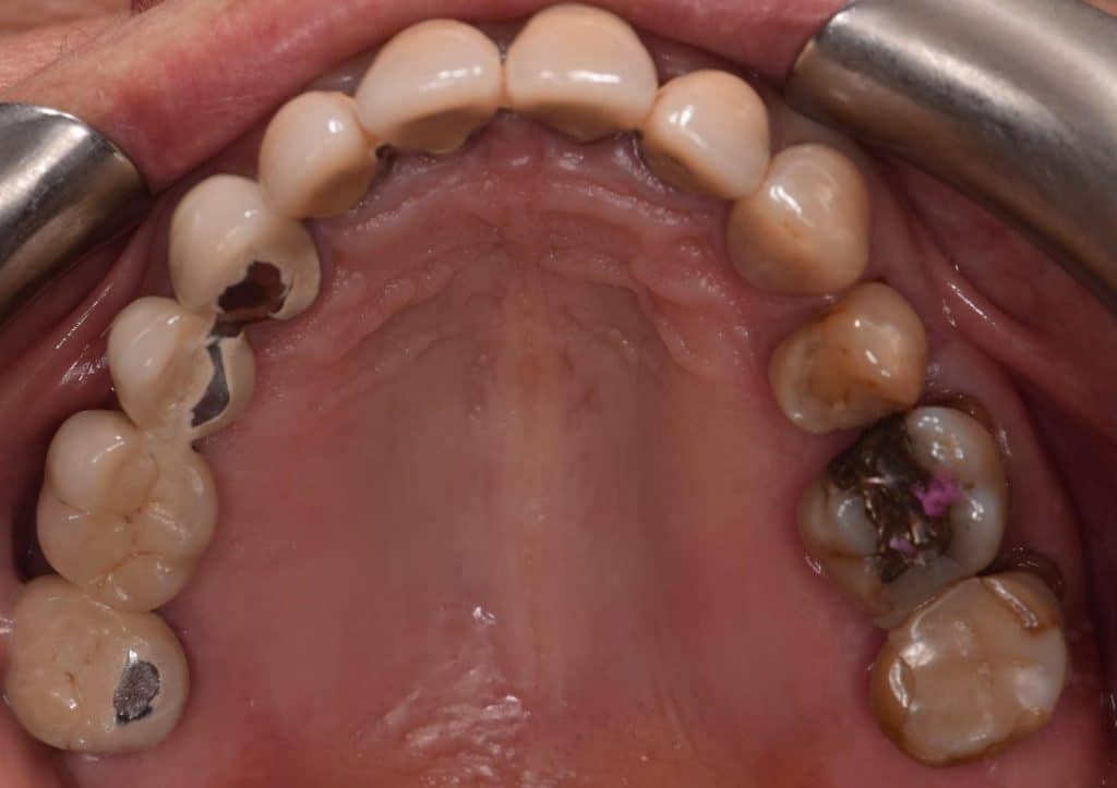
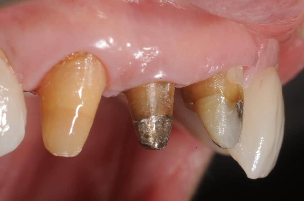
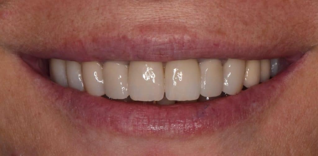
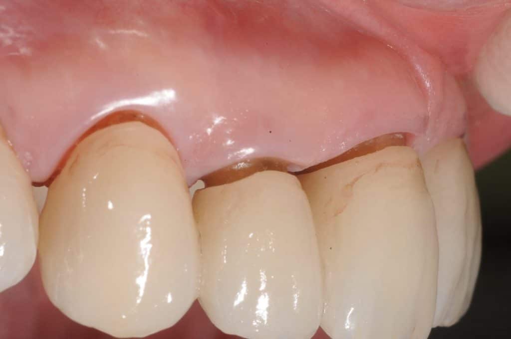
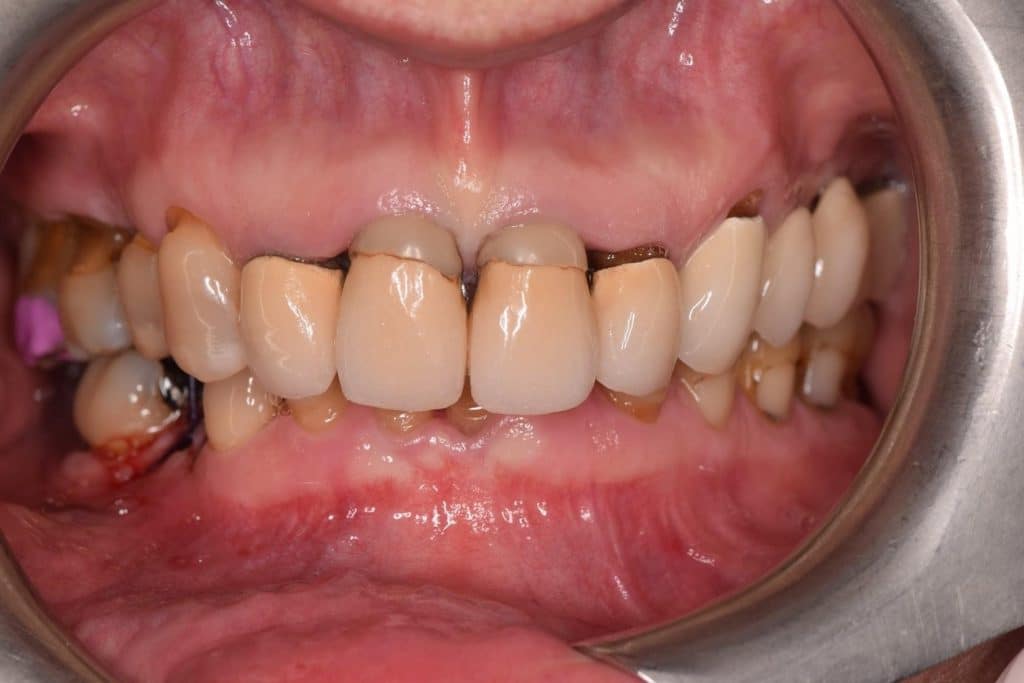
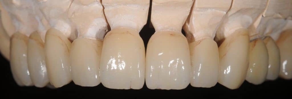
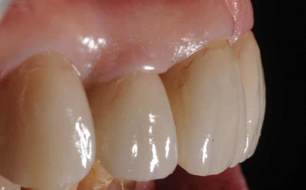
I started this case 3 yrs ago, a 55 yrs old lady, due to esthetic and functional issues. Both arches were in needs but first we started with upper one for economic reasons. We removed old prosthesis, re prepped, placed 2 implants, fixed perio and endo problems. During this period covid arrived, adding more difficulties on managing and scheduling. So against all odds finally we were able to place the final restoration
Share on: