This case demonstrates the management of proximal caries in posterior teeth using direct composite restorations with proper isolation and sectional matrix technique. The goal was to achieve functional occlusion, tight proximal contacts, and seamless esthetics through minimally invasive adhesive dentistry.
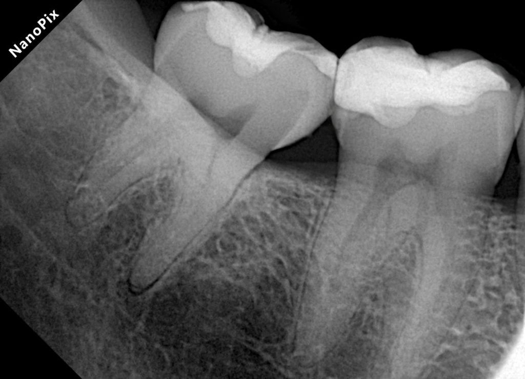
1. Initial Presentation
2. Rubber Dam Isolation
3. Caries Removal & Cavity Preparation
4. Matrix & Wedge Placement
5. Adhesive Protocol
6. Composite Build-Up
7. Finishing & Polishing
8. Final Result
{"tiktok_developers_3p_anchor_params":"{"capability_extra_v2":{"edit":[{"panel":"composition"},{"panel":"auto_edit_pro"}]},"template_id":"","client_key":"awgvo7gzpeas2ho6","filter_id":[],"capability_key":["edit"]}","source_type":"hypic","data":{"appversion":"7.2.0","infoStickerId":"","filterId":"","imageEffectId":"","os":"ios","enter_from":"enter_launch","pictureId":"4D299088-9157-49A7-A294-8619D37B8DE6","playId":"","activityName":"","product":"retouch","stickerId":""}}
{"tiktok_developers_3p_anchor_params":"{"client_key":"awgvo7gzpeas2ho6","template_id":"","capability_key":["edit"],"filter_id":[],"capability_extra_v2":{"edit":[{"panel":"hd_quality_picture"},{"panel":"composition"},{"panel":"auto_edit_pro"}]}}","data":{"os":"ios","stickerId":"","pictureId":"D316DB32-68E5-4B95-A9B9-706AC4CC734A","infoStickerId":"","imageEffectId":"","activityName":"","playId":"","product":"retouch","appversion":"7.2.0","enter_from":"enter_launch","filterId":""},"source_type":"hypic"}
{"source_type":"hypic","tiktok_developers_3p_anchor_params":"{"filter_id":[],"client_key":"awgvo7gzpeas2ho6","template_id":"","capability_key":["edit"],"capability_extra_v2":{"edit":[{"panel":"composition"},{"panel":"auto_edit_pro"}]}}","data":{"os":"ios","stickerId":"","appversion":"7.2.0","enter_from":"enter_launch","infoStickerId":"","playId":"","activityName":"","product":"retouch","imageEffectId":"","pictureId":"28495D24-13E0-4D47-932B-9562AA0EB752","filterId":""}}
{"source_type":"hypic","tiktok_developers_3p_anchor_params":"{"filter_id":[],"capability_extra_v2":{"edit":[{"panel":"composition"},{"panel":"auto_edit_pro"}]},"template_id":"","client_key":"awgvo7gzpeas2ho6","capability_key":["edit"]}","data":{"playId":"","activityName":"","filterId":"","os":"ios","stickerId":"","enter_from":"enter_launch","infoStickerId":"","product":"retouch","pictureId":"DB941E91-95CC-479C-AD6E-4E35252FB024","appversion":"7.2.0","imageEffectId":""}}
{"data":{"os":"ios","infoStickerId":"","product":"retouch","filterId":"","activityName":"","playId":"","appversion":"7.2.0","enter_from":"enter_launch","stickerId":"","pictureId":"DF16F27E-D022-4FD8-8901-F707DDD3EFEF","imageEffectId":""},"source_type":"hypic","tiktok_developers_3p_anchor_params":"{"template_id":"","client_key":"awgvo7gzpeas2ho6","filter_id":[],"capability_key":["edit"],"capability_extra_v2":{"edit":[{"panel":"hd_quality_picture"},{"panel":"composition"},{"panel":"auto_edit_pro"}]}}"}