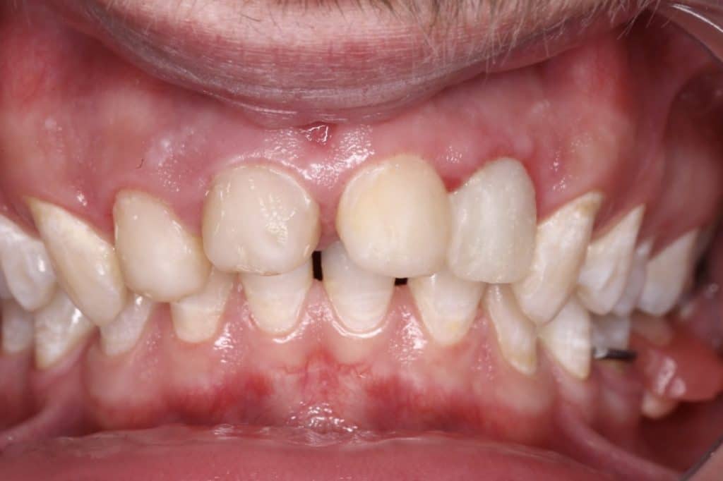
Pt 17y male, he treated his teeth by other dentist but the root canals treatment and crowns is failer.
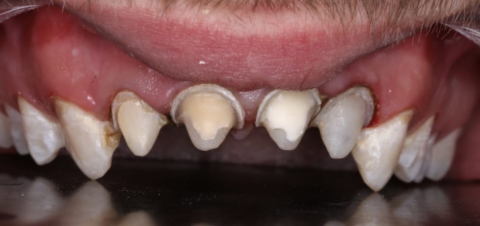
I took x-ray that’s must be first step in our treatment, i found the root canal obturation is short for that i re treatment it. I used MTA to obtain apical sealing that I can’t obtain it by gutta percha.
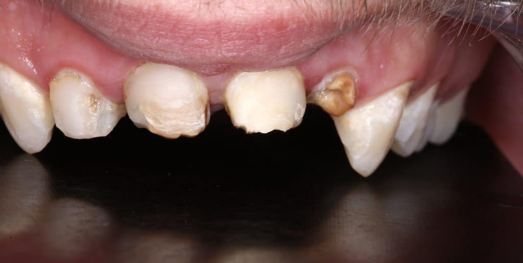
In 3rd pic show the important of isolation despite of the tooth is destructive.
I removed caries and made new build up teeth to obtain new preparation.
Tne crowns is zirconia layering E-MAX
in 7th pic show crowns after fixation and
in 8 th pic show new smile .
* this case need orthodontic treatment
Share on: