- A 25-years-old patient came to our clinic with free medical history and non-significant dental history , complaining of fractured of the upper second premolar.
Upon clinical diagnosis, we found a badly decayed upper right 5 with deep brown stains in his all teeth and class 2 mal-occlusion with deep bite .
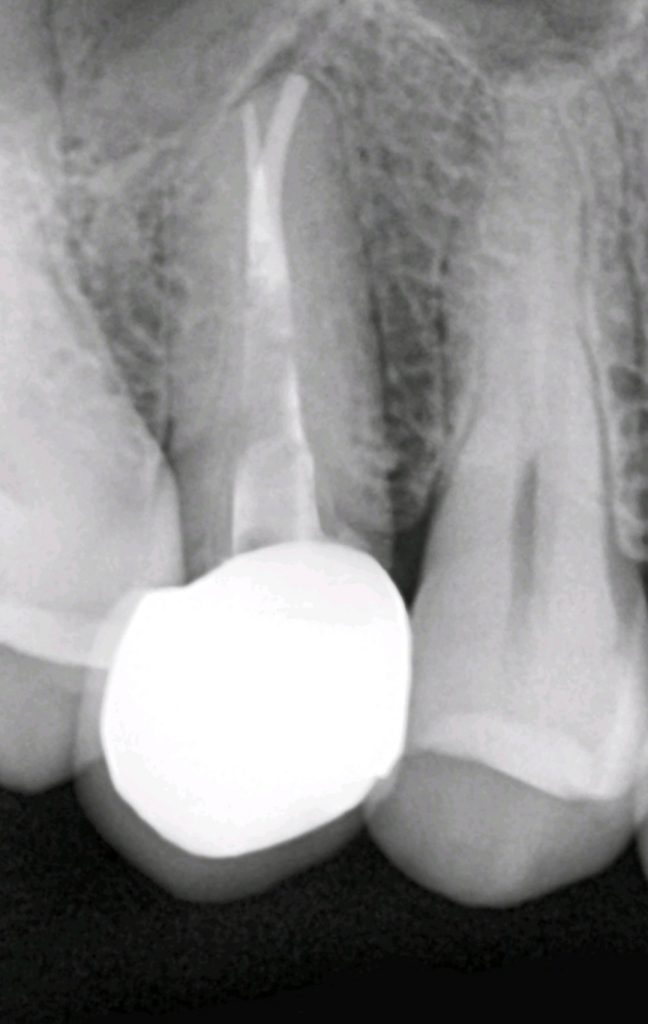
for the treatment plan, firstly we decided to focus on chief complain and perform a root canal treatment (the tooth had one root canal with very deep apical split which is challenging ) but we successfully shaped ,cleaned and filled it using CLC with bioceramic sealer.
Then we made a fiber post .
Finally, we made a horizontal prep to receive a zirconium crown with the same characteristics and brown stains that were present in the adjacent teeth.
Share on: