Amalgums are restorative materials that have been in use for more than a century in the field of restorative dentistry. Yet their use is diminishing due to increased desire for esthetic restorations by the patients and the notion that amalgums cause unwanted systemic effects.
Yet there is no conclusive evidence on the matter yet.
None the less, what are the indications for amalgums…
- When the restorative margin is in dentin.
- When the patient desires a cheaper restoration.
We know that the bond to dentin is never as good as it is to enamel. So when the class 2 has a cervical margin is clearly in dentin and is subgingival, it is a good indication to do amalgums which are known to have corrosion products that seal the margins over time.
initial entry into 15 showing the proximal caries..
on entry.. the caries on the mesial of the molar is seen..
as caries removal is started.. the extent of the decay is noted..
caries removal on 14 is complete
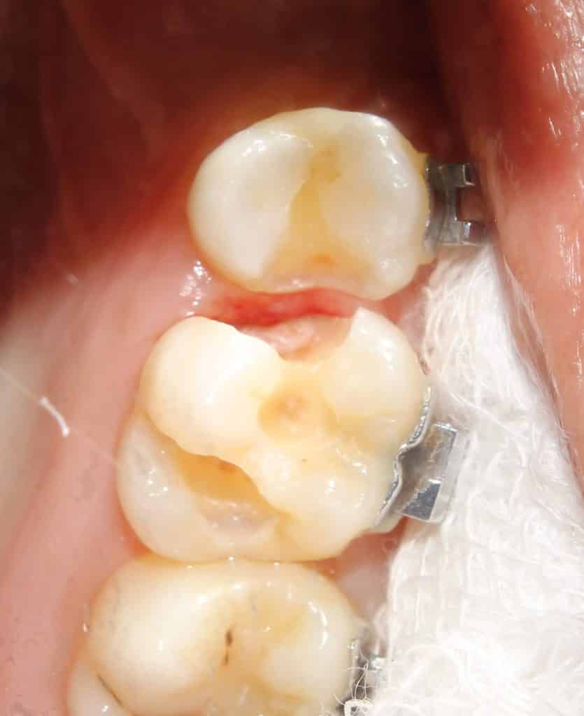
both preps are visualized.. the cervical margin of 15 is in enamel.. the margin of 16 is in dentin..
matrixing..
the completed work with amalgum done on 16 mesial.. and composites on all other cavities..
Share on: