retreatment of old crowns .
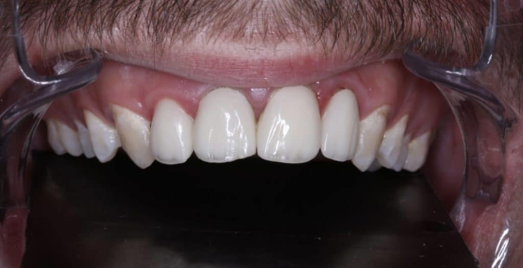
1,2 – final smile
3-healthy gingival
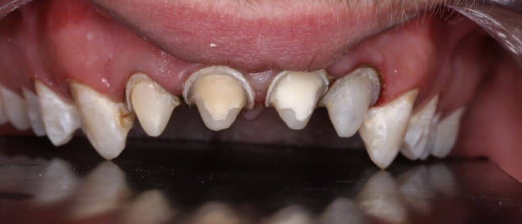
4-new prepration
5-new build up of teeth
6-all teeth retreatment of root canals under rubber dam but isolation this tooth is challenged
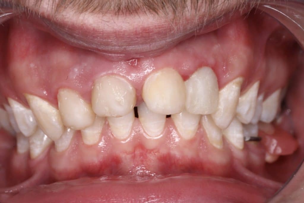
7,8-before treatment
9-x-ray for retreatment root canals
Share on: