11 years old child attend to clinic for restoring his lower first molar ,
- Details under each photo
Initial situation showing large amalgam filling that need to be replaced as the child will have an orthodontic treatment
After amalgam removal and sandblast the cavity, the pulp exposed (my mistake)
I slightly enlarge the exposure site , rinse it with diluted sodium hypochlorite
Bioceramic putty (Neoputty) in the exposure site then direct restoration completed in the same visit to get the immediate dentin sealing
, gold standard clearfil SE bond used for that purpose , RC with flowable composite
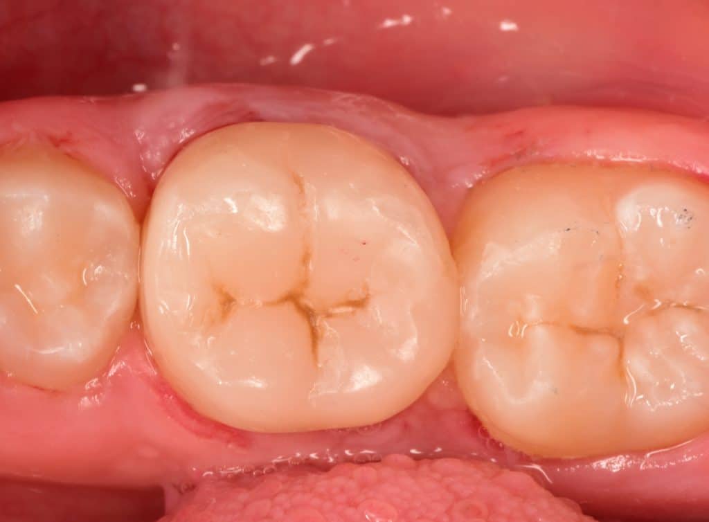
Immediate result before final finishing and polishing
Final result after checking the high spots
Final result
You can read this statement that prepared by the AAE special committee on vital pulp therapy
Over than 90 references on this statement
Share on: