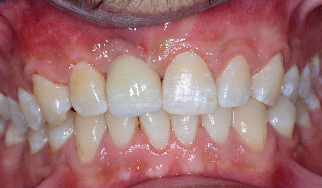
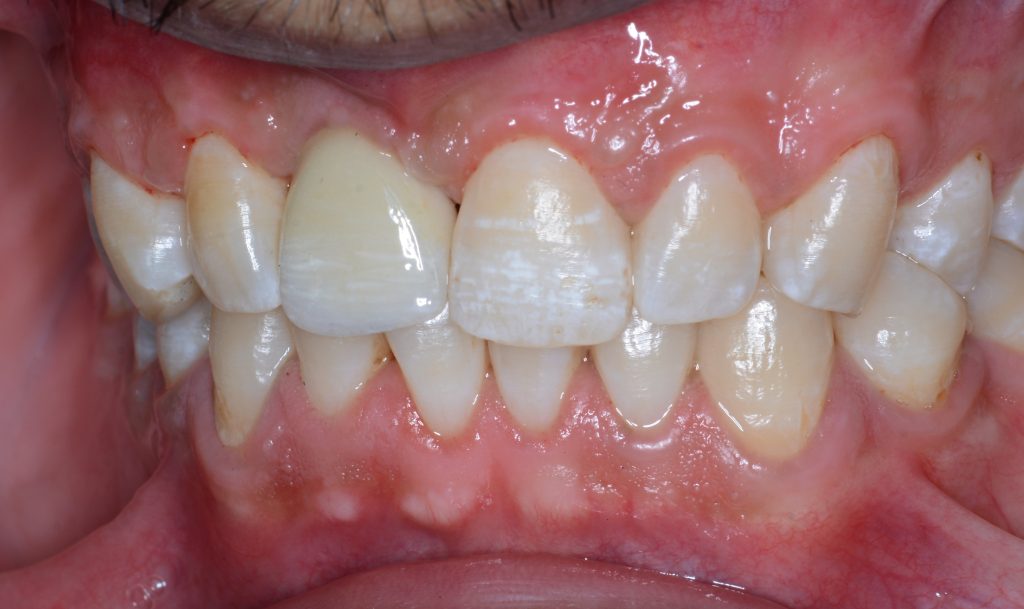
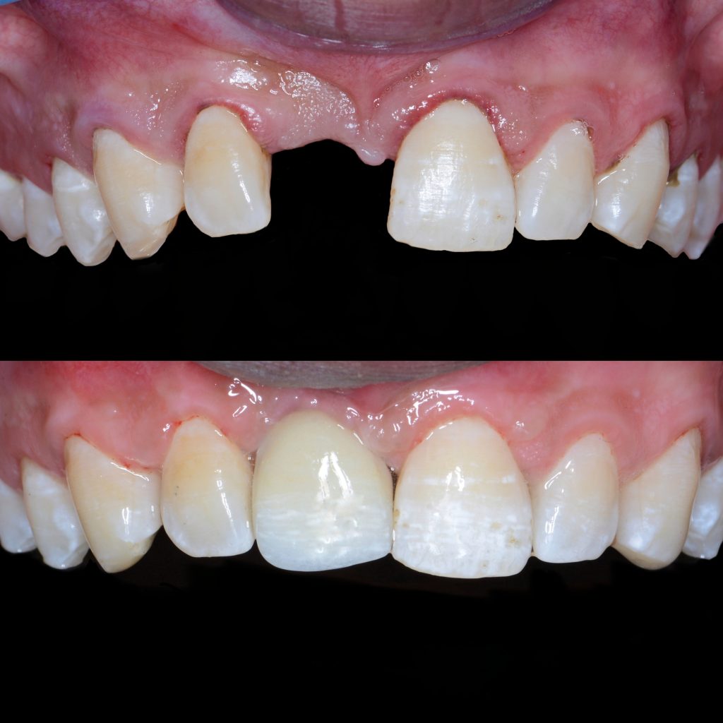
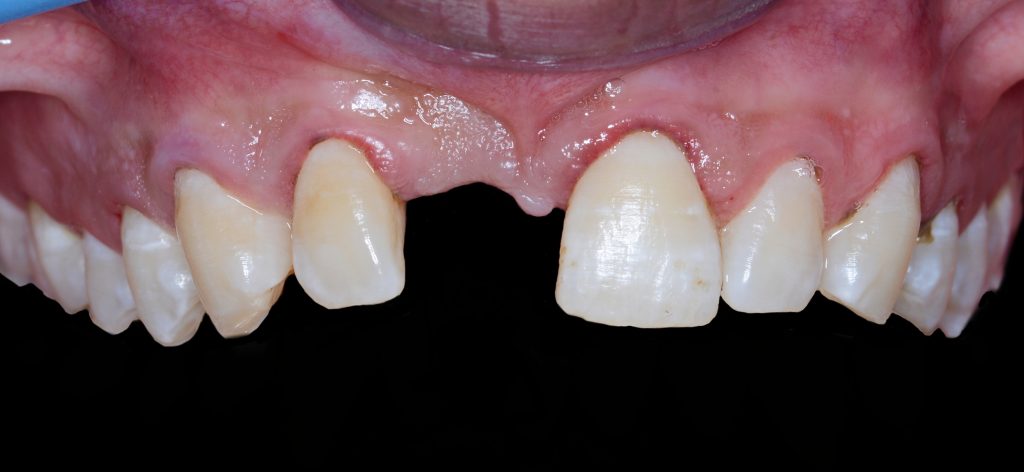
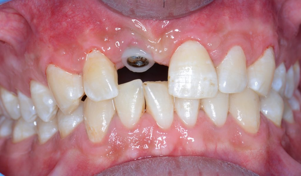
The patient suffered from the loss of a front tooth due to trauma or severe decay, which also led to bone loss in the affected area. Since front teeth play a crucial role in speech, aesthetics, and function, a comprehensive treatment plan was designed to restore both the missing tooth and the lost bone.
The treatment began with a bone graft to rebuild the lost bone and prepare the area for a dental implant. After the healing period, a dental implant was placed to ensure stability and replace the missing tooth. Once the implant successfully integrated with the bone, a prosthetic tooth was attached, restoring the patient’s ability to chew naturally while also improving the aesthetic and functional aspects of their smile
.
Share on: