BIO-EMULATIVE CLASS IV REHABILITATION USING CLEARFIL MAJESTY™ + TOKUYAMA STAINS
Author: Dr Hamza Zahid
Clinic: Dr Hamza Dental Center – Lahore, Pakistan
Abstract
Aesthetic restoration of fractured anterior teeth requires a deep understanding of optical properties, natural texture, and adhesive dentistry. This case highlights a fully adhesive, rubber-dam-assisted Class IV build-up using Clearfil Majesty™ (Kuraray) combined with Tokuyama white, grey, and ochre tints to recreate incisal translucency, halo, and internal characterisations. Strategic layering and surface texture allowed a lifelike match without preparation, preserving 100% enamel.
Chief Complaint
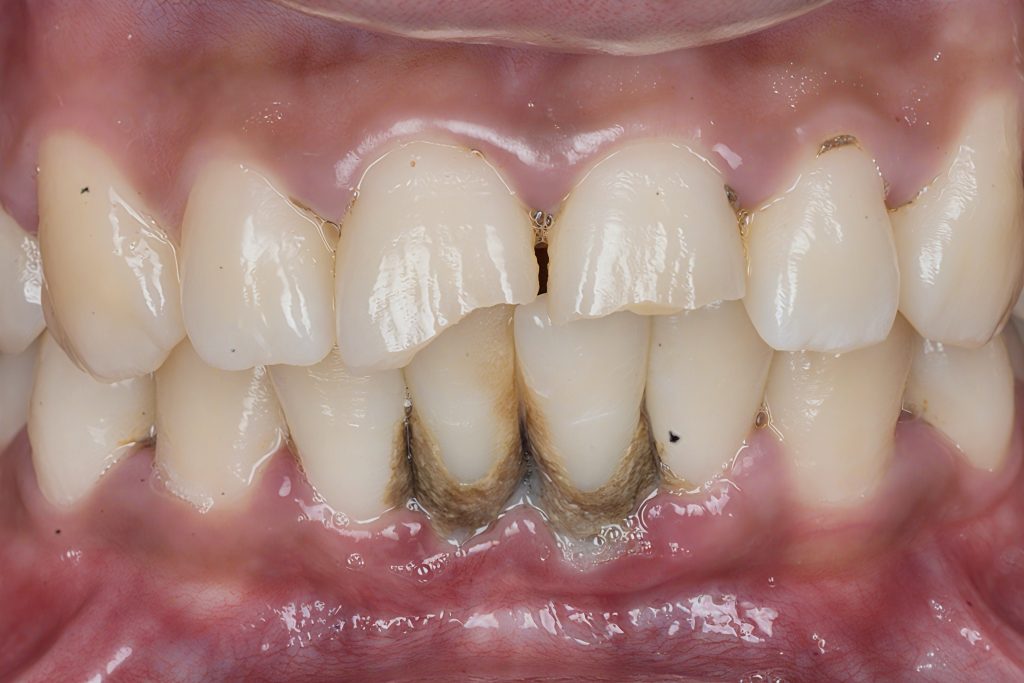
“Front teeth look chipped and worn. I want them to look natural again without crowns.”
Diagnosis
- Class IV fracture of maxillary incisors
- Old composite failures and surface staining
- Satisfactory gingival health, no mobility
- No periapical pathology
Treatment Goals
- Restore natural incisal translucency
- Reproduce perikymata, halo, and mamelon depth
- Achieve invisible margin through enamel preservation
- Use bio-emulation principles under strict isolation
Materials Used
- Composite Body: Clearfil Majesty™ ES-2 (Enamel & Body shades)
- Stains: Tokuyama (White, Grey, Ocher) – for halo, depth, crack lines
- Adhesive: Clearfil SE Bond 2
- Matrixing: Transparent anterior matrices + wedges
- Isolation: Full rubber dam
- Polishing Protocol:
- Pre-polish: Sof-Lex discs / Enhance
- Surface texture: fine diamond + scalpel strokes
- Final gloss: Lucida (StyleItaliano) + DiaShine
Clinical Workflow
1. Pre-Operative Assessment
High-resolution photography showed incisal wear, fractures and composite delamination. Shade mapping was carried out under cross-polarised dental photography to identify enamel, dentin, and halo zones.
2. Rubber Dam Isolation
A pink dam clamp setup was used to stabilise the working field, protect the gingiva, and maintain clean bonding conditions.
3. Tooth Preparation (No-Prep / Ultra-Minimal)
No mechanical reduction was needed — only:
- Old composite removal
- Selective beveling (micro-bevel <0.5 mm) to hide margins
- 27 µm aluminium oxide micro-air abrasion
This preserved 99% of enamel for ideal bonding.
4. Adhesive Protocol
- Selective enamel etch (37% phosphoric acid, 15 sec)
- Clearfil SE Bond 2 applied following manufacturer protocol
- Uniform polymerisation for 20 seconds
5. Layering Strategy (Bio-Emulation)
Palatal Shell
- A clear matrix was positioned to mimic the natural incisal curvature.
- A translucent enamel shade was placed to form the palatal wall.
Mamelon Build-Up
- A body shade (Clearfil Majesty Body) was sculpted in mamelon patterns.
- Depth effect enhanced with grey/ochre stains.
Halo & Incisal Translucency
- A white tint was used to create a natural incisal halo band.
- Layered translucent enamel shade to cover stains subtly.
Facial Layering
- Thin enamel layers were added to control value, avoiding excessive opacity.
6. Shape + Texture
Macro and micro-anatomy sculpted using:
- Fine-grit burs for primary anatomy
- Blade 12 for vertical texture
- Rubber points for rounding line angles
This restored the natural youthful morphology of the incisors.
7. Polishing System
A multi-step polishing sequence was used:
- Enhance + Pogo (Dentsply) for pre-gloss
- Lucida Star + DiaShine for glass-like final gloss
- Texture maintained without over-polishing
Outcome
- Invisible transition between tooth and composite
- Natural halo effect and depth recreated
- Increased brightness without over-whitening
- Strong adhesive interface thanks to enamel bonding
- Patient extremely satisfied with the natural, clean aesthetic
Clinical Significance
Class IV fractures demand an artistic yet biologically-sound approach.
Using Clearfil Majesty with Tokuyama stains allows:
- Controlled light diffusion
- Natural internal characterisation
- Excellent long-term stability
This technique preserves tooth structure, avoids aggressive preparations, and provides lifelike esthetics comparable to indirect ceramics.
References
- Vanini L. “Light and color in anterior composite restorations.” Practical Procedures & Aesthetic Dentistry.
- Dietschi D. “Layering concepts in anterior composite restorations.” Quintessence Publishing.
- Peumans M. et al. “Clinical performance of composite restorations.” Journal of Dentistry.
- Magne P., Belser U. “Bonded porcelain restorations in the anterior dentition.” Quintessence.
Share on: