Diagnosis is the endpoint of a complex process centered on a patient, collaborating with both the patient and other sources of clinical information to reason backward as to the potential health issue causing the patient’s current condition.
Diagnosis
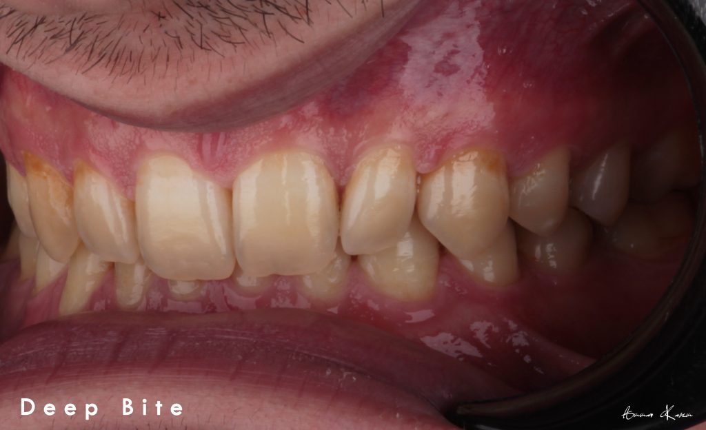
– Deep bite
– Sever retroclination of maxillary and mandibular teeth
– low inter-lip distance
Treatment options
– Orthodontic therapy
– Prosthetic approach
Reference:
1. Stanley M, Paz AG, Miguel I, Coachman C. Fully digital workflow, integrating dental scan, smile design and CAD-CAM: case report. BMC Oral Health. 2018 Aug 7;18(1):134.
2. Malchiodi L, Zotti F, Moro T, De Santis D, Albanese M. Clinical and Esthetical Evaluation of 79 Lithium Disilicate Multilayered Anterior Veneers with a Medium Follow-Up of 3 Years. Eur J Dent. 2019 Oct;13(4):581-588.
3. Ferrando Cascales Á, Sauro S, Hirata R, Astudillo-Rubio D, Ferrando Cascales R, Agustín-Panadero R, Delgado-Gaete A. Total Rehabilitation Using Adhesive Dental Restorations in Patients with Severe Tooth Wear: A 5-Year Retrospective Case Series Study. J Clin Med. 2023 Aug 10;12(16):5222.
Share on: