This case demonstrates the restoration of fractured maxillary central incisors and the correction of esthetics using direct composite veneers under strict isolation. The workflow highlights the importance of adhesion, proper field control, and minimally invasive dentistry to achieve natural esthetics and functional harmony.
1. Initial Presentation
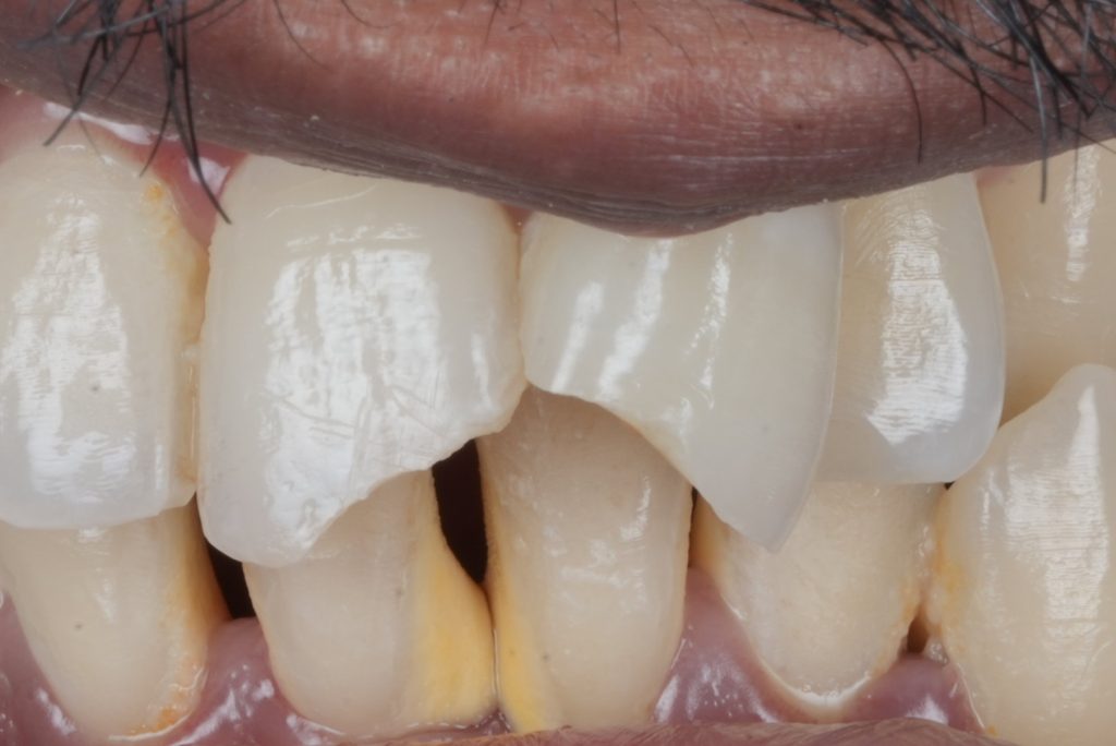
The patient presented with fractured anterior teeth (non-complicated crown fracture) sustained 3 years ago. Cervical staining and compromised esthetics were also noted. After evaluation, a treatment plan involving direct composite veneers was selected to restore natural esthetics and function.
2. Rubber Dam Isolation
3. Prophylaxis
Stains were carefully removed, exposing sound enamel and dentin. Minimal preparation was performed to preserve maximum healthy structure.
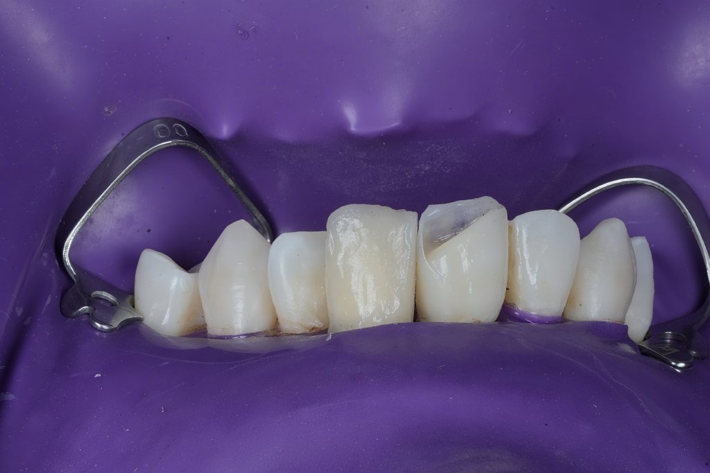
4. Tooth Preparation
5. Matrices & Silicone Index
6. Composite Build-Up
A layering technique was performed using nanohybrid composites for natural esthetics:
7. Finishing & Polishing
Sequential finishing and polishing systems were employed to recreate natural surface texture and gloss:
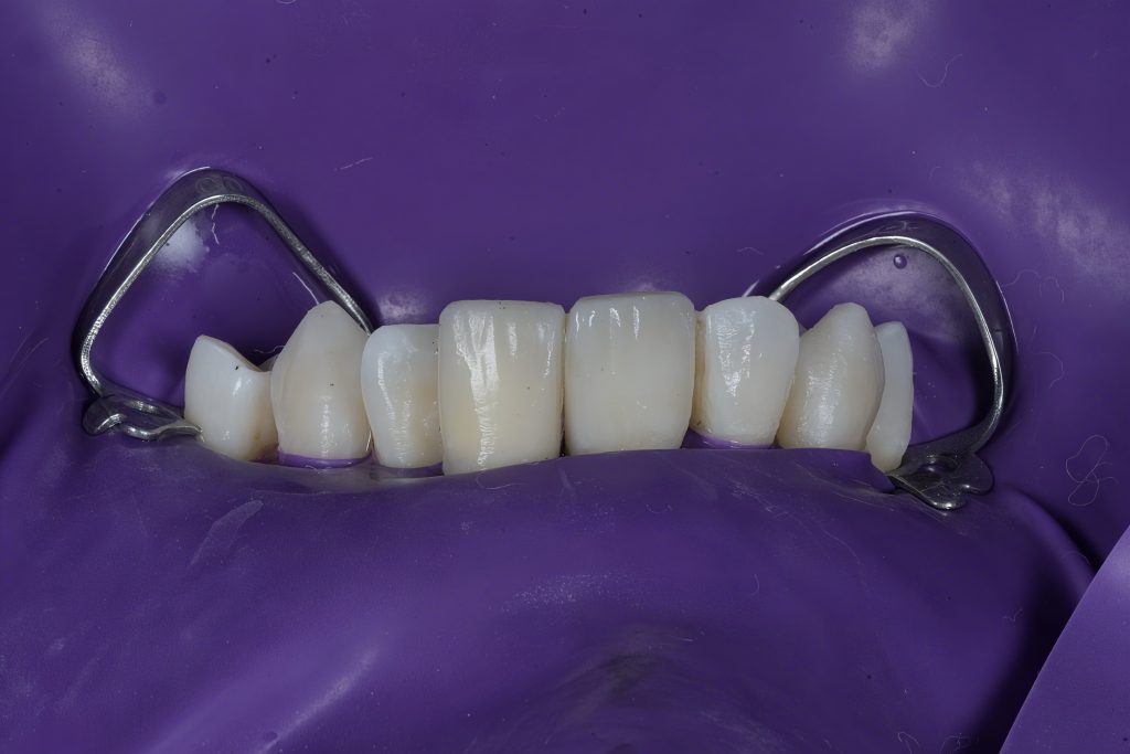
8. Final Result
{"tiktok_developers_3p_anchor_params":"{"template_id":"","capability_key":["edit"],"client_key":"awgvo7gzpeas2ho6","filter_id":[],"capability_extra_v2":{"edit":[{"panel":"hd_quality_picture"},{"panel":"auto_edit_pro"}]}}","source_type":"hypic","data":{"filterId":"","activityName":"","enter_from":"enter_launch","infoStickerId":"","pictureId":"7C10BE61-0C63-4D2F-96DC-91E56AFD3A1E","product":"retouch","appversion":"7.2.0","imageEffectId":"","os":"ios","stickerId":"","playId":""}}
{"source_type":"hypic","tiktok_developers_3p_anchor_params":"{"client_key":"awgvo7gzpeas2ho6","template_id":"","capability_key":["edit"],"capability_extra_v2":{"edit":[{"panel":"hd_quality_picture"}]},"filter_id":[]}","data":{"enter_from":"enter_launch","product":"retouch","pictureId":"40E312F9-4481-42DE-AEBD-5D681F49AA45","stickerId":"","infoStickerId":"","filterId":"","playId":"","appversion":"7.2.0","os":"ios","imageEffectId":"","activityName":""}}
{"tiktok_developers_3p_anchor_params":"{"template_id":"","client_key":"awgvo7gzpeas2ho6","capability_key":["edit"],"capability_extra_v2":{"edit":[{"panel":"hd_quality_picture"}]},"filter_id":[]}","data":{"product":"retouch","playId":"","activityName":"","stickerId":"","enter_from":"enter_launch","filterId":"","os":"ios","imageEffectId":"","pictureId":"F9D4B719-5F7C-406A-AB90-FD015C03D291","infoStickerId":"","appversion":"7.2.0"},"source_type":"hypic"}
{"source_type":"hypic","data":{"stickerId":"","os":"ios","imageEffectId":"","playId":"","activityName":"","enter_from":"enter_launch","pictureId":"0CE580E1-2C81-4C28-BFB0-EF504414591D","product":"retouch","filterId":"","infoStickerId":"","appversion":"7.2.0"},"tiktok_developers_3p_anchor_params":"{"capability_key":["edit"],"capability_extra_v2":{"edit":[{"panel":"hd_quality_picture"},{"panel":"auto_edit_pro"}]},"template_id":"","filter_id":[],"client_key":"awgvo7gzpeas2ho6"}"}
{"source_type":"hypic","tiktok_developers_3p_anchor_params":"{"filter_id":[],"capability_key":["edit"],"client_key":"awgvo7gzpeas2ho6","template_id":"","capability_extra_v2":{"edit":[{"panel":"hd_quality_picture"}]}}","data":{"activityName":"","os":"ios","appversion":"7.2.0","playId":"","infoStickerId":"","filterId":"","product":"retouch","stickerId":"","pictureId":"98CD63FE-EAD1-4E1B-9517-0CB13F297FA0","imageEffectId":"","enter_from":"enter_launch"}}
{"source_type":"hypic","tiktok_developers_3p_anchor_params":"{"capability_key":["edit"],"client_key":"awgvo7gzpeas2ho6","template_id":"","filter_id":[],"capability_extra_v2":{"edit":[{"panel":"hd_quality_picture"}]}}","data":{"imageEffectId":"","appversion":"7.2.0","infoStickerId":"","product":"retouch","os":"ios","filterId":"","playId":"","activityName":"","pictureId":"B7FB2DB9-EC77-4B0F-AD27-0F514C4A5652","enter_from":"enter_launch","stickerId":""}}
{"data":{"os":"ios","playId":"","enter_from":"enter_launch","product":"retouch","imageEffectId":"","stickerId":"","appversion":"7.2.0","activityName":"","pictureId":"6D0CD629-16ED-4963-80EC-1A796EEFBADA","filterId":"","infoStickerId":""},"source_type":"hypic","tiktok_developers_3p_anchor_params":"{"filter_id":[],"client_key":"awgvo7gzpeas2ho6","template_id":"","capability_key":["edit"],"capability_extra_v2":{"edit":[{"panel":"hd_quality_picture"}]}}"}
{"source_type":"hypic","tiktok_developers_3p_anchor_params":"{"capability_key":["edit"],"capability_extra_v2":{"edit":[{"panel":"hd_quality_picture"}]},"filter_id":[],"template_id":"","client_key":"awgvo7gzpeas2ho6"}","data":{"stickerId":"","filterId":"","product":"retouch","infoStickerId":"","imageEffectId":"","pictureId":"2F693983-472A-483A-9B83-190CEB9EEC7F","playId":"","os":"ios","activityName":"","enter_from":"enter_launch","appversion":"7.2.0"}}
{"tiktok_developers_3p_anchor_params":"{"filter_id":[],"client_key":"awgvo7gzpeas2ho6","template_id":"","capability_key":["edit"],"capability_extra_v2":{"edit":[{"panel":"hd_quality_picture"}]}}","data":{"pictureId":"10464621-9741-4157-94C8-836634B6DDF9","playId":"","imageEffectId":"","appversion":"7.2.0","os":"ios","activityName":"","enter_from":"enter_launch","filterId":"","infoStickerId":"","product":"retouch","stickerId":""},"source_type":"hypic"}
{"source_type":"hypic","data":{"pictureId":"69D6C293-6597-4C99-8B2C-E4477BBF98E7","os":"ios","enter_from":"enter_launch","infoStickerId":"","appversion":"7.2.0","imageEffectId":"","activityName":"","filterId":"","playId":"","stickerId":"","product":"retouch"},"tiktok_developers_3p_anchor_params":"{"filter_id":[],"capability_extra_v2":{"edit":[{"panel":"hd_quality_picture"}]},"template_id":"","capability_key":["edit"],"client_key":"awgvo7gzpeas2ho6"}"}
{"data":{"stickerId":"","filterId":"","infoStickerId":"","playId":"","product":"retouch","activityName":"","enter_from":"enter_launch","pictureId":"BF0AED04-2637-4EE8-8BFE-2656C5010169","imageEffectId":"","appversion":"7.2.0","os":"ios"},"source_type":"hypic","tiktok_developers_3p_anchor_params":"{"capability_key":["edit"],"capability_extra_v2":{"edit":[{"panel":"hd_quality_picture"}]},"filter_id":[],"template_id":"","client_key":"awgvo7gzpeas2ho6"}"}
{"tiktok_developers_3p_anchor_params":"{"template_id":"","capability_extra_v2":{"edit":[{"panel":"hd_quality_picture"}]},"capability_key":["edit"],"client_key":"awgvo7gzpeas2ho6","filter_id":[]}","source_type":"hypic","data":{"pictureId":"4D7B22CF-AB9F-44B0-938C-97E0D7B1989F","filterId":"","imageEffectId":"","infoStickerId":"","enter_from":"enter_launch","product":"retouch","stickerId":"","playId":"","appversion":"7.2.0","os":"ios","activityName":""}}
{"data":{"filterId":"","enter_from":"enter_launch","playId":"","stickerId":"","appversion":"7.2.0","activityName":"","product":"retouch","pictureId":"9B0F0F6B-6FAA-4DCD-9493-6078520757F6","infoStickerId":"","imageEffectId":"","os":"ios"},"source_type":"hypic","tiktok_developers_3p_anchor_params":"{"template_id":"","capability_key":["edit"],"client_key":"awgvo7gzpeas2ho6","filter_id":[],"capability_extra_v2":{"edit":[{"panel":"hd_quality_picture"}]}}"}
{"data":{"product":"retouch","os":"ios","enter_from":"enter_launch","pictureId":"00B111E6-3320-4CDC-9229-4317DE5D52F3","playId":"","infoStickerId":"","activityName":"","stickerId":"","appversion":"7.2.0","filterId":"","imageEffectId":""},"source_type":"hypic","tiktok_developers_3p_anchor_params":"{"client_key":"awgvo7gzpeas2ho6","filter_id":[],"capability_key":["edit"],"capability_extra_v2":{"edit":[{"panel":"hd_quality_picture"}]},"template_id":""}"}
{"tiktok_developers_3p_anchor_params":"{"capability_key":["edit"],"capability_extra_v2":{"edit":[{"panel":"hd_quality_picture"},{"panel":"auto_edit_pro"}]},"template_id":"","filter_id":[],"client_key":"awgvo7gzpeas2ho6"}","data":{"stickerId":"","pictureId":"335F9968-ED65-451B-A4E3-0AABC39CD051","appversion":"7.2.0","playId":"","infoStickerId":"","imageEffectId":"","os":"ios","enter_from":"enter_launch","filterId":"","product":"retouch","activityName":""},"source_type":"hypic"}
{"source_type":"hypic","tiktok_developers_3p_anchor_params":"{"client_key":"awgvo7gzpeas2ho6","filter_id":[],"template_id":"","capability_extra_v2":{"edit":[{"panel":"hd_quality_picture"}]},"capability_key":["edit"]}","data":{"stickerId":"","filterId":"","playId":"","os":"ios","enter_from":"enter_launch","appversion":"7.2.0","activityName":"","pictureId":"B8D32E5F-4C9D-4977-A2A2-2BE7F172D8EF","product":"retouch","infoStickerId":"","imageEffectId":""}}
{"data":{"filterId":"","imageEffectId":"","product":"retouch","enter_from":"enter_launch","infoStickerId":"","playId":"","stickerId":"","os":"ios","appversion":"7.2.0","activityName":"","pictureId":"ADFBF787-CD1A-4F90-8992-A37D7394B4AA"},"source_type":"hypic","tiktok_developers_3p_anchor_params":"{"capability_key":["edit"],"capability_extra_v2":{"edit":[{"panel":"hd_quality_picture"}]},"template_id":"","client_key":"awgvo7gzpeas2ho6","filter_id":[]}"}