P/C:
10 yr old female patient, reported to opd in 2023, with complain of pain in right lower first molar for one week.
O/E:
grossly carious tooth with s&s of reversible pulpitis
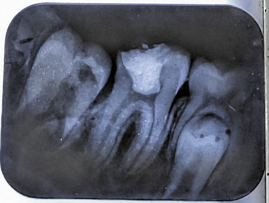
Radiograph:
radiograph shows periapical radiolucency with no apex formation in mesial and distal roots.
Treatment Plan:
Apexogenesis as pulp was vital
Protocol:
Formacresol pulpotomy till cervical constriction followed by placing calcium hydroxide as pulp capping agent for apex formation to occur naturally. sealed the tooth with temporary restoration and put the patient on 6 months follow up.
after 6 months, the tooth shows visible apical constrictions and patient had no pain. redone the temporary restoration and again put patient on 6 months follow up for complete apex formation.
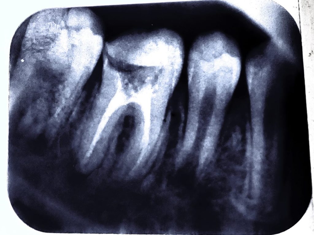
after another 6 months the tooth show complete apex formation and patient had no pain, did the root canal treatment, and packed with composite.
Share on: