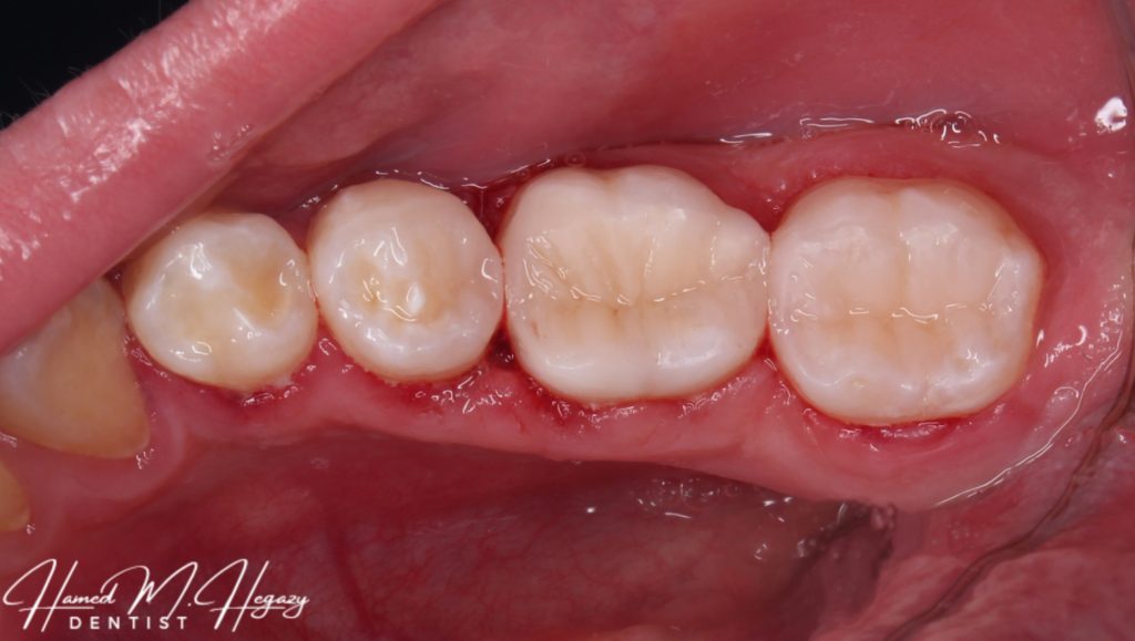
This patient came to our clinic with severe pain in the lower right side. By examination and history taking, we found the pain related to the lower right 5,6 and 7. After doing our vitality tests, we decided to do RCT for lower right 6 and then Composite restorations for lower right 5,6 and 7. We discovered an additional canal in the lower right 6 ( Middle Mesial canal ) – to become 5 in LR6 – and did class II cavity in the lower right 5 & 7.
Conservative and Restorative approach.
Pre-operative
Access cavity
Preparation
5 canals in lower 6
Middle Mesial canal
Obturation 1
Obturation and cavity design
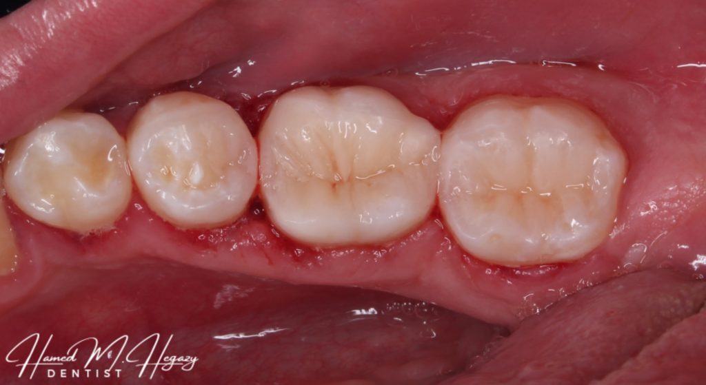
Composite restoration build up
Composite restoration build up
Another view
Final look
Final look
Radiographic X-ray tell you every thing
Share on: