ENDODONTICALLY TREATED MOLARS: FROM BIOLOGIC CLEANING TO ADHESIVE REINFORCEMENT AND COMPOSITE ONLAY RESTORATION
A complete protocol-driven rehabilitation
Introduction
Restoring endodontically treated posterior teeth is no longer just about removing infection and placing a crown. Modern adhesive dentistry allows us to keep more tooth structure, reinforce the remaining dentin, and deliver restorations that behave closer to natural tooth biomechanics.
This case shows a full workflow from endodontic therapy, Deep Margin Elevation (DME), and fiber-reinforced composite onlay, following strict isolation and adhesive protocols.
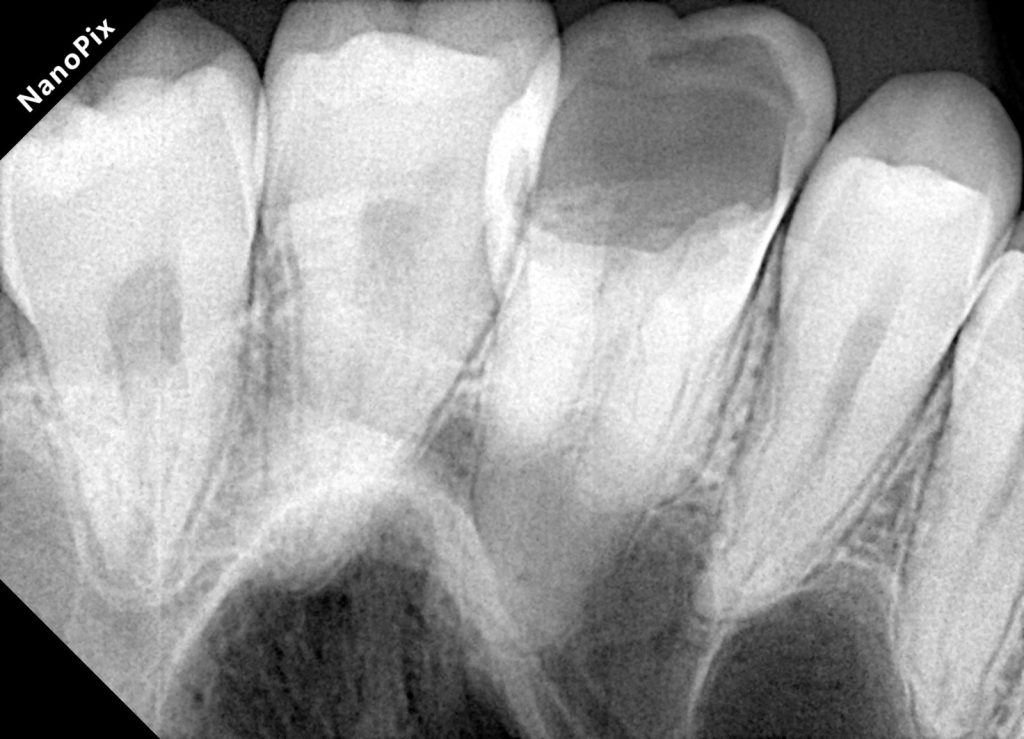
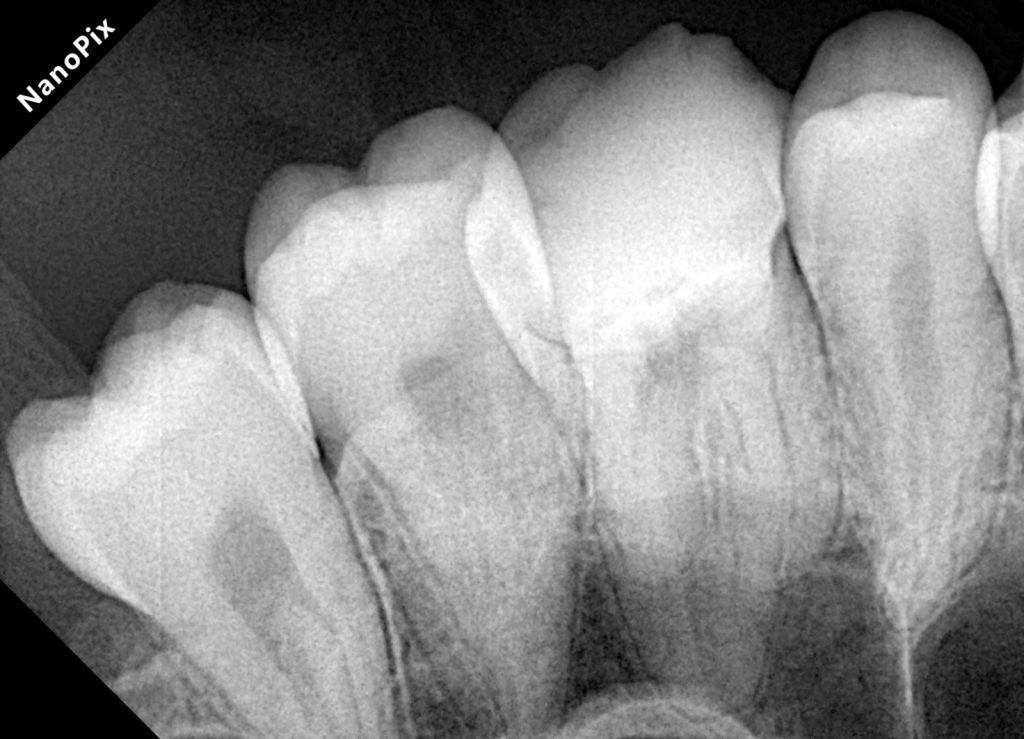
1. ENDODONTIC DIAGNOSIS & CLEANING UNDER MAGNIFICATION
Rubber Dam Isolation
Isolation was placed before access. Moisture control during instrumentation protects irrigants, avoids bacterial contamination, and ensures cleaner canal walls.
