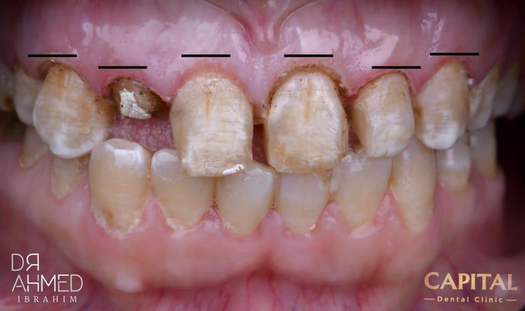
32 years old female patient was referred to me complaining of broken upper anterior tooth leading to dissatisfaction with her smile
The patient is medically free from any systemic disease
After clinical examination it was revealed that the patient suffer from
1.broken upper right lateral incisor with no ferrule for crown preparation
2.multiple carious lesions in upper anterior teeth
3.non uniform gingival contour
So my treatment plan is
1.scaling and oral hygiene measures
2.gingival contouring using diode laser
*to create ferrule in upper right lateral
*to adjust gingival line
3.prosthetic treatment
Initial situation
After laser gingival contouring
2 weeks follow up
Preparation and impression
Initial situation vs immediately after cementation
Treatment steps
Share on: