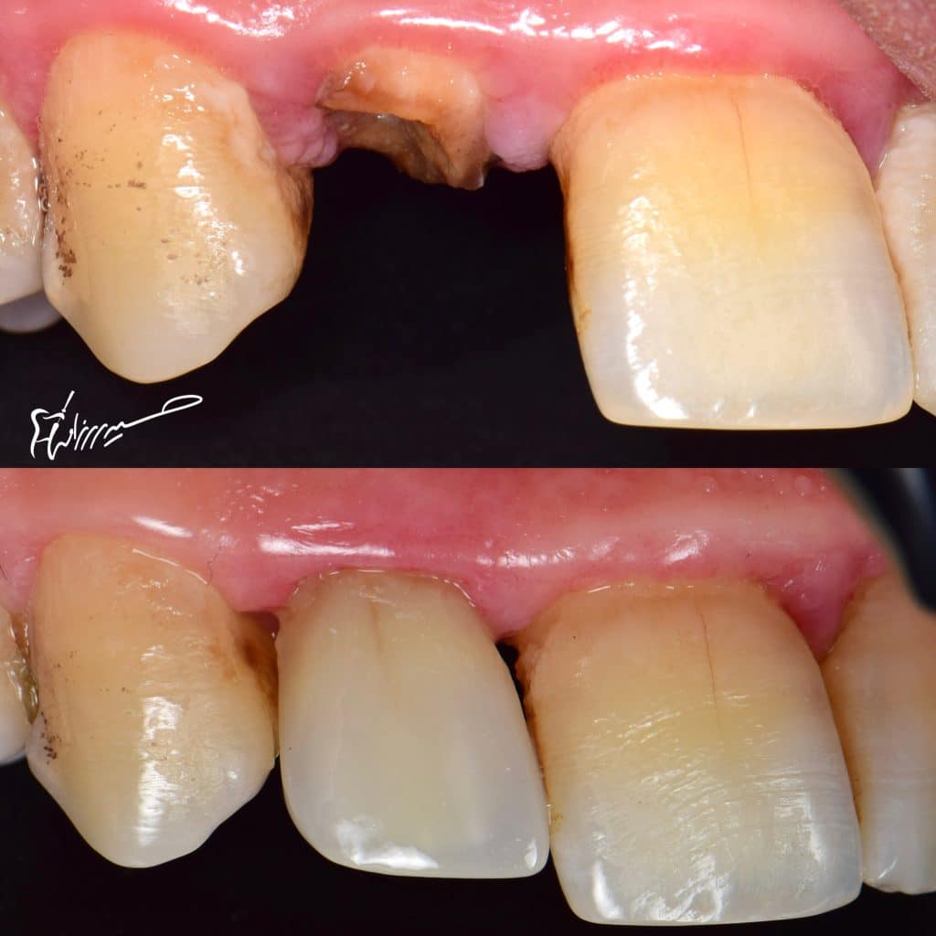
The first comment when you see cases like this is : bad prognosis! , it will fall soon ! Where is the fiber post ?!
Let’s us talk about the materials used in this case and the techniques ..
polyethylene fibre (ribbond ) The material has a three
dimensional structure due to the leno weave or triaxial braid
These features provide mechanical interlocking of
the resin and composite resin at different planes, thereby
enabling a wide processing window. In addition, micro
cracking is minimised during polymerization of the resin , also it’s fracture tough material.
Short fiber reinforced composite (ever x ) also it’s fracture tough material.
With this magic materials , we need excellent binding material to bond them to the tooth structure,
SE bond from kurrary is a gold standard and can work in perfect way .
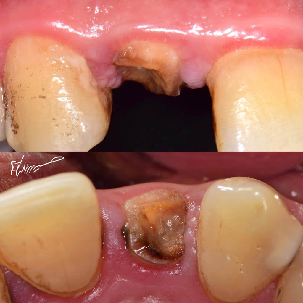
CDD for definite caries removal
DWT for optimum dentin bond
Share on: