Biomimetic Rehabilitation of a Grossly Carious Molar With Subcrestal Involvement Using Two-Step DME and Cuspal Coverage After Endodontic Therapy
Author:
Dr. Hamza Zahid
Clinic:
Dr Hamza Dental Center, Lahore
Modality:
Operating microscope + Rubber dam isolation
Restorative Philosophy:
Biomimetic, adhesive, minimally invasive
1. Case Overview
A lower molar presented with extensive caries extending subcrestally, structural compromise, and undermined cusps. The tooth required microscope-guided caries removal, endodontic therapy, deep margin elevation (DME), and cuspal coverage to restore structural biomechanics and long-term function.
Retention was achieved through adhesive dentistry, avoiding unnecessary crown preparations and preserving sound tooth structure.
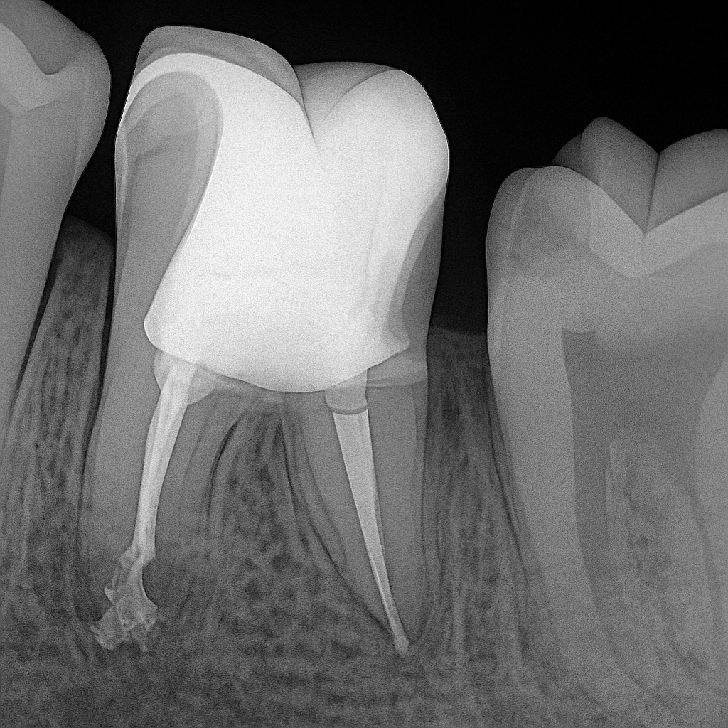
2. Pre-Operative Analysis
Key findings
- Gross caries undermining both proximal and occlusal surfaces
- Subcrestal deep margin with loss of supragingival enamel
- Inflamed pulp → symptomatic irreversible pulpitis / necrosis
- Existing restoration failure
- Healthy adjacent periodontal support
Goal:
Restore the tooth with a biomimetic approach, rebuilding each structural layer while ensuring long-term load resistance and predictable adhesion.
3. Clinical Workflow
A. Isolation & Caries Removal
- Absolute isolation using a rubber dam and clamps
- Removal of infected dentin under microscope magnification
- Peripheral seal created by preserving sound enamel at the cavosurface
- Structural assessment confirmed the need for cuspal reinforcement
Clinical importance:
Isolation ensures predictable hybrid layer formation and prevents contamination—critical for adhesive success.
B. Endodontic Therapy
Performed under high magnification for accuracy:
Protocol
- Glide path established
- Canals shaped with NiTi rotary instrumentation
- Irrigation: NaOCl + EDTA protocol
- Canals dried and obturated with bioceramic sealer + GP single cone
(chosen for its bioactivity, dimensional stability, and superior sealing)
Why bioactive sealer?
- Stimulates hydroxyapatite formation
- Produces chemical bonding to dentin
- Reduces microleakage at the sealer–dentin interface
Coronal Seal
- Immediate bulk-fill flowable dentin replacement to block microleakage
- This step is strongly supported in the literature for long-term success
C. Deep Margin Elevation (Two-Step DME)
The cervical margin was subcrestal, making isolation and adhesive bonding impossible without DME.
Step 1 – Cervical Sealing
- Flowable resin composite placed as gingival seat
- Adapted with transparent matrices for tight cervical adaptation
- Objective: seal the dentin and block fluids from the sulcus
Step 2 – Final Elevation
- Layer of packable composite built to bring the margin supra-gingival
- Margin finished to crisp enamel to enable predictable bonding for final restoration
Why DME?
