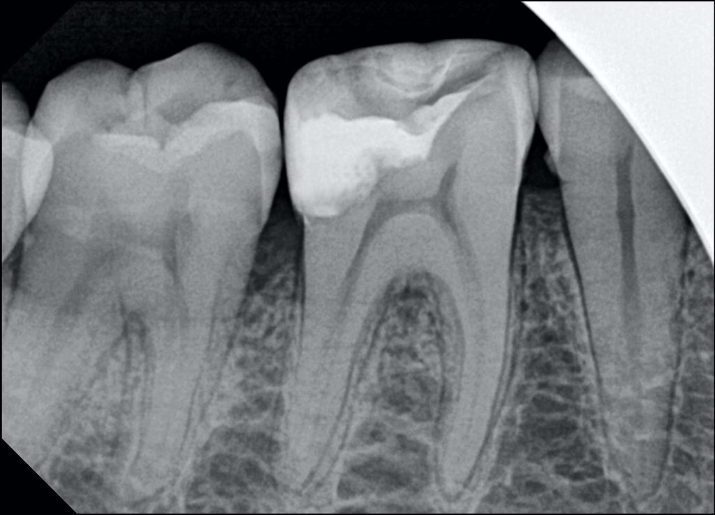
Saving vitality of LR6 (46) with Biomimetic Approach
A 34y female patient camed to our clinic complaining from food stagnation in lower right first molar with no signs of pain .. after diagnosis and sensibility test my decision was to save pulp vitality .
protocol:
1-cavity optimization
-cuspal reduction
-flaring
-Beveling
-smoothening
-(SCR+PSZ)
2-selective etching using charm etch (37%phosphoric Acid)
3-cotton Dampened in Chlorohexidine for MMps inhibition
4-IDS
5-Resin coating
6-DWF (Decoupling with Fibers ) using Ribbond to improve Bonding with affected Dentine and for better stress Distribution
7-Ever X posterior for Dentine replacement (mimic Dentine under stresses)
8-Brown stain
9-finishing and polishing
Share on: