Brand: Gc
Material: composite resin
Technique: Sandwich technique
Brand: Gc
Material: composite resin
Technique: Sandwich technique
Brand: Voco
Material: composite resin
Technique: Layer
Material: composite resin
Technique: Restoration
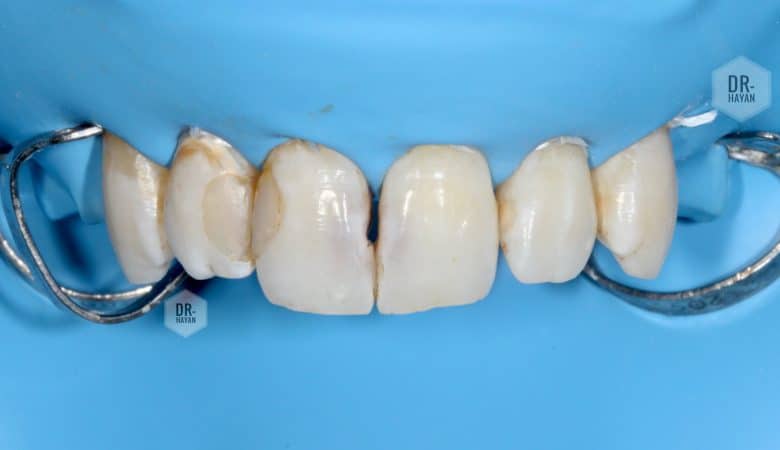
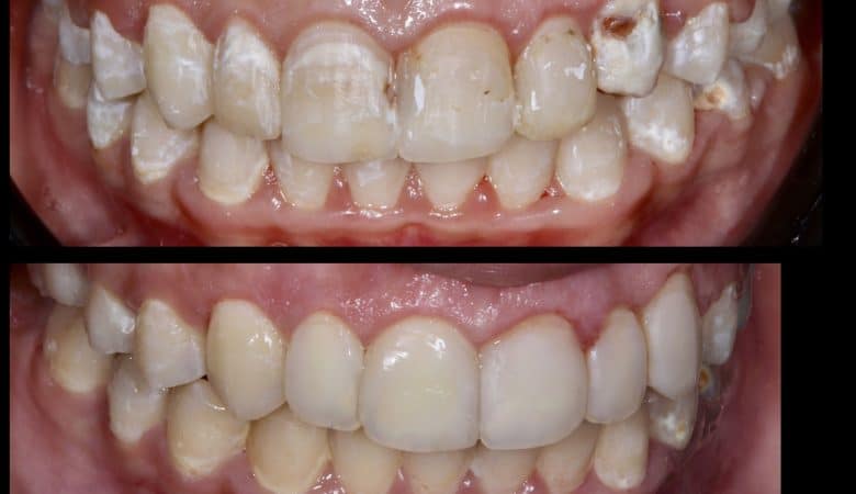
Patient come with bad previous Diastema closure Chief complaint : big diastema and patient was not satisfied with this treatment option ( close diastema with compiste restoration ) Our Treatment plan : combined treatment ⬇️⬇️⬇️ Paitent Orthodontic treatment by professor…
Brand: Dentsply
Material: composite resin
Technique: Occlusal Reconstruction
Brand: Dentsply, neospectra
Material: composite resin
Technique: Layer by layer
Brand: Voco, E.V.E
Material: composite resin
Technique: Layering compsite
Orthodontic treatment is the main treatment procedure to achieve a well-aligned dental arch and an esthetic smile. For this purpose, various types of removable or fixed orthodontic appliances are designed. However, each has their specific disadvantages. The most important one…
Brand: Voco
Material: composite resin
Technique: Indirect pulp caping
Brand: Dentsply
Material: neo spectra ST/ LV
Technique: Sandwich technique
Brand: Dentsply
Material: composite resin
Technique: 3 STEP technique