The present clinical case aimed at showing the different advantages of an innovative resin-modified glass-ionomer cement (FujiCEM Evolve), just like ease of use (the possibility to use the automixing dispenser makes cement application very slightly dependent on the operator’s skill), moisture tolerance (ideal in the presence of iuxta- or sub-gingival margins and requiring no isolation) and versatility (suitable for different restorative materials).

Extraoral pre-operative view.

Intraoral pre-operative view.

Maxillary front teeth preparations for single crowns.

Layered cubic zirconia anterior single crowns (MDT Mr. Vincenzo Mutone)

Maxillary central incisor zirconia crowns filled with resin-modified glass-ionomer cement (FujiCEM Evolve).

PTFE- assisted cementation of the maxillary central incisors.

PTFE- assisted cementation of the maxillary lateral incisors.

PTFE- assisted cementation of the maxillary canines.

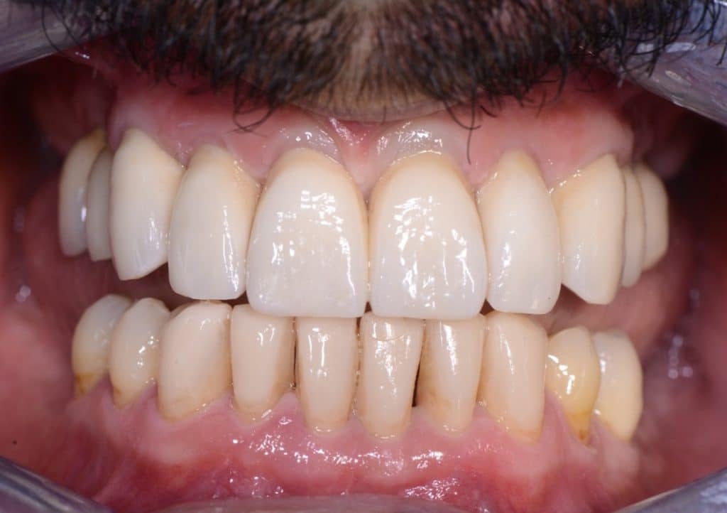
Post-operative view: layered cubic zirconia single crowns at the maxillary arch and injected direct composite restorations at the mandibular arch.

Extraoral post-operative view.

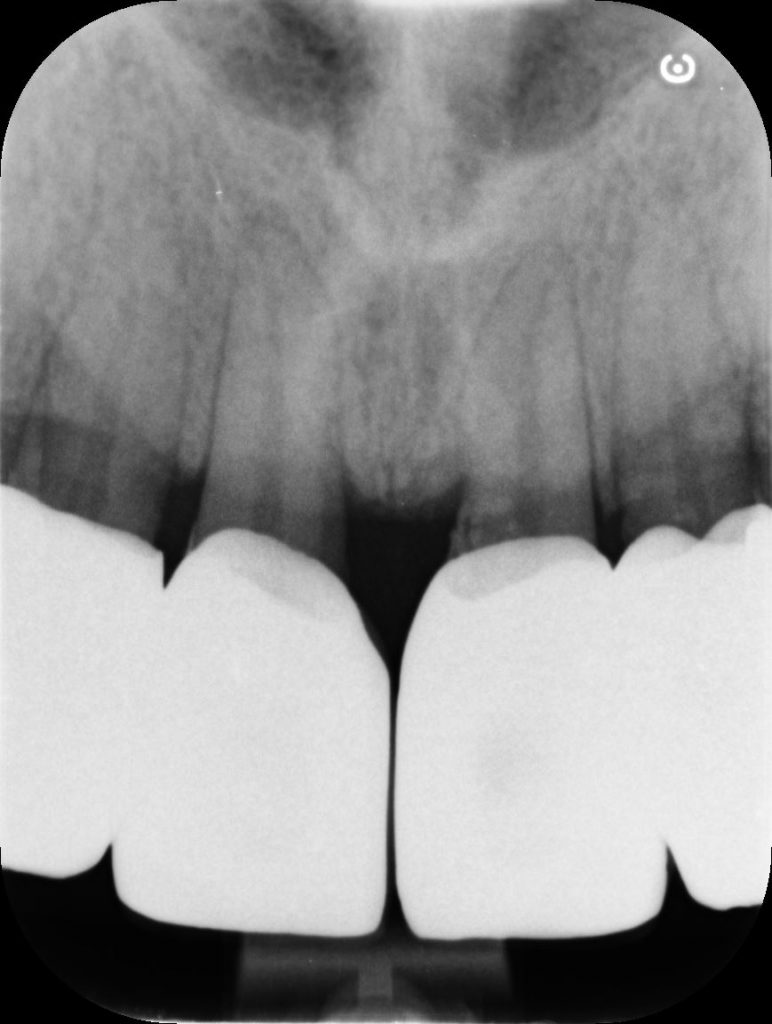
RX right side

RX frontal view

RX left side

1-year follow-up
BIBLIOGRAPHY
• Current status on lithium disilicate and zirconia: a narrative review.
Zarone F, Di Mauro MI, Ausiello P, Ruggiero G, Sorrentino R.BMC Oral Health. 2019 Jul 4;19(1):134
• Effects of Finish Line Design and Fatigue Cyclic Loading on Phase Transformation of Zirconia Dental Ceramics: A Qualitative Micro-Raman Spectroscopic Analysis.
Sorrentino R, Navarra CO, Di Lenarda R, Breschi L, Zarone F, Cadenaro M, Spagnuolo G.Materials (Basel). 2019 Mar 14;12(6):863
• Aging resistance, mechanical properties and translucency of different yttria-stabilized zirconia ceramics for monolithic dental crown applications.
Camposilvan E, Leone R, Gremillard L, Sorrentino R, Zarone F, Ferrari M, Chevalier J.Dent Mater. 2018 Jun;34(6):879-890
Share on: