Upper arch rehabilitation
treatment plan
scaling and polishing
removal of old restoration
laser gingivectomy and temporary for 2 weeks
Endo treatment
post and core build up then reduction followed by temporary for one week
finishing reduction and impressions
cementation after one week
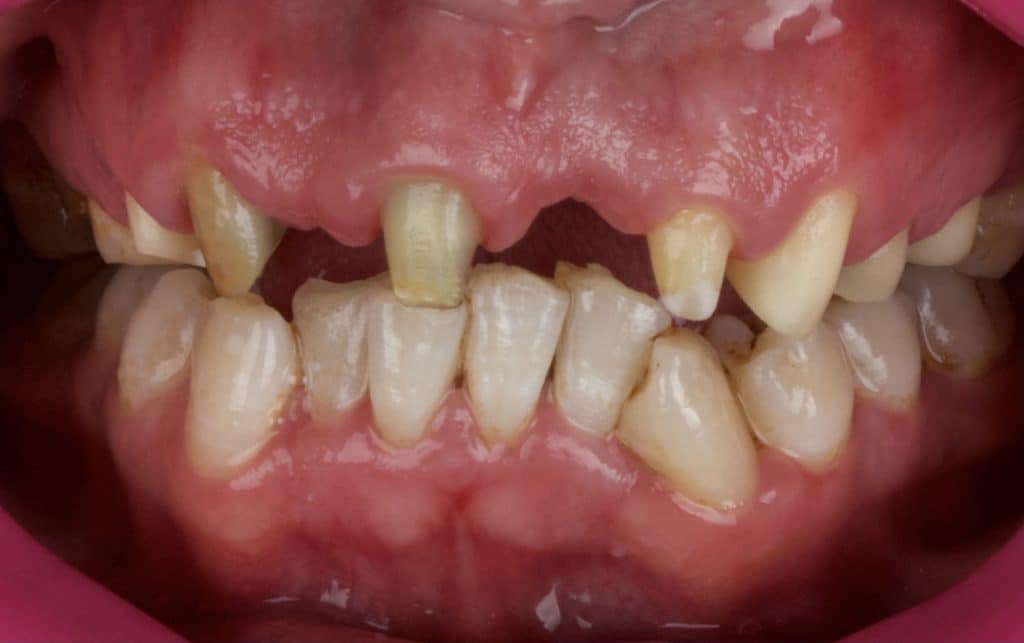
Initial situation
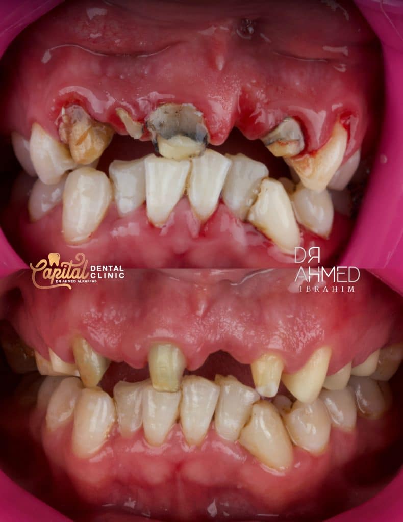
After scaling and removal of old crowns and bridge
Temporary after laser treatment that will last for 2 weeks
Post and core build up then reduction
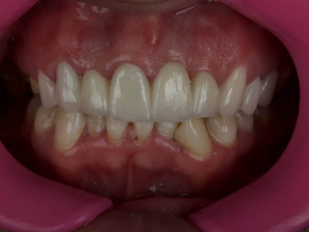
Immediately after cementation
Old preps vs new preps
Old restoration vs new restoration
Share on: