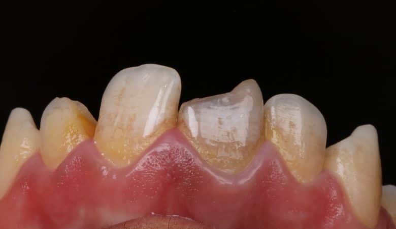
The case presented below is for a 28 year-old female patient. She had multiple spacing in her maxillary anterior segment. The treatment options for such case would be orthodontic treatment (i.e., which is the ideal treatment option), indirect restorative approach,…