- Preserves the tooth
- Avoids crown lengthening surgery
- Maintains periodontal biology
- Creates a clean, accessible, bondable margin
This technique is well validated for MOD, deep proximal, and subgingival lesions.
D. Cuspal Coverage Restoration
Given the structural loss, cuspal reinforcement was mandatory.
Composite Onlay-Style Build-Up
- Adhesive: Universal adhesive with selective enamel etching
- Dentin replacement: High-strength composite
- Enamel layer: Esthetic nano-hybrid composite with anatomical layering
- Functional morphology sculpted under microscope
Why composite cuspal coverage?
- Superior stress distribution
- Biomimetic modulus of elasticity close to dentin
- Tooth preservation vs. full crown prep
- Less chair time and lower biological cost
E. Post-Operative Evaluation
Clinical outcomes
✔ Excellent marginal integrity
✔ Healthy gingival response
✔ Proper occlusal contacts and harmony
✔ Smooth transition from tooth to composite
✔ Anatomical fissures and functional cusps maintained
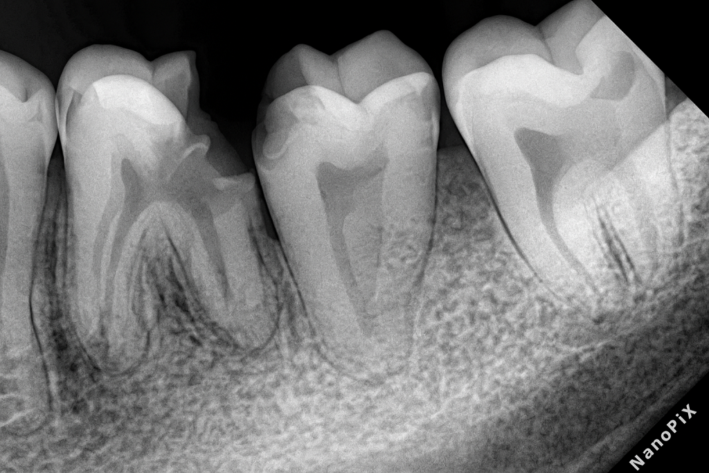
✔ Radiographs confirm complete obturation and dense coronal seal
Patient feedback
- Comfortable
- Excellent function
- Natural appearance
4. Final Summary for Zerodont
Extreme caries + subcrestal margin + endodontic therapy = predictable long-term success through biomimetic adhesive dentistry.
Two-step DME converted an impossible margin into a perfect bonding field.
Cuspal coverage restored biomechanics and load-bearing function.
A tooth that was otherwise headed for extraction was saved conservatively.
5. References (Peer-Reviewed)
These support DME, bioceramic sealers, composite cuspal coverage, and adhesive dentistry.
Deep Margin Elevation & Adhesive Protocols
- Dietschi D, Spreafico R. Deep margin elevation: principles and clinical guidelines. International Journal of Esthetic Dentistry. 2015;10(3):334–357.
- Schlichting LH et al. Marginal integrity of deep margin elevation vs crown lengthening. J Esthet Restor Dent. 2019;31(4):366–373.
Cuspal Coverage & Biomimetic Restorations
- Rocca GT, Krejci I. Bonded indirect restorations for severely compromised posterior teeth. Journal of Adhesive Dentistry. 2015;17:146–154.
- França FMG et al. Impact of cuspal coverage on endodontically treated teeth restored with composite. Operative Dentistry. 2018;43(3):219–228.
Endodontics & Bioceramic Sealers
- Zhang W, Li Z, Peng B. Assessment of bioceramic sealer sealing ability. Journal of Endodontics. 2009;35(5): 620–623.
- Torabinejad M, Parirokh M. Mineral trioxide aggregate and bioactive sealers in endodontics. Journal of Endodontics. 2010;36(1):16–27.
Coronal Seal Importance
- Ray HA, Trope M. Periapical status related to quality of coronal restoration and RCT. Endodontic Journal. 1995;21(7): 26–30.
- Saunders WP, Saunders EM. Key role of coronal seal in preventing reinfection. Journal of Endodontics. 1990;16(9): 445–449.
Share on: