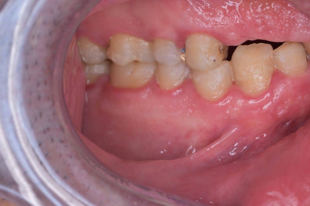
Patient came with fallen bad PFM bridge since 1 year without any replacement ..
after clinical examination found out :
– loss off VOD ( Vertical Occlusal Dimension)
– attrition in the lowers especially the anteriors
– caries in abutments
– bad oral hygiene
patient refused implants so the other choise was fixed prosthetic zirconia bridge
So we began with scaling and oral hyagien instructions , endo treatment for the upper right 4 , Filling restorations , DSD and deprograming and raising the bite about 2,5 mm .
According to Ante’s law we decided the bridge would be from left 5 to right 5
finally a night guard for the lower until he come back again
P.S a restorative fillings by composite were done for the upper right and left 6 , 7 after the insertion to collaborate the raised bite .
Share on: