ℹ️What steps do we take when dealing with deep cavities at the bone level?
The position of the cej was altered to be 3 mm above bone level
Fiber materials were used to strengthen the furcation area prior to the biobase.The patient’s high saliva density made it necessary to use an intraoral scanner on a rubber dam
In this case where tissue loss is high, we thought that using a resin-containing ceramic block would increase the strength of the tooth in the long term.
Voco Grandio A2 HT (Highest filler content 86 % w/w )
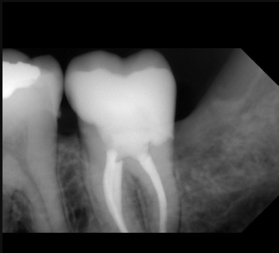
1.Gingivectomy
2.Root canal treatment
3.Fiber reinforced bio base
4.Resin-ceramic overlay
Share on: