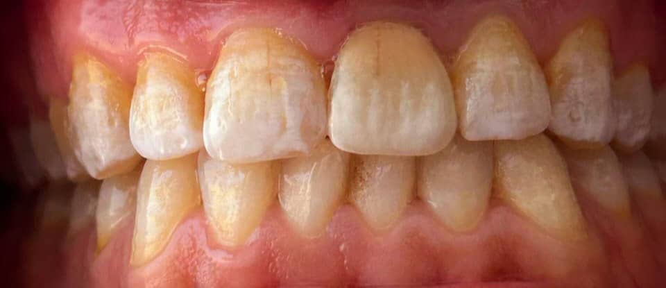
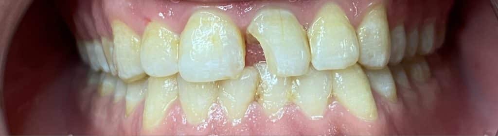
[Under guidance of Prof Nasser hussein MTI university]. A28 years old male with upper central have endodontic treatment and with large proximal defect with un supported labial tooth structure so the choice with a single pressed lithium disilcate crown first we saw that the other central wasn’t ideal in shape and have multiple types of staining we took some photos to contact the lab and make a shade map for the central then the preparation was 1mm axially and 2mm incisally with supragingival finish line as he had low smile line. After that the pmma try in was perfect . Then delivery came with vertical brown stain to mimic the other central and white stains for the same reason . And the incisal edge wasn’t at the same level it was more cervically at mesial have . For bonding we do phosphoric acid etching and universal bond from bisco and wait for 5 menites for decoupling with time for the bond and for the crown we did hydrofloric acid etch 9.5 concentration for 20 seconds then cleaning with phosphoric acid from any reminant salts which may block the micro pores . After air drying we saw chalky white appearance in the fitting surface . Then silane coupling agent for chemical bond we put it and do air drying after 60 seconds the excess isn’t good so after application of it the surface must not be gossy and it’s better to use in this step hot air for better bond you may use the hair dryer . It shouldn’t contact the saliva. Finally we use dual cure resin cement without tertiary amide . And after seating we. Do tack cure for 4seconds and after excess removal we do complete curing finally glycerine on margin for oxegen inhibited layer.
Share on: