Pre operative examination :
Percussion - - -
Palpation - - -
Cold test + + +
Peri apical X ray normally
- Amalgam removal should be done under full isolation
- Must have face shield or eye goggles
- should be removed by stone not Not carbide bur
As carbide will produce amalgam ships
After that:
-remove the caries with round bure
-apply CDD
44 clamps for mor inversion the tissue
After complete soft caries removal
Amalgam tattoo & hard discoloration dentine on floor of cavity
No need for remove it :
-To save the pulp from irritation due to residual monomer
- natural dentine protection
- After etching dis infected the cavity by CHX
And dry it only
-
CHX is recommended to be used in case
Etching, drillind , heat generation in dentine
as those causes degeneration of collagen protein from hydroxyapatite which makes it vulnerable to the action of proteolytic enzymes such as MMPs … is there a recommendation to use CHX to prevent it degeneration
Bonding process
Used dentsply sirona universal bond
Enamel soo easy
But the dentine it’s challenging
Bonding
, universal bond
2 layer
Bond 👉🏻 rubbing 20 s remove excess 👉🏻 some air 👉🏻 light cure 20 s
Another one
Bond 👉🏻 rubbing 20 s remove excess 👉🏻 some air 👉🏻 light cure 20 s
One layer of universal bond it’s very weak And thickness of one layer about 10 micron
When application 2 layer - we elevated the thickness of adhesive layer to 20 micron
Still it’s weak point in universal bond
on the opposite side
Obtibond ( prime - adhesive) separate
Thickness of layer about 40-70 micro
More strongly than universal
https://pubmed.ncbi.nlm.nih.gov/29040961/
O.5 mm of RESIN COATING on dentin
Used dentsply neo st flow
Buccal wall bulding up
Compsite use : dentsply neo spectra ST/ LV
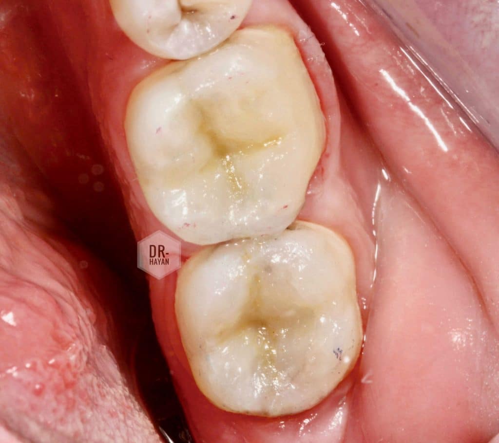
Final anatomy of lower 6
After Finishing and polishing use
enhance finishing system dentsply sirona
And EVE Finishing and polishing
Share on: