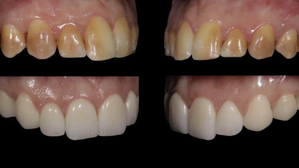
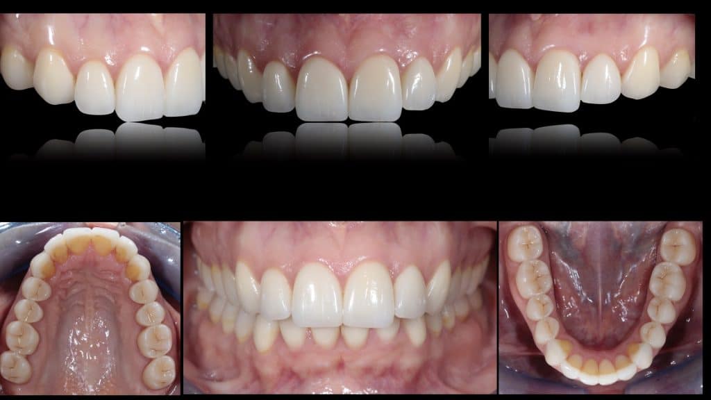
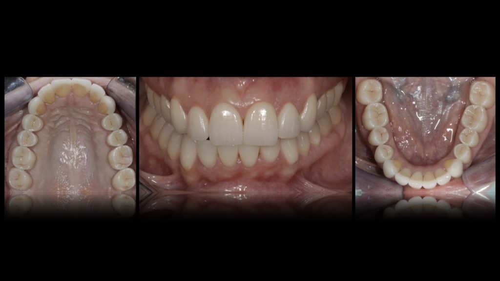
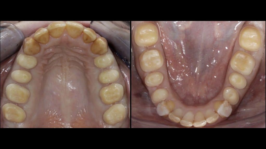
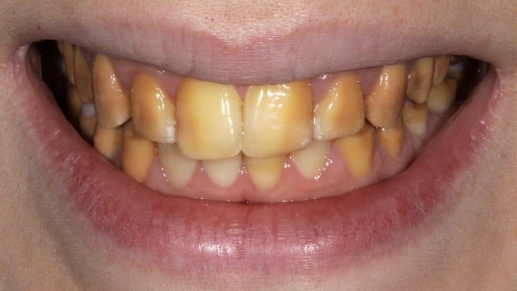
Il caso presentato si riferisce ad una situazione di amelogenesi imperfetta generalizzata trattata con terapia di mantenimento fino all’eta’ adulta.
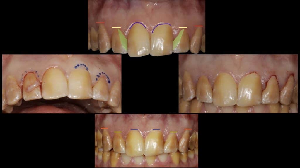
Ogni terapia restaurativa protesica deve essere orientata ad ottenere il miglior risultato con il minor costo biologico possibile e attraverso un piano di trattamento multidisciplinare e’ stato possibile realizzare una riabilitazione minimamente invasiva presentando il risultato ottenuto e il follow up a 15 anni.
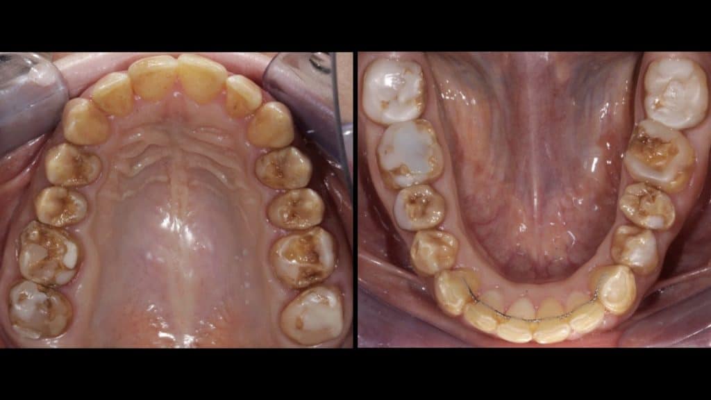
E’ stata eseguita una terapia ortodontica iniziale a cui ha fatto seguito un trattamento chirurgico parodontale preliminare alla terapia restaurativa avvenuta con onlay in disilicato di litio monolitico pressato per i settori posteriori e faccette feldspatiche per il settore estetico
Share on: