Hi every one,
dear colleagues :
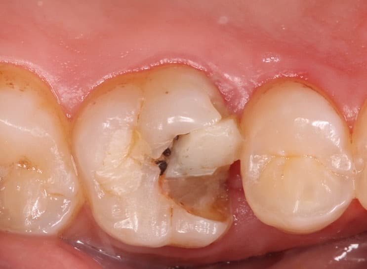
this patient came to my clinic he suffered from bad old composite restoration .
we decided to do in direct emax restoration
☑️DME deep marginal elevation
☑️IDS immediate dentin sealing
☑️BIOBASE with ever x &composite
☑️ Kurary adhesive system
☑️apx heated composite (5 min at 68c ) p. Mange
We trust in biomimetic dentistry approach ❤️
Share on: