Brand: Estelite Asteria, neospectra
Material: 37% acid etch, Estelite asteria a2b, Estelite Universal Flow, EVER X
Technique: 3D printed, Composite up technique layering technique in posterior, Biomimetic approach stressreduced direct restoration, Direct restoration
Brand: Estelite Asteria, neospectra
Material: Estelite Asteria, Dentsply Neospectra, EVER X, Estelite Universal Flow
Technique: 3D printed, Composite up technique layering technique in posterior
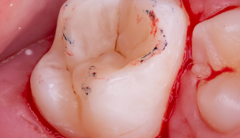
We started the treatment with a periapical radiograph to confirm the absence of any periapical changes and to assess the root canal lumen. A cold test was performed, which confirmed a vital pulp. Next, caries-infected dentin (CID) was removed using…
Brand: Estelite Asteria, Ever x flow, ever x posterior
Material: 37% acid etch, Estelite asteria a2b, EVER X
Technique: Occlusal Reconstruction, 3D printed
Treatment of tooth 1.7 in a patient with limited mouth opening — I had only one chance to take the final photo, and somehow I managed to catch it …
Brand: Estelite Asteria, neospectra, Ever x posterior for dentin replacing material, Eve twist kit
Material: 37% acid etch, Enamel plus, Estelite asteria a2b, Estelite Universal Flow
Technique: 3D printed, Occlusal Reconstruction
Immediately after finishing the final preparation, it was necessary to restore the palatal wall of tooth 2.5. For this, I used a “3D printer” layering technique, gradually rebuilding the wall with a flowable composite (Estelite Universal Flow). The thickness of…
Brand: Estelite Asteria, neospectra, kenda polishing kit, Nictone Rubberdam
Material: 37% acid etch, Enamel Plus - HRi
Technique: 3D printed, Occlusal Reconstruction, Occlusal reconstruction restoring morphology and function, Dentistry
The patient presented with complaints of pain when consuming sweets in tooth 2.7. A cold test (to determine whether the tooth was vital) and a periapical X-ray were performed before treatment. The patient could open the mouth only up to…
Brand: neospectra
Material: Estelite asteria a2b, Enamel plus, Dentsply Neospectra
Technique: 3D printed, Fast Modelling technique
Treatment of caries on tooth 1.6 with preservation of proximal contact on the crista transversa and restoration of the secondary tooth anatomy. A sectional matrix system by Garrison and a wedge by Palodent were used. The composite materials applied were:…
Brand: Estelite Asteria, neospectra
Material: Estelite Asteria
Technique: 3D printed
Brand: Estelite Asteria, Ever x flow, ever x posterior, neospectra
Material: EVER X, AH-plus, Gutta Percha
Technique: 3D printed
During the first visit, all carious tissues were removed, and the missing wall was restored using Asteria A3B material. The root canals were de-obturated, and a missed MB2 canal was identified. The canals were temporarily obturated with calcium hydroxide. Two…
Brand: AH-plus, Estelite Asteria, neospectra, Composite
Material: Estelite Asteria, Dentsply Neospectra, EVER X, AH-plus, Gutta Percha
Technique: 3D printed
Retreatment of the root canals with removal of a titanium post The first stage involved removal of the titanium post using two ultrasonic tips (applied from opposite sides of the tooth with water irrigation). Next, de-obturation of the root canal…
Brand: Estelite Asteria, neospectra
Material: Denstply Ceram X
Technique: Occlusal Reconstruction, Direct composite, Biomimetic
According to the anamnesis, a 23-year-old female patient presented with complaints of food impaction between teeth 2.5 and 2.4 and pain when consuming sweet foods. The patient denied any episodes of nocturnal pain, which is considered a characteristic symptom of…