Microscope-Guided Access
Scopes improve canal identification, help remove overhanging dentin, and ensure minimal tooth removal.
The canals were shaped using a hybrid rotary-reciprocation sequence, respecting original canal anatomy.
Irrigation Protocol
- Sodium hypochlorite (5.25%) activated ultrasonically
- EDTA 17% for smear layer removal
- Chlorhexidine 2% for final disinfection
Activation improves penetration and reduces bacterial load significantly.
Bioceramic Obturation
The canals were obturated with a bioceramic sealer due to:
- Superior sealing ability
- Alkaline pH promoting periapical healing
- Hydrophilic bonding to dentinal walls
- Zero shrinkage and bioactivity
This helps reinforce the endodontically treated tooth internally.
2. CAVITY DESIGN & PREPARATION FOR RESTORATION
Pericervical Dentin Preservation
Only infected dentin was removed. This zone is critical for long-term fracture resistance.
Removal of Old Restorations & Caries
After cleaning, a deep proximal margin was revealed—subgingival and not suitable for direct composite.
This indicated the need for Deep Margin Elevation (DME) to bring the margin supragingival.
3. DEEP MARGIN ELEVATION (DME)
Matrix & Isolation
A sectional matrix was placed under isolation to reconstruct the proximal wall predictably.
Adhesive Protocol
Selective Enamel Etch
Self-etch universal adhesive (Kuraray Clearfil, Tokuyama Universal Bond, or 3M Scotchbond Universal Plus)
- Enamel etched separately for stronger micromechanical retention
- Dentin left moist and treated with self-etch to avoid collagen collapse
DME Build-Up
A flowable base was placed first for adaptation, followed by a packable composite.
The goal was to:
- Seal the cervical margin
- Create a supragingival, easily cleanable finish line
- Provide a stable platform for the onlay
4. CORE BUILDUP & INTERNAL REINFORCEMENT
Composite Build-Up
A controlled build-up was done using:
- 3M Easy Match Shades for dentin & enamel
- Natural saturation using Tokuyama Estelite Ocher Stain for warmth
Fiber Reinforcement (If required)
EverX Posterior or Ribbond may be used in cases with thin cusps for internal support.
5. PREPARATION FOR COMPOSITE ONLAY
Minimal preparation was done:
- 1.5–2 mm reduction of functional cusps
- Smooth, rounded internal angles
- Supragingival margins after DME
- No unnecessary removal of sound enamel
Onlay preparations are ideal because they preserve enamel, improving bond strength and tooth longevity.
6. ONLAY FABRICATION
Layering Protocol
The onlay was sculpted using:
- 3M Easy Match System for shade harmony
- Micro-anatomy carved under scope
- Transitional hue added with Tokuyama Estelite Ocher Stain
Finishing & Polishing
A high-gloss, enamel-like finish was achieved using:
- Estelite Pogo Pre-Polisher
- Diashine (Microfine diamond paste)
- Lucida (Style Italiano) as final gloss
This sequence creates a durable, stain-resistant, ceramic-like surface.
7. ADHESIVE LUTING OF THE ONLAY
Tooth Surface
- Selective enamel etch
- Universal adhesive without curing
Onlay Internal Surface
- Air abrasion (30–50 micron alumina)
- Silane application
- Adhesive applied without curing
Cementation
A dual-cure resin cement was used for optimal polymerization.
Excess cement removed during gel phase.
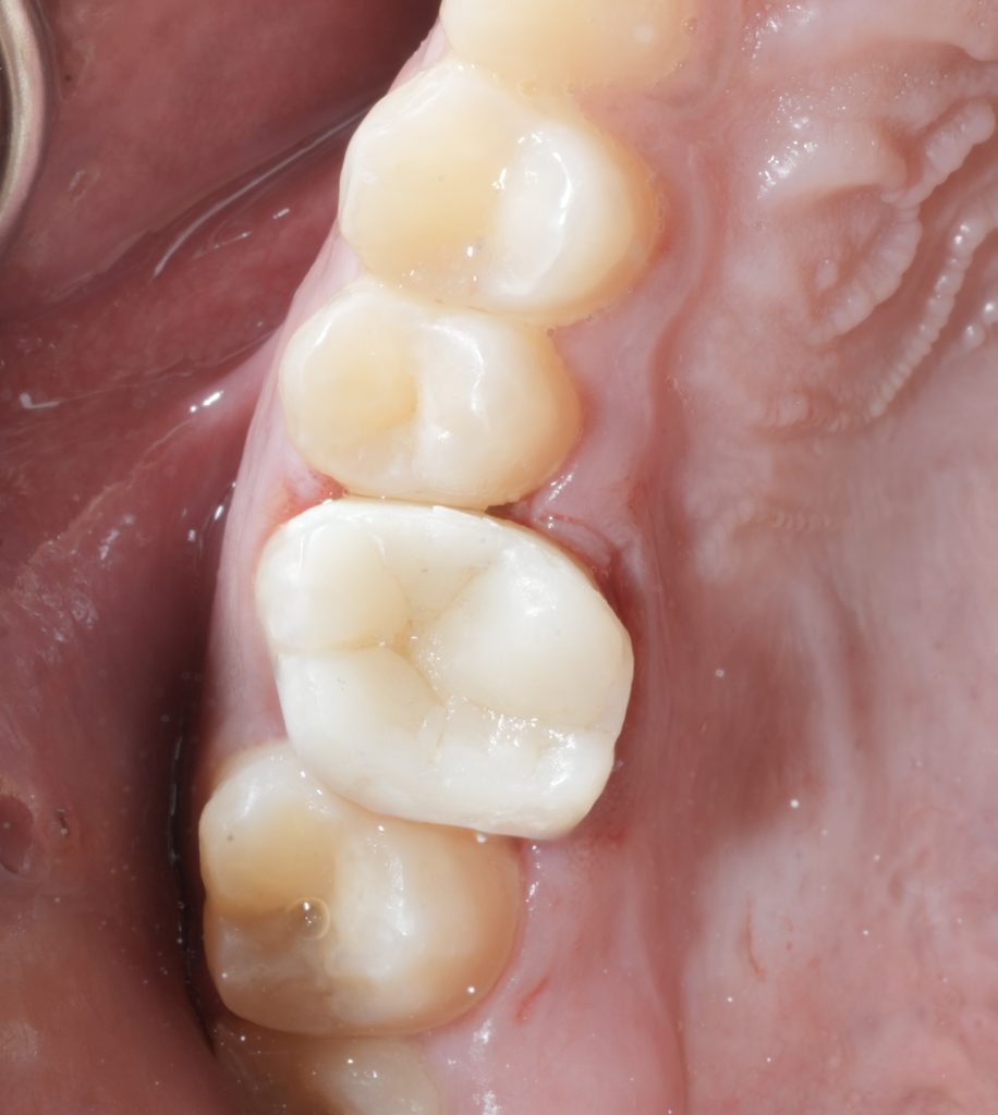
8. FINAL OUTCOME
The result shows:
- Restored biomechanics
- High aesthetics
- Smooth contours that support gingival health
- Stable occlusion with minimal material thickness
The combination of:
Endodontic cleaning + strong adhesive core + DME + composite onlay
gives the tooth a second life with maximum preservation of natural structure.
REFERENCES
- Reis, A. et al. Adhesive strategies in deep margins. Operative Dentistry, 2020.
- Dietschi, D. & Spreafico, R. Adhesive onlays and endo-treated teeth. J Esthet Restor Dent, 2019.
- Bioceramic Sealers Review. Hydrophilic sealing & healing properties. International Endodontic Journal, 2017.
- Magne, P. & Belser, U. Bonded restorations & tooth biomechanics. Quintessence Publishing.
- Van Meerbeek, B. Dentin hybrid layer & adhesive behavior. Dental Materials, 2021.
- Ferracane, J. Composite wear & mechanical behavior. J Dent Res, 2017.
- Fradeani, M. Deep Margin Elevation in restorative dentistry. International J Prosthodontics, 2018.
- Style Italiano. Polishing protocols and gloss longevity studies, 2020.
- 3M Oral Care. Easy Match Shade technology and color stability documentation, 2023.
- Tokuyama Dental. Estelite Sigma Quick & Ocher Stain composite behavior, 2022.
Share on: