori rispetto alla base mandibolare (IMPA, 80,4°) ed una proinclinazione degli incisivi superiori rispetto al piano bispinale (IncS/Sna-Snp, 118°). La stadiazione della maturazione delle vertebre cervicali (CVMS) appariva identificabile come II^ stadio.
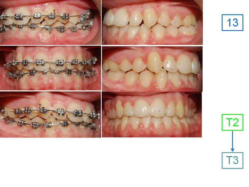
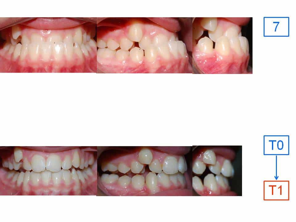
La paziente è stata sottoposta ad una fase di terapia ortopedica utile a ridurre la componente scheletrica basale della disgnazia. La fase ortopedica è stata eseguita mediante l’impiego di docce occlusali di III^ classe associate ad elastici di III^ classe (figura 6). La fase ortopedica è stata attuata per un periodo di 6 mesi durante il quale la paziente fu istruita ad indossare le docce per 18 su 24 ore e di sostituire gli elastici 3 volte nell’arco delle 18 ore. Dopo 6 mesi di fase ortopedica la paziente presentava un drastico miglioramento dell’OVJ (figura 7), ovvero un OVJ positivo, ed un significativo miglioramento del profilo facciale (figure 8 e 9). L’analisi cefalometrica eseguita su teleradiografia eseguita dopo il termine della fase ortopedica (T1) (figura 10) rispetto a quella eseguita a T0 mostrava un aumento della dimensione del corpo mandibolare e dell’angolo sellare suggestivi di un aumento della dimensione complessiva della mandibola ma il mantenimento dello stesso angolo SNB (83°) rispetto all’analisi in T0. L’analisi in T1 evidenziava in oltre un aumento dell’angolo SNA (84,3°), un incremento di 8 mm dell’AOBO fino a +0,7 in T1. La divergenza del piano mandibolare rispetto alla BCA in T1 rimaneva su un valore di 29,4° sovrapponibile a quello registrato in T0 di 31,8°, tale comportamento del piano mandibolare indicava una contenuta postero-rotazione del piano mandibolare durante la fase ortopedica. Si osservava inoltre in T1 un aumento della lunghezza mascellare Snp-A di 6 mm rispetto a T0. Contiguamente al termine della fase ortopedica è stata iniziata la fase ortodontica per il recupero di spazio in regione 13, tale recupero di spazio fu attuato mediante distalizzatore fisso del tipo Distal-jet. Il dispositivo è stato impiegato per un periodo di 10 mesi fino a ricavare lo spazio utile all’estrusione ortodontica del 13 in arcata (figura 10). Dopo la fase di distalizzazione lo spazio recuperato era stato mantenuto mediante impiego di bottone di nance la cui permanenza si protraeva fino al termine della distalizzazione di 14 e 15 ed estrusione del 13. Tali meccaniche furono attuate mediante sezionali di distalizzazione e cantilever di estrusione sul 13. Dopo tale fase, rimosso il bottone di Nance, si procedeva alla cementazione attacchi (tecnica bidimensionale) ad entrambe le arcate utile alla coordinazione reciproca dei contatti occlusali ed alla rifinitura (figure 11 e 12). Il dispositivo fisso multi-attacchi è stato mantenuto per 12 mesi. La terapia ha avuto una durata complessiva di circa 30 mesi. La figura 13 mostra l’aspetto occlusale della paziente a circa 1 anno dal termine della terapia. L’evoluzione del profilo della paziente nelle varie fasi del trattamento è mostrata nella figura 14.
Share on: