Brand: Estelite Universal Flow Tokuyama, Ever x flow from GC, Kuraray Noritake
Material: Tokoyama, Ever x .posterior from gc, Kuraray majesty posterior
Technique: DME on 2 steps, Class 1 Incremental Build Up
Microscope-Guided Endodontic Management with Class V DME and Biomimetic Cuspal Coverage Dr Hamza Zahid Cosmetic & Biomimetic Restorative Dentist Dr Hamza Dental Center — Lahore, Pakistan ⸻ ABSTRACT This case demonstrates the integration of endodontic precision with biomimetic restorative…
Brand: Dentsply
Material: AH-plus
Technique: Zirconia Crown
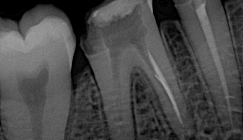
Endodontic Retreatment for Lower 1st molar followed by core build up and Zirconia crown.…
Material: Autogenous
Technique: tissue regeneration
Introduction: A Natural Agent Bridging Disinfection and Regeneration In regenerative endodontics, achieving effective canal disinfection without compromising stem cell viability remains one of the most significant challenges. Conventional intracanal medicaments, such as calcium hydroxide, have long served as disinfection agents…
Brand: 3D Industrial Imaging
Material: 3D Model
Technique: 3D printed
Static guided endodontics has emerged as a transformative technique in the management of pulp canal obliteration (PCO), a condition that poses significant challenges even for experienced clinicians. PCO, commonly resulting from dental trauma, aging, or restorative interventions, leads to progressive…
Brand: 3M composite, Bioceramic sealer
Material: Clearfil se bond, Bioceramics
Technique: Bio obturation
Microscope-Assisted Root Canal Treatment of Maxillary Second Molar (#7) with Bioceramic Sealer Dr Hamza Zahid Biomimetic & Adhesive Dentistry Dr Hamza Dental Center – Lahore, Pakistan ABSTRACT This clinical report demonstrates the management of a maxillary second molar (#7) with…
Brand: Dentsply, Kerr
Material: Bio ceramic, Dentsply Neospectra, Zirconium bridge
Technique: DME on 2 steps, Pre-endo build up
Endo–Restorative Quadrant Rehabilitation with Monolithic Zirconia Crowns: Five-Year Clinical and Radiographic Follow-Up Dr Hamza Zahid Biomimetic & Adhesive Dentistry Dr Hamza Dental Center – Lahore, Pakistan ABSTRACT This case report presents the endodontic–restorative rehabilitation of the upper left quadrant (UL3–UL7)…
Brand: 3M composite, Tokuyama
Material: Zirconia Restorations
Technique: DME on 2 steps, Bio obturation, Biomimetic approach
One-Year Follow-Up: Re-Endodontic Management with Deep Margin Elevation and Full Adhesive Rehabilitation of Mandibular First Molar Author: Dr. Hamza Zahid Clinic: Dr. Hamza Dental Center – Lahore, Pakistan Discipline: Endodontics | Restorative Dentistry | Adhesive Rehabilitation Tooth: #46 (Lower Right…
Brand: MTA
Material: MTA
Technique: MTA Precipitation
Biological Apexification of a Traumatised Immature Permanent Incisor Using ProRoot MTA and BioSeal Under Rubber Dam Isolation Category: Trauma Management | Endodontics | Apexification Keywords: Immature tooth, open apex, trauma case, apexification, MTA, BioSeal, rubber dam isolation ⸻ Abstract This…
Brand: 3M ESPE, Ever x flow from GC, MTA powder and liquid, Medit i600
Material: 3M Z250, MTA
Technique: Bleaching
Comprehensive Smile Rehabilitation Using E.max Crowns in a Patient with Previous Dental Trauma and Open Apex Management Category: Esthetic & Restorative Dentistry | Trauma Management | Digital Smile Design Keywords: E.max Crowns, Smile Makeover, Non-Vital Bleaching, Apexification, Exocad Design, Trauma…
Brand: Bioceramic sealer, Ever x flow from GC, Tokuyama
Material: Clearfil se bond
Technique: Class 1 Incremental Build Up, Combination of resin infiltrant and direct composite restoration
Conservative Endodontic Management and Biomimetic Cuspal Coverage in a Young Permanent Molar – A Zerodont Philosophy Case Clinical Category: Biomimetic Endodontics | Adhesive Restorative Dentistry | Zerodont Conservative Practice Tooth: Mandibular First Molar Keywords: Zerodont, Biomimetic Dentistry, Conservative Endodontics,…