Functional & Aesthetic Rehabilitation of Fractured Maxillary Centrals With Digital Planning & Emax Crowns
A protocol-based approach restoring strength, symmetry, and long-term biology
Dr Hamza Zahid Restorative Dentist
— Dr Hamza Dental Center, Lahore
Introduction
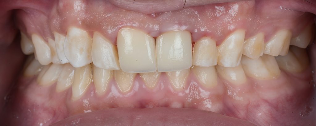
This case involved fractured, worn and structurally weakened maxillary central incisors. Repeated composite failures, endodontic involvement, and compromised aesthetics made adhesive veneers unpredictable.
To restore strength, stability and natural aesthetics, Emax lithium disilicate crowns were selected and executed through a complete digital workflow.
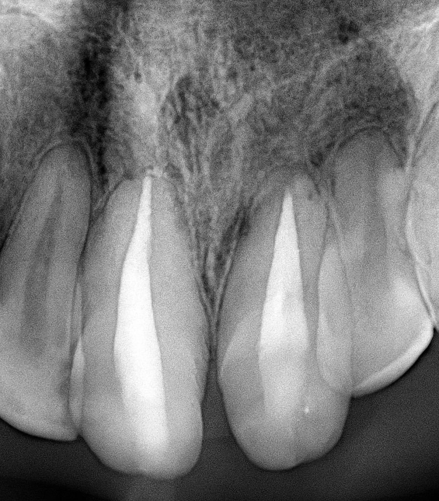
Pre-Operative Assessment
Clinical findings included:
- Irregular lengths and fractured enamel edges
- Poor axial inclination of centrals
- Previous composite restorations discolored and debonded
- Mild gingival inflammation
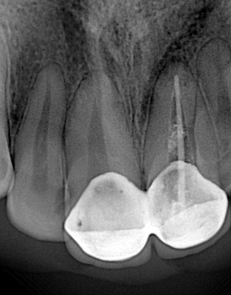
- Pulpal involvement confirmed radiographically
Primary goals: Restore function, protect remaining tooth structure, correct smile proportions, and achieve long-term stability.
Step 1 — Endodontic Management
Root canal therapy was performed on both centrals due to pulpal exposure and chronic symptoms.
Protocol included:
- Full rubber dam isolation
- Chemomechanical preparation with NaOCl + EDTA
- Shaping with controlled torque instrumentation
- Warm vertical obturation for dense apical seal
- Post-endo coronal build-up for crown retention
This provided a stable biological foundation before prosthetic steps.
Step 2 — Digital Smile Design & Exocad Workflow
A full digital workflow was used:
- Intraoral scanning
- DSD-based analysis for ideal tooth proportions
- Exocad 3D designing of width/height ratio, incisal embrasures, line angles
- 3D printed mock-up for physical evaluation
This allowed previewing the final aesthetic and functional outcome before touching the tooth.
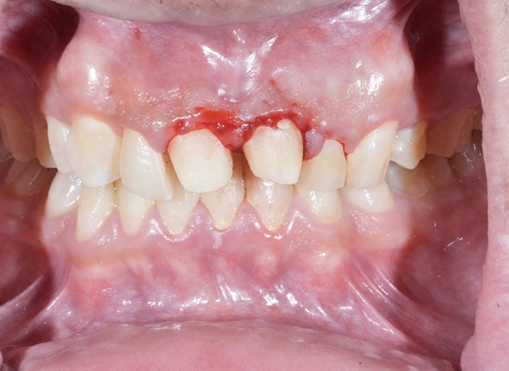
Step 3 — Conservative Emax Crown Preparation
All preparations were done under complete isolation.
- 1.0–1.2 mm labial reduction
- 1.5–2.0 mm incisal reduction
- Uniform chamfer finishing line
- Smooth internal contours
- Enamel preservation wherever possible
- Harmonized gingival zeniths
This ensured adequate thickness for lithium disilicate strength while preserving maximum tissue.
Step 4 — Shade Selection & Prototype Try-In
Using mock-ups and shade tabs:
- Cervical zones kept warm (A1–A2 region)
- Incisal translucency calibrated
- Midline, smile arc and phonetics evaluated with provisional crowns
- Adjustments incorporated into final Exocad design
Step 5 — Adhesive Bonding of Emax Crowns
Internal Crown Surface
- Hydrofluoric acid 5% for 20 sec
- Ultrasonic rinse
- Silane application (60 sec)
- Adhesive coat (uncured)
Tooth Surface
- Selective enamel etching (35–37% phosphoric acid)
- Universal adhesive application
- Light cure IDS layer for enhanced bond strength
- Resin cementation (dual cure)
Crowns were seated, margins cleaned thoroughly, and polymerized from all directions.
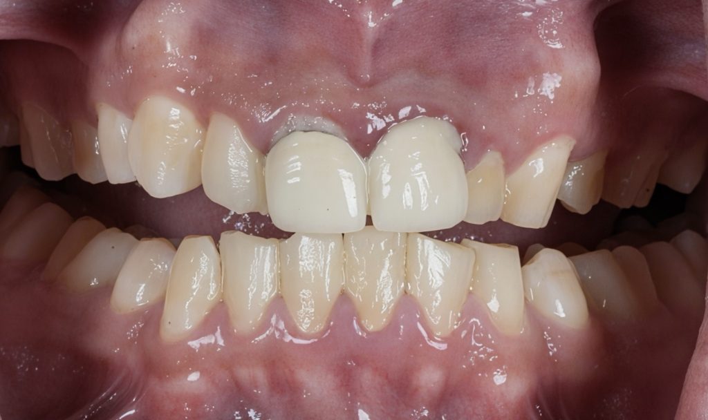
Final Outcome
- Natural shape and symmetry restored
- Improved occlusion and anterior guidance
- Stable gingival profile
- Lifelong color stability and strength from Emax
- Patient reported instant aesthetic and functional improvement
References
(Formatted for scientific publication)
- Siegel SC, et al. Minimally invasive dentistry and adhesive restorative techniques. J Am Dent Assoc. 2014.
- Magalas J, et al. Lithium disilicate ceramic in restorative dentistry: clinical outcomes and survival rates. J Prosthet Dent. 2021.
- Fradeani M, Barducci G. Esthetic rehabilitation with lithium disilicate restorations. Int J Esthet Dent. 2017.
- Pashley DH, Carvalho RM. Bond strength, hybrid layer, and adhesive dentistry principles. Oper Dent. 2019.
- Stubinger S, et al. Digital workflows in restorative dentistry: accuracy and patient outcomes. Clin Oral Investig. 2020.
- Peumans M, et al. Adhesive cementation of glass-ceramic restorations: a systematic review. Dent Mater. 2014.
- Fleming G, et al. Effect of enamel preservation on long-term bond strength. J Dent Res. 2012.
- Terry DA. Smile Design, Natural Morphology and Aesthetic Rehabilitation Principles. Quintessence Publishing.
- Coachman C, Calamita M. Digital Smile Design: a modern approach to aesthetic treatment planning. J Cosmetic Dent. 2017.
- Gracis S, et al. Material selection for full-coverage restorations: Emax vs zirconia. Eur J Esthet Dent. 2015.
Share